Logo
PRENUMERUJ
PRENUMERUJ
Dostępność Dostępność
    • Kontrast
    • Tryb domyślny
    • Tryb czarno-biały
    • "Tryb czarno-żółty
    • Tryb żółto-czarny
    • Czcionka
    • Zmniejsz czcionkę Zmniejsz czcionkę
    • Domyślna czcionka
    • Powiększ czcionkę Powiększ czcionkę
Logowanie
Rejestracja
0 Koszyk
0
Menu
  • Dołącz do webinaru
  • Artykuły
  • Prenumerata
  • SZKOLENIE IMMUNOLOGIA
  • KONFERENCJA NEUROLOGIA DZIECIĘCA
  • KONFERENCJA SKÓRA DZIECKA
  • KURS ANALIZA BADAŃ W PEDIATRII
  • Poradnik PEDIATRIA
  • Poradnik Żywienia Dzieci Chorych
  • Archiwum
  • EBOOK
  • Czytelnia
  • Kontakt
  • Więcej
    • Dołącz do webinaru
    • Artykuły
    • Prenumerata
    • SZKOLENIE IMMUNOLOGIA
    • KONFERENCJA NEUROLOGIA DZIECIĘCA
    • KONFERENCJA SKÓRA DZIECKA
    • KURS ANALIZA BADAŃ W PEDIATRII
    • Poradnik PEDIATRIA
    • Poradnik Żywienia Dzieci Chorych
    • Archiwum
    • EBOOK
    • Czytelnia
    • Kontakt
    ⇐ POPRZEDNI
    Przejdź do wydania
    NASTĘPNY ⇒
    Nr 44
    Kwiecień 2022
    Przejdź do e-wydania
    Zawartość dostępna online
    OTWARTY DOSTĘP

    Ochrona skóry niemowląt i dzieci przed promieniowaniem słonecznym

    • Paulina Szczepanik-Kułak , Dorota Krasowska
    • 6 maja 2022
    PEDIATRIA INTERDYSCYPLINARNA

    Szczepienia przeciw HPV dzieci i młodzieży – najskuteczniejsza profilaktyka raka szyjki macicy

    • Joanna Stryczyńska-Kazubska , Dagmara Smektała-Smakulska
    • 6 maja 2022
    STUDIUM PRZYPADKU

    Profilaktyka niedoboru żelaza u dzieci – temat wciąż aktualny

    • Katarzyna Albrecht
    • 6 maja 2022

    Makrogole w farmakoterapii zaparcia u dzieci

    • Katarzyna Plata-Nazar , Julia Leszkowicz
    • 6 maja 2022
    STUDIUM PRZYPADKU

    Pielęgnacja skóry dziecka z AZS. Najnowsze rekomendacje

    • Elżbieta Szymańska , Irena Walecka , Klaudia Dopytalska , Agata Mikucka-Wituszyńska
    • 6 maja 2022

    Kolka niemowlęca

    • Piotr Albrecht
    • 6 maja 2022

    Probiotyki u dzieci nie tylko przy antybiotykoterapii

    • Hanna Szajewska
    • 6 maja 2022
    TEMAT NUMERU

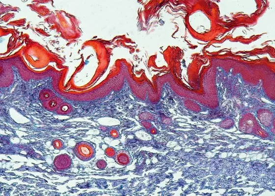
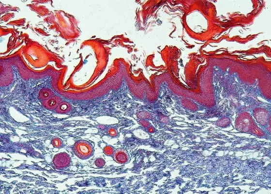
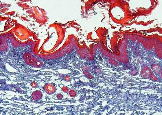
    Świerzb – postępowanie i leczenie u dzieci

    • prof. dr hab. n. med. Joanna Narbutt , lek. Michał Niedźwiedź
    • 6 maja 2022

    Forum Pediatrii Praktycznej to czasopismo pediatryczne skierowane do lekarzy pediatrów - praktyków, którzy poszukują jasnych i praktycznych wskazówek oraz rozwiązań gotowych do zastosowania podczas pracy z pacjentami. Czasopismo dla pediatrów wydawane jest od 2015 roku, a liczba zadowolonych prenumeratorów wciąż rośnie.

    Na skróty

    • O czasopiśmie
    • Prenumerata
    • Wymogi redakcyjne
    • Program edukacyjny
    • Polityka prywatności
    • Regulamin
    • Kontakt
    • Biuro prasowe
    • Pomoc
    • Reklama
    © Copyright 2025 Forum Media Polska
    Zamknij