Omdlenia kardiogenne u dzieci

Temat numeru

Omdlenia to częsty problem w populacji dziecięcej. Szacuje się, że u około 20–40% pacjentów poniżej 18. r.ż. doszło do przynajmniej jednego krótkiego incydentu utraty przytomności. Praca przedstawia problem omdleń kardiogennych, które w populacji dziecięcej występują najrzadziej, ale z uwagi na wysokie ryzyko nagłego zgonu sercowego stanowią istotny problem diagnostyczny i terapeutyczny.

Omdlenia i zasłabnięcia u dzieci i młodzieży to częsty problem pediatrycznych izb przyjęć, ale także wizyt w gabinecie lekarza rodzinnego czy pediatry. Omdlenie (T-LOC – ang. transient loss of consciousness – chwilowa utrata przytomności) nie jest jednostką chorobową, a jedynie objawem. Według wytycznych opublikowanych przez Europejskie Towarzystwo Kardiologiczne w 2009 r. omdlenie definiuje się jako krótkotrwałą i przejściową utratę przytomności z towarzyszącym spadkiem napięcia mięśniowego wskutek przejściowej hipoperfuzji i niedotlenienia ośrodkowego układu nerwowego. Incydent charakteryzuje się gwałtownym początkiem, krótkim czasem trwania i samoistnym całkowitym ustąpieniem [1]. Niektóre omdlenia są poprzedzone objawami prodromalnymi, zwanymi także zapowiadającymi lub zwiastunowymi. Do najczęstszych należą: uczucie osłabienia, zawroty głowy, nudności, wzmożona potliwość, zaburzenia widzenia, 
np. mroczki przed oczami, szumy uszne. Jeśli powyższe objawy występują, ale nie dochodzi do utraty przytomności, sytuację taką nazywamy stanem przedomdleniowym.
Czas utraty przytomności trwa zwykle do 20 sekund, rzadko przekracza minutę. Po odzyskaniu przytomności pacjent bardzo szybko odzyskuje orientację co do miejsca, czasu i sytuacji, w jakiej się znajduje. Zdarza się jednak, że omdlenia występują nagle, bez objawów przepowiadających, trwają dłużej niż minutę i towarzyszyć im może niepamięć wsteczna. Takie sytuacje wymagają bezwzględnego poszerzenia diagnostyki. 
Definicja omdleń zmieniała się na przestrzeni ostatnich 20 lat. Najnowsze wytyczne, choć z 2009 r., oddzielają rzeczywiste omdlenia związane ze zmniejszeniem przepływu mózgowego od stanów utraty przytomności, ale w odmiennym mechanizmie [1]. W ten sposób zdefiniowano stany, które dotychczas były mylnie nazywane omdleniami. Do najczęściej występujących u dzieci należą: padaczka, zaburzenia metaboliczne, np. hipoglikemia, hipoksja, hiperwentylacja z hipokapnią, zatrucia. 
Omdlenia u dzieci to złożony problem zarówno w aspekcie etiologicznym, jak i diagnostycznym oraz terapeutycznym. Szacuje się, że aż u około 20–40% pacjentów poniżej 18. r.ż. wystąpił przynajmniej jeden incydent chwilowej utraty przytomności [2, 3]. Sytuacja taka budzi duży niepokój rodziców, dlatego zgłaszalność pacjentów pediatrycznych na konsultacje lekarskie jest znacznie częstsza niż osób dorosłych. Omdlenia stanowią 0,5–1% przyczyn hospitalizacji młodzieży [3]. Szczyt występowania notuje się w przedziale 15–19 lat, ze znaczną przewagą u dziewczynek. Incydenty te najrzadziej stwierdzane są w grupie dzieci poniżej 6. r.ż. [4, 5]. 
Aktualnie obowiązująca klasyfikacja omdleń dzieli je na trzy grupy w zależności od mechanizmu wywołującego utratę przytomności: omdlenia odruchowe (neurogenne), omdlenia spowodowane hipotonią ortostatyczną i omdlenia sercowe (kardiogenne). Do omdleń odruchowych należą: wazowagalne, sytuacyjne (kaszel, śmiech, wysiłek fizyczny, mikcja, defekacja) oraz związane z zespołem zatoki szyjnej.
Omdlenia ortostatyczne mogą być związane m.in. z niewydolnością autonomiczną pierwotną i wtórną, np. w przebiegu cukrzycy, mocznicy, wskutek urazu rdzenia kręgowego, z hipotonią polekową, np. wskutek działania leków moczopędnych lub związane z odwodnieniem w wyniku krwotoku, biegunki lub uporczywych wymiotów. Omdlenia kardiogenne występują najrzadziej, ale związane są z ryzykiem nagłego zgonu sercowego, niezależnie od grupy wiekowej. Podłożem utrat przytomności mogą być zaburzenia rytmu serca zarówno przebiegające ze zwolnioną, jak i przyspieszoną czynnością serca, ale także choroby organiczne serca [6–9]. 
Do postawienia rozpoznania niezbędny jest prawidłowo i szczegółowo zebrany wywiad [8, 9]. Poniżej przedstawiono wykaz niezbędnych pytań zadawanych zarówno pacjentowi, jak również jego opiekunom – tabela 1.

REKLAMA

Tab. 1. Najczęstsze pytania zadawane pacjentom po omdleniu

  • pora dnia, w której doszło do omdlenia
  • czynności wykonywane wówczas przez pacjenta
  • częstość występowania oraz czas trwania całego epizodu
  • objawy przedomdleniowe: uczucie osłabienia, duszność, uczucie gorąca, zawroty i bóle głowy, zaburzenia widzenia, zaburzenia słuchu, kołatania serca, ból w klatce piersiowej, nudności
  • czas trwania utraty przytomności
  • samopoczucie po powrocie świadomości, zorientowanie co do miejsca, czasu, sytuacji
  • czynności predysponujące do omdleń, np. długotrwała pozycja stojąca, nagła zmiana pozycji ciała, głód, pragnienie, stan emocjonalny, czynniki stresujące
  • aktualne choroby i przyjmowane leki, historia medyczna
  • wywiad rodzinny – wrodzone/rodzinnie występujące wady serca, zaburzenia rytmu serca, choroby metaboliczne, głuchota, choroby psychiczne, nagłe zgony dzieci lub młodych dorosłych, pacjenci z wszczepionymi urządzeniami


Omdlenia kardiogenne stanowią około 2–6% wszystkich omdleń u dzieci [2]. Z uwagi na wysokie ryzyko nagłego zgonu sercowego w tej grupie pacjentów nie bagatelizujemy żadnego przypadku nagłej utraty przytomności. Dane z wywiadu, które mogą sugerować tło kardiogenne, to m.in.: szmer nad sercem lub rozpoznanie wrodzonej wady serca, nagła utrata przytomności bez objawów prodromalnych, omdlenie poprzedzone szybką lub niemiarową czynnością serca, z towarzyszącą sinicą lub pogłębionymi oddechami, omdlenie podczas aktywności fizycznej, np. pływania lub wskutek nietypowych bodźców słuchowych, np. nagły hałas, niespodziewany dzwonek do drzwi, nagłego i silnego bodźca stresowego, a także dodatni wywiad rodzinny w kierunku nagłych zgonów sercowych, wrodzonej głuchoty lub istotnych zaburzeń słuchu [5, 10]. Powyższe objawy należy traktować jak objawy czerwonej flagi. Szczegółowy wykaz niepokojących objawów sugerujących omdlenia sercowopochodne przedstawiono w tabeli 2. Wszystkim tym pacjentom należy zalecić poszerzenie diagnostyki kardiologicznej.

Tab. 2. Objawy czerwonej flagi dla omdleń kardiogennych

1 Historia medyczna pacjenta
  • rozpoznana wrodzona wada serca,
  • stwierdzone zaburzenia rytmu serca,
  • podejrzenie choroby serca, np. obniżenie tolerancji wysiłku fizycznego, cechy niewydolności serca.
2 Dane dotyczące epizodu omdlenia
  • poprzedzające zaburzenia rytmu serca, ból w klatce piersiowej,
  • omdlenie podczas aktywności fizycznej lub w sytuacji stresującej,
  • omdlenie w basenie,
  • omdlenie bez objawów prodromalnych,
  • nagłe zatrzymanie krążenia z koniecznością resuscytacji,
  • nagłe zatrzymanie krążenia z konsekwencjami neurologicznymi
3 Nieprawidłowy zapis spoczynkowego EKG  
4 Nieprawidłowości w badaniu przedmiotowym
  • np. niemiarowy rytm serca, patologiczny szmer nad sercem, nieprawidłowa akcentacja tonów serca
5 Wywiad rodzinny
  • nagły zgon sercowy w rodzinie (dzieci i młodzi dorośli),
  • zaburzenia rytmu serca u kilku członków rodziny, np. zespół wydłużonego QT,
  • rodzinnie występujące choroby mięśnia sercowego, np. kardiomiopatie,
  • zawał mięśnia sercowego w młodym wieku u członka rodziny.

Diagnostyka omdleń kardiogennych opiera się przede wszystkim na szczegółowo zebranym wywiadzie, badaniu fizykalnym oraz kilku badaniach dodatkowych. W badaniu przedmiotowym, poza oceną stanu ogólnego, zwracamy szczególną uwagę na układ krążenia. Konieczna jest wówczas ocena miarowości i zakresu czynności serca dla wieku pacjenta, wartości ciśnienia tętniczego w odniesieniu do siatek centylowych, akcentacja tonów serca z oceną obecności szmerów patologicznych. 
Przyczyn omdleń kardiogennych może być wiele. Na pierwszy plan wysuwają się zaburzenia rytmu serca [10–14]. W grupie tej wyróżniamy bradyarytmie i tachyarytmie. Przyczynami nagłego zwolnienia czynności serca może być choroba węzła zatokowego. Objawia się ona bradykardią zatokową, zahamowaniem zatokowym, blokiem zatokowo-przedsionkowym czy zespołem bradykardia-tachykardia. Przykład zahamowania zatokowego przedstawiono na rycinie 1. Kolejną grupą nieprawidłowości są zaburzenia przewodzenia przedsionkowo-komorowego, tzw. bloki przedsionkowo-komorowe. Najczęściej omdlenia występują u pacjentów z istotnym zwolnieniem czynności komór, które obserwujemy zwykle w zaawansowanym bloku przedsionkowo-komorowym II0 lub bloku całkowitym (rycina 2).

Ryc. 1. Zapis badania Holter-ekg 8-letniej pacjentki z sześcioma utratami przytomności w wywiadzie. Diagnostyka neurologiczna w kierunku napadów padaczkowych od 1,5 roku negatywna. Utraty przytomności trwały około 1–1,5 minuty. Zapis przedstawia incydent zahamowania zatokowego z pauzą RR trwającą 16 sekund

Ryc. 2. Zapis EKG przedstawia blok przedsionkowo-komorowy III stopnia z akcją przedsionków około 90/min i akcją komór 51/min u 5-letniej dziewczynki po leczeniu operacyjnym ubytku przegrody międzykomorowej w 2. r.ż. Zaburzenia przewodzenia stwierdzono trzy lata po leczeniu operacyjnym, uznając je za późne powikłanie zabiegu operacyjnego 

Odrębną grupą pacjentów są dzieci z wcześniej zdiagnozowanymi istotnymi hemodynamicznie zaburzeniami rytmu serca i implantowanymi urządzeniami stymulującymi. W przypadku nagłego pogorszenia samopoczucia, zawrotów głowy czy utrat przytomności u takiego dziecka bezwzględnie należy sprawdzić poprawność działania stymulatora serca. Może się zdarzyć, że dojdzie do mechanicznego uszkodzenia układu stymulującego, a tym samym nieskutecznej stymulacji mięśnia sercowego. 
Kolejną grupą zaburzeń są tachyarytmie. Najczęściej występującym w populacji dzieci bez wad wrodzonych serca jest częstoskurcz nadkomorowy. Można wyodrębnić trzy mechanizmy skutkujące napadem częstoskurczu: zjawisko pętli nawrotnej z udziałem lub bez udziału drogi oraz nadmierny automatyzm ośrodków ektopowych. Najbardziej popularny zespół preekscytacji (obecna droga dodatkowa) Wolffa-Parkinsona-White’a powodujący napadowy częstoskurcz u dzieci przedstawia rycina 3. Zdecydowanie rzadziej w praktyce klinicznej spotykamy częstoskurcze komorowe. Komorowych zaburzeń rytmu serca spodziewamy się głównie u dzieci po operacyjnym leczeniu wrodzonych wad serca czy obciążonych kardiomiopatiami: rozstrzeniową, przerostową czy arytmogenną dysplazją prawej komory. Wraz z rozwojem medycyny i metod badawczych przybywa także pacjentów z rozpoznaniem kanałopatii. Wówczas nie stwierdzamy żadnych nieprawidłowości budowy anatomicznej mięśnia sercowego, a przyczyną częstoskurczu komorowego może być nieprawidłowa budowa i funkcja kanałów jonowych kardiomiocytów. Wówczas mówimy o chorobie elektrycznej serca. Największą liczebnie grupę stanowią pacjenci z zespołem wydłużonego QT (rycina 4), następnie grupa z katecholaminergicznym częstoskurczem komorowym – wywoływanym nagłym wyrzutem katecholamin, np. wskutek stresu czy podczas wysiłku fizycznego, pacjenci z zespołem krótkiego QT oraz pacjenci z nadal rzadko stawianym rozpoznaniem zespołu Brugadów [14–16].
Diagnostyka zaburzeń rytmu serca u dzieci nie zawsze jest prosta. Spośród badań dodatkowych dostępnych w izbie przyjęć czy gabinecie poradni jest zapis spoczynkowy EKG. Oceniamy w nim rodzaj rytmu, jego miarowość i częstość, oś elektryczną. Niezbędna jest także ocena odstępu PQ, QT, skorygowanego QT według wzoru Bazetta [17] oraz nieprawidłowości przebiegu pobudzeń w kolejnych odprowadzeniach. 
Wzór Bazetta: iloraz odstępu QT i pierwiastka odstępu R–R:

W ten sposób możemy rozpoznać bądź wysunąć podejrzenie zaburzeń przewodzenia przedsionkowo-komorowego, bloków odnóg pęczka Hisa, zespołu preekscytacji czy zespołu wydłużonego QT. Niestety, z uwagi na sporadyczne występowanie objawów klinicznych, jak np. omdlenia, a także niestałego występowania jawnych zaburzeń przewodzenia, nie zawsze na podstawie jednorazowo wykonanego zapisu ekg jesteśmy w stanie wykluczyć zagrażające życiu arytmie. Posługujemy się wówczas metodami umożliwiającymi nieco dłuższe monitorowanie rytmu serca pacjenta, np. badanie Holter-ekg trwające 24 czy 48 godzin, systemami długotrwałego monitoringu holterowskiego zewnętrznymi i w szczególnych sytuacjach także wszczepialnymi w powłoki skórne pacjentów (ryc. 5) [6]. Każda arytmia czy utrata przytomności mająca związek z wysiłkiem fizycznym powinna być zweryfikowana w próbie wysiłkowej [12]. Wówczas mamy możliwość zweryfikowania zgłaszanych objawów przez pacjenta w odniesieniu do zapisu ekg i pomiarów ciśnienia tętniczego. 

Ryc. 3. Zapis badania Holter-ekg 9-letniej pacjentki podejrzanej o wrodzony zespół wydłużonego QT. W wywiadzie liczne incydenty utrat przytomności, diagnostyka neurologiczna w kierunku napadów padaczkowych prowadzona przez okres ostatnich 2 lat negatywna. W przedstawionym fragmencie AS około 62/min, QT = 540–550 ms, QTc = 535–540 ms (norma QT ≤ 440 ms)

Odrębną, a jednocześnie najrzadszą grupę pacjentów z omdleniami kardiogennymi, stanowią pacjenci z chorobami organicznymi serca, które są przyczyną zaburzeń hemodynamicznych prowadzących do zmniejszenia przepływu mózgowego lub są substratem do istotnych zaburzeń rytmu serca. Zaliczamy do nich wady zastawkowe, np. zwężenie zastawki aortalnej, wypadanie zastawki mitralnej, dysfunkcje protez zastawkowych, złożone wady serca zarówno przed leczeniem operacyjnym, np. tetralogia Fallota, jak i po korekcji operacyjnej, wrodzone anomalie tętnic wieńcowych, kardiomiopatię rozstrzeniową, przerostową zawężającą i niezawężającą, arytmogenną dysplazję prawej komory, zapalenie mięśnia sercowego (ryc. 6). 

Ryc. 4. Pacjentka 16-letnia z zespołem preekscytacji Wolffa-Parkinsona-White’a. Zapis ekg spoczynkowy (a). Widoczne skrócenie odstępu PQ, obecna fala delta oraz wtórne zaburzenia repolaryzacji. Zapis ekg w trakcie napadu częstoskurczu z wąskimi zespołami QRS (b). Akcja komór około 175/min. Niewidoczny załamek P

Szczegółowy wykaz przyczyn omdleń kardiogennych przedstawiono w tabeli 3.
W tej grupie pacjentów podstawowym badaniem diagnostycznym jest echokardiografia [18]. Tylko ocena anatomiczna, ocena przepływów w jamach serca i dużych naczyniach z użyciem funkcji Dopplera oraz pomiary jam serca pozwalają na postawienie rozpoznania nieprawidłowości strukturalnych i funkcjonalnych mięśnia sercowego. W szczególnych sytuacjach, gdy wykonane badania są niewystarczające na postawienie ostatecznego rozpoznania, sięgamy po dodatkowe metody badawcze. I tak w podejrzeniu ostrego rozwarstwienia aorty czy zatoru tętnicy płucnej metodą z wyboru pozostaje tomografia komputerowa z użyciem kontrastu. W przypadku podejrzenia masy patologicznej w obrębie jam serca, miokardium czy osierdzia, najlepszym wyborem pozostaje rezonans magnetyczny serca. W przypadku echokardiograficznego podejrzenia nadciśnienia płucnego jedynym weryfikującym badaniem pozostaje cewnikowanie serca. 

Ryc. 5. Zapis badania Holter-ekg 15-letniej pacjentki z zawrotami głowy i zasłabnięciami w wywiadzie. W zapisie obecne liczne epizody nieutrwalonego częstoskurczu komorowego 

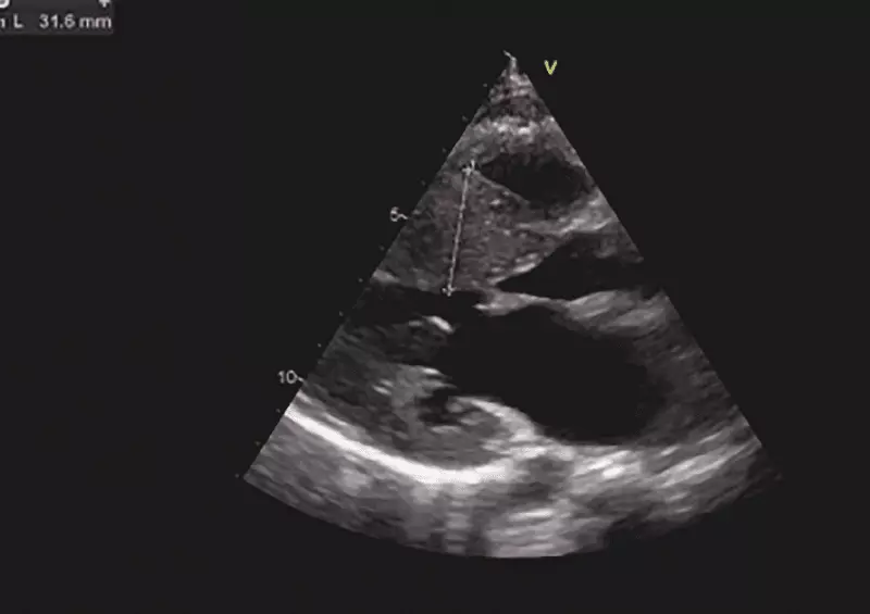
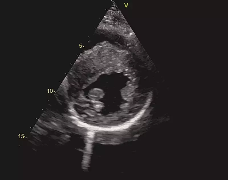
Ryc. 6. Badanie echokardiograficzne dziewczynki 13-letniej z zasłabnięciami w czasie wysiłku w wywiadzie. Projekcja naczyniowa długa (a) i naczyniowa krótka (b) – widoczny istotny przerost przegrody międzykomorowej do około 31 mm (norma według BSA –10 mm). Na podstawie badania echokardiograficznego rozpoznano kardiomiopatię przerostową

Mimo ciągłego rozwoju medycyny, coraz łatwiejszego dostępu do badań diagnostycznych, omdlenia kardiogenne u dzieci pozostają nadal dużym problemem diagnostycznym i terapeutycznym. W praktyce klinicznej każda zaproponowana terapia powinna przynieść jak największe korzyści pacjentowi, tj. poprawę samopoczucia, redukcję konsekwencji hemodynamicznych, a przede wszystkim minimalizację ryzyka nagłego zgonu sercowego lub powikłań związanych z niedotlenieniem ośrodkowego układu nerwowego i upadkiem [14, 19]. Dlatego też w przypadku bradykardii stosuje się leki przyspieszające czynność serca, np. o działaniu sympatykomimetycznym, a jeśli farmakoterapia jest niewystarczająca, rozważa się implantację stymulatora [7, 8]. W przypadku arytmii nadkomorowych i komorowych lekami z wyboru w profilaktyce są leki antyarytmiczne głównie z grupy II i III, tj. beta-blokery i amiodaron, natomiast lekiem z wyboru do przerywania farmakologicznego częstoskurczu nadkomorowego jest adenozyna, zaś komorowego amiodaron w podaży dożylnej [20]. Dzięki nowym technikom elektroterapii w coraz młodszej grupie wiekowej możliwe są badania elektrofizjologiczne i zabiegi ablacji dróg dodatkowych czy ognisk ektopowych. W przypadku nawracających częstoskurczów komorowych mimo profilaktyki farmakologicznej, gdy zabiegi elektrofizjologiczne są niemożliwe, wskazane jest wszczepienie kardiowertera – defibrylatora. Metody leczenia wszelkich nieprawidłowości organicznych zależą od indywidualnych możliwości farmakologicznych i operacyjnych. 
Podsumowując, chcemy podkreślić, że omdlenia kardiogenne u dzieci występują stosunkowo rzadko. Jednak ze względu na wysokie ryzyko nagłego zgonu sercowego, pozostają nadal wyzwaniem diagnostycznym, a przede wszystkim terapeutycznym. 

Bradykardia
  • choroba węzła zatokowego (bradykardia zatokowa, zahamowanie zatokowe, zaawansowany blok zatokowo-przedsionkowy, zespół bradykardia-tachykardia),
  • zaburzenia przewodzenia przedsionkowo-komorowego (bloki przedsionkowo-komorowe II, III stopnia),
  • dysfunkcja implantowanego stymulatora serca.
Tachykardia
  • nadkomorowy,
  • komorowy (idiopatyczny, związany z chorobą organiczną serca lub kanałopatiami, np. torsade de pointes w przebiegu zespołu LQT).
Zaburzenia rytmu serca
  • spowodowane zażywaniem leków
Choroba organiczna serca
  • wrodzone wady zastawkowe (zwężenie zastawki aortalnej, wypadanie zastawki mitralnej),
  • wrodzone złożone wady serca przed leczeniem operacyjnym i po nim, np. tetralogia Fallota,
  • dysfunkcja protezy zastawkowej,
  • kardiomiopatia przerostowa zawężająca/niezawężająca,
  • kardiomiopatia rozstrzeniowa,
  • arytmogenna dysplazja prawej komory,
  • guzy serca, np. śluzak przedsionka,
  • tamponada serca,
  • wrodzone anomalie tętnic wieńcowych.
Inne
  • nadciśnienie płucne,
  • zator tętnicy płucnej,
  • ostre rozwarstwienie aorty.

Opis przypadku

Pacjentka 16-letnia została przekazana do Kliniki Kardiologii Dziecięcej i Wad Wrodzonych Serca Uniwersyteckiego Centrum Klinicznego w Gdańsku przez zespół pogotowia ratunkowego z powodu nagłego incydentu tachykardii podczas aktywności fizycznej w trakcie zajęć wychowania fizycznego. Wówczas dziewczynka czuła się istotnie osłabiona, zgłaszała zawroty głowy, mroczki przed oczami, nudności. W chwili przyjazdu zespołu pogotowia stan pacjentki oceniono jako średni. W badaniu zwracała uwagę znaczna bladość powłok skórnych, wzmożona potliwość, obwodowe wychłodzenie kończyn. Ponadto stwierdzono szybką, ale miarową czynność serca około 180/min. Natychmiast wykonano zapis ekg, w którym zarejestrowano częstoskurcz z wąskimi zespołami QRS z czynnością komór około 175/min. Po założeniu wkłucia obwodowego pacjentkę przekazano do Kliniki. Stan ogólny pacjentki nadal oceniano jako średni, utrzymywała się tachykardia około 160–175/min. W zapisie ekg potwierdzono częstoskurcz z wąskimi zespołami QRS. Pod kontrolą zapisu ekg podano dożylny bolus adenozyny (Adenocor) 6 mg, uzyskując powrót rytmu zatokowego z czynnością komór początkowo 115/min, po kilku minutach 95–98/min. W wykonanym spoczynkowym zapisie ekg po uzyskaniu powrotu rytmu zatokowego ujawniono cechy preekscytacji – skrócenie PQ, falę delta oraz wtórne zmiany repolaryzacji – cechy typowe dla zespołu Wolffa-Parkinsona-White’a.
W szczegółowo zbieranym wywiadzie dziewczyna potwierdziła, iż od około 2 lat występują u niej ze zmienną częstością w ciągu miesiąca krótkotrwałe incydenty nagłego bicia serca z towarzyszącym uczuciem osłabienia, nudności, zawrotów głowy i mroczków przed oczami. Incydenty te trwają zwykle kilkanaście do kilkudziesięciu minut, występują w spoczynku oraz częściej podczas aktywności fizycznej i ustępują samoistnie. Dotychczas pacjentka nie wymagała interwencji medycznych, z tego powodu nigdy nie była konsultowana kardiologicznie. W wykonanych w klinice badaniach laboratoryjnych, echokardiografii, rtg klatki piersiowej nie stwierdzono nieprawidłowości.
Na podstawie wywiadu oraz wymienionych wyżej badań dodatkowych (ekg spoczynkowe, zapis ekg podczas napadu częstoskurczu) rozpoznano ostatecznie zespół preekscytacji Wolffa-Parkinsona-White’a i zakwalifikowano pacjentkę do badania elektrofizjologicznego z dostępu od strony żył udowych. W badaniu elektrofizjologicznym stwierdzono obecność drogi dodatkowej prawostronnej przednioprzegrodowej, wobec czego jednoczasowo wykonano jej krioablację. W dalszej obserwacji nie stwierdzono cech preekscytacji w zapisie spoczynkowego ekg ani w badaniu Holter-ekg. Aktualnie pacjentka jest aktywna fizycznie, nie zgłasza żadnych incydentów tachykardii. 

Piśmiennictwo

  1. Moya A., Sutton R., Ammirati F. i wsp.: Guidelines for the diagnosis and management of syncope (version 2009). Eur. Heart J., 2009; 30: 2631–2671.
  2. McHarg M.L., Shinnar S., Rascoff H., Walsh C.A. Syncope in childhood. Pediatr Cardiol 1997;18:367–371.
  3. Benditt D.G., Ferguson D.W., Grubb B.R. i wsp. Tilttable testing for assessing syncope. ACC expert consensus document J. Am. Coll.Cardiol.1996; 28:263–275. 
  4. Ponikowski P., Banasiak W. Patofizjologiczne mechanizmy omdleń odruchowych. Folia cardiologica 1999:6(1):4–9.
  5. Moodley M. Clinical approach to syncope in children. Semin Pediatr Neurol.2009;8:370–81.
  6. Kanjwal K., Calkins H. Syncope in children and adolescents. Cardiac Electrophysiol Clin. 2013;5:443–455.
  7. Fisher J.W., Cho C.S. Pediatric syncope: cases from the emergency deparment. Emerg Med Clin North Am. 2010;28:501–516.
  8. Prodinger R.J., Reisdorff E.J. Syncope in children. Emerg Med Clin North Am. 1998:16:617–626.
  9. Singhi P., Saini A.G. Syncope in Pediatric Practice. Indian J Pediatr 2017.DOI 10.1007/s12098-017-2488-9.
  10. Massin M.M., Malekzadeh-Milani S., Benatar A. Cardiac syncope in pediatric patients. Clin, cardiol. 2007; 30: 81–85.
  11. Villain E. Cardiac syncope in children. Arch Pediatr 2004;11:169–174.
  12. Massin M., Leroy P., Misson J.P., Lepage P. Catecholaminergic polymorphic ventricular tachycardia: An often unrecognized diagnosis. Arch Pediatr 2003;10:524–526.
  13. Massin M., Coremans C. Recurrent syncope. Postgrad Med J 2005;81:200–202.
  14. Kouakan C., Vaksmann G., Pachy E., Lacroix D., Rey C., Kacet S. Long term follow-up of children and adolescents with syncope: predictor of syncope recurrence Eur Heart J 2001;22:1618–1625.
  15. Wren C. Cardiac causes for syncope or sudden death in childhood. Arch Dis Cild 1999;81:289–291.
  16. Silka M.J., Kron J., Walance C.G. i wsp. Assessment and follow-up of pediatric survivors of sudden cardiac death. Circulation 1990:82:341–349.
  17. Bazett H.C. An analysis of the time-relations of electrocardiograms. „Heart”, s. 353–370, 7 1920.
  18. Ritter S., Lloyd Y., Tani M.D. i wsp. What is the yield od screening echocardiography in pediatric syncope? Pediatrics 2000;105:58.
  19. Benditt D.G., Nguyen J.T. Syncope: therapeutic approaches. J. Am Coll Cardiol 2009; 53:1741–1751.
  20. Brugada J., Blom N., Sarquella-Brugada G. i wsp. European Heart Rhythm Association; Association for European Paediatric and Congenital Cardiology: Pharmacological and non-pharmacological therapy for arrhythmias in the pediatric population: EHRA and AEPC-Arrhythmia Working Group joint consensus statement. Europace 2013;15: 1337–1382.

Przypisy

    POZNAJ PUBLIKACJE Z NASZEJ KSIĘGARNI