Niedokrwienny udar mózgu u dzieci

Pediatria interdyscyplinarna

Udarem niedokrwiennym mózgu według definicji Światowej Organizacji Zdrowia (WHO) określa się zespół kliniczny cechujący się nagłym wystąpieniem ogniskowych lub uogólnionych zaburzeń czynności mózgu utrzymujących się dłużej niż 24 godziny i niemających innej przyczyny niż naczyniowa. Jeżeli nagłe, ogniskowe objawy neurologiczne z zakresu unaczynienia przez określoną tętnicę trwają krócej niż 24 godziny, definiowane są jako przemijający atak niedokrwienny (transient ischemic attack – TIA).

Epidemiologia

Według jednych z pierwszych badań przeprowadzonych przez zespół Schoenberga w latach 1965–1974 częstość występowania udaru w populacji dziecięcej wynosi 2,5/100 000/rok, przy czym udar niedokrwienny to 0,63/100 000/rok, zaś udar krwotoczny ok. 1,89/100 000/rok.
Badania prowadzone w kolejnych latach wskazują na podobne bądź nieco częstsze ich występowanie. Fullerton i wsp.określili występowanie udaru u dzieci na 2,3/ 100 000/rok, natomiast zespół Lyncha wykazał, że jest to 7,8/100 000/rok. Badanie zespołu Girouda wskazuje, że częstość udaru niedokrwiennego u dzieci to 13/100 000/rok. 

Czynniki ryzyka udaru niedokrwiennego mózgu

Choć według danych z piśmiennictwa dotychczas zidentyfikowano już ponad 100 czynników ryzyka udaru, nadal w ok. połowie przypadków etiologia pozostaje niejasna. Głównymi czynnikami ryzyka są wrodzone i nabyte wady serca, infekcje, różnego typu zaburzenia hematologiczne i przyczyny genetyczne. Inne, rzadsze to rozwarstwienie tętnicy (CAD), dysplazja włóknisto-mięśniowa (FMD), zapalenie naczyń, choroba moyamoya. Często u jednego pacjenta występuje kilka czynników ryzyka, w wielu przypadkach nadal nie udaje się jednak wskazać żadnego. 
Ważnym czynnikiem prowadzącym do wystąpienia udaru u dziecka są zaburzenia hematologiczne. Zaburzenia elementów morfotycznych krwi, które mogą powodować powikłania mózgowe, obejmują: czerwienicę prawdziwą, nadpłytkowość, małopłytkowość, białaczki. W ok. 40% przypadków stwierdza się koagulopatie. Podkreśla się zwłaszcza rolę niedoborów antytrombiny III, białka C i białka S, oporności na aktywowane białko C, mutacji genu V1691 GA (mutacja typu Leiden) i genu 20 210 GA.
W piśmiennictwie często wskazuje się na hiperhomocysteinemię jako przyczynę udaru mózgu. Badania naukowe wskazują na wyraźny związek między wystąpieniem udaru u dzieci a stwierdzoną obecnością wysokiego stężenia homocysteiny w surowicy krwi.
Do innych przyczyn metabolicznych występowania udarów u dzieci należą: choroba Fabry'ego (lizosomalna choroba spichrzeniowa sprzężona z chromosomem X), a także choroby mitochondrialne – zespół MELAS (Mitochondria Encephalopathy with Lactic Acidosis and Stroke-like Episodes), który jest schorzeniem spowodowanym mutacją mitochondrialnego DNA. W przebiegu choroby występować mogą: migrena z aurą, głuchota, otępienie, napady padaczkowe, zwyrodnienie siatkówki, hipogonadyzm podwzgórzowy.
Inną, szczególnie częstą przyczyną udarów u dzieci są wrodzone wady układu sercowo-naczyniowego, w tym wady siniczne (m.in. tetralogia Fallota), przetrwały otwór owalny oraz anomalie łuku i zastawek aorty. Rozpoznania drożnego otworu owalnego dokonuje się za pomocą przezczaszkowej ultrasonografii dopplerowskiej z kontrastem pęcherzykowym. Natomiast przezprzełykowa echokardiografia pozwala na rozpoznanie również innych źródeł zatorów w lewym sercu (m.in. śluzaka, skrzepliny w uszku lewego przedsionka). Ważną rolę w powstawaniu udaru odgrywają również zakażenia występujące z rożnych przyczyn, wywołane przez wirusy i bakterie (m.in. Herpes zoster, Mycoplasma pneumoniae, Chlamydia pneumoniae), a także gruźlica oraz borelioza czy zakażenie wirusem HIV. W piśmiennictwie spotyka się także wiele opisów udarów związanych z ospą wietrzną.
Najczęstsze przyczyny udaru niedokrwiennego u dzieci przedstawia tab. 1. 

Tab. 1. Przyczyny udarów niedokrwiennych u dzieci

choroby serca  wrodzone i nabyte wady serca (ubytek przegrody międzyprzedsionkowej, przetrwały otwór owalny), choroba reumatyczna, zaburzenia rytmu serca i przewodzenia 
zapalenie naczyń – autoimmunologiczne toczeń rumieniowaty układowy, zapalenie guzkowe tętnic, choroby Takayashu, Kawasaki, Schönleina-Henocha, zespół hemolityczno-mocznicowy
koagulopatie i choroby hematologiczne policytemia trombocytowa, plamica małopłytkowa, białaczka, hemoglobinopatie (niedokrwistość sierpowata), koagulopatie (niedobory białek C i S, antytrombiny III, plazminogenu, oporność na aktywne białko C), przeciwciała antyfosfolipidowe, niedokrwistość z niedoboru żelaza
nieprawidłowości strukturalne i waskulopatie  dysplazja włóknisto-mięśniowa, malformacje naczyniowe, choroba moyamoya, Fabry’ego, homocystynuria, zespół Ehlersa-Danlosa
układowe choroby naczyń nadciśnienie tętnicze, cukrzyca, hypernatremia
skurcz naczyń migrena, stosowanie kokainy
uszkodzenia naczyń mechaniczny uraz naczyń
choroby metaboliczne homocystynuria, choroby mitochondrialne (zespół MELAS), dyslipoproteinemie, choroba Menkesa 
choroby zapalne zapalenie opon mózgowo-rdzeniowych, infekcje (bakteryjne, wirusowe, grzybicze, pasożytnicze)

Objawy kliniczne niedokrwiennego udaru mózgu

Kliniczne objawy udaru mózgu:

  • niedowład lub porażenie połowicze,
  • połowicze zaburzenia czucia,
  • ataksja,
  • zaburzenia mowy o typie afazji (afazja ruchowa, czuciowa),
  • zaburzenia widzenia,
  • zaburzenia w polu widzenia,
  • zaburzenia gałkoruchowe,
  • zaburzenia przytomności,
  • zaburzenia równowagi,
  • podwójne widzenie,
  • zaburzenia połykania.

U większości dzieci początek udaru jest najczęściej nagły lub ostry. Dziecko z udarem niedokrwiennym zwykle jest w stanie ogólnym dość dobrym, przytomne. Objawy pojawiają się najczęściej u dziecka wcześniej zdrowego.
U dzieci obserwuje się następujące objawy: niedowłady połowicze, a także nerwów czaszkowych i inne (w zależności od topografii ogniska niedokrwiennego) oraz w zależności od wieku dziecka zaburzenia mowy – afazja, zaburzenia językowe, bóle głowy, mogą występować zaburzenia świadomości, wymioty, drgawki. Należy podkreślić, że bóle głowy w udarach niedokrwiennych zarówno u dorosłych, jak i u dzieci występują znacznie rzadziej w ostrej fazie choroby niż w udarach krwotocznych. Zaburzeniom ruchowym towarzyszą połowicze zaburzenia czucia, ubytki w polu widzenia, a w przypadku zawału móżdżku pojawić się mogą zaburzenia równowagi i inne objawy zespołu móżdżkowego. 

Diagnostyka udaru niedokrwiennego mózgu

Ważnym elementem jest prawidłowo zebrany wywiad, w którym należy uwzględnić początek zachorowania, kolejność występowania objawów, przebyte choroby.
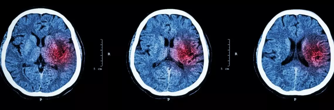
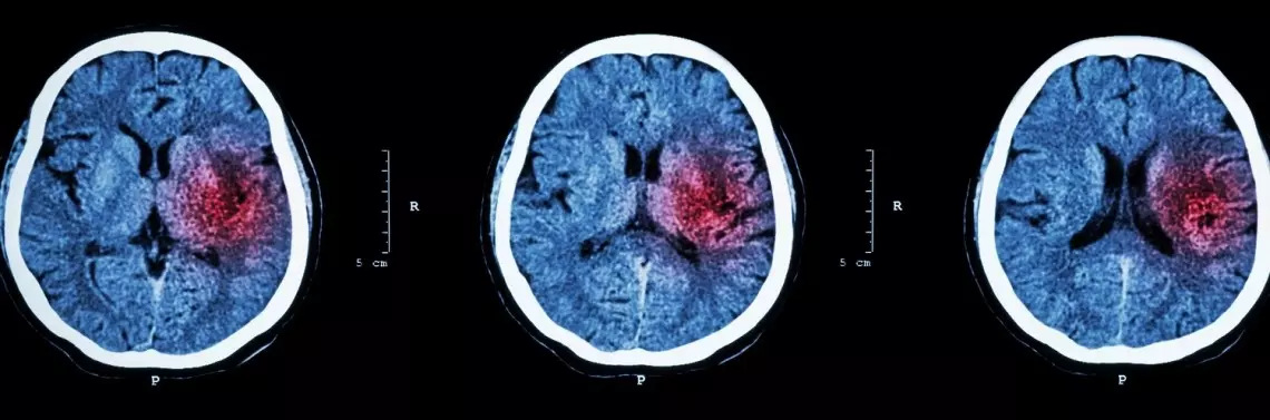
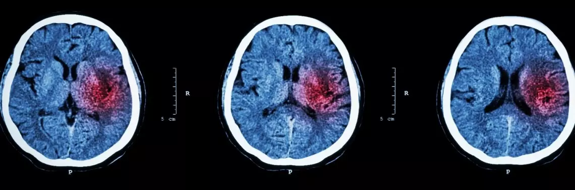
Istotną rolę w diagnostyce udaru niedokrwiennego mózgu odgrywają badania neuroobrazowe. Najważniejsze na początku zachorowania jest ustalenie rodzaju udaru, od tego bowiem zależy dalsze postępowanie diagnostyczne, a przede wszystkim leczenie. Badanie TK ma zasadnicze znaczenie w różnicowaniu udaru niedokrwiennego z udarem krwotocznym. Natomiast badanie MRI uwidacznia nawet małe zawały, również te na podstawie mózgu, w pniu mózgu i innych strukturach tylnego dołu czaszkowego, tj. obszarów nieuwidocznionych w badaniu TK w ciągu pierwszych godzin. 
Kolejnym etapem diagnostyki są pomocnicze badania laboratoryjne, przy jednoczesnym monitorowaniu czynności życiowych.
Badania, które należy wykonać, to: badania ogólne moczu, morfologia z rozmazem, glukoza, gazometria, sód, potas, mocznik, kreatynina, CRP, profil wątrobowy, trójglicerydy, cholesterol, lipoproteina(a), homocysteina, czas protrombinowy, APTT, INR, fibrynogen, D-dimery, czynnik V Leiden, białko C, białko S, antytrombina III, a także przeciwciała antykardiolipinowe, ANA (przeciwciała przeciwjądrowe), antykoagulant toczniowy, ANCA (przeciwciała przeciw cytoplazmie neutrofilów), mutacja genu protrombiny 202100A, reduktaza metylenotetrahydrofolianowa (MTHFTR). Konieczne są także badania bakteriologiczne oraz wirusologiczne.
U każdego dziecka z udarem należy wykonać badanie echokardiograficzne, a w przypadku braku etiologii udaru –  badanie echokardiograficzne przezprzełykowe.

Leczenie udaru niedokrwiennego mózgu

Wszystkie dzieci, tak jak i dorośli, powinny być jak najszybciej hospitalizowane w ośrodkach wysokospecjalistycznych i po wstępnej diagnostyce poddane odpowiedniemu leczeniu wraz z rehabilitacją. Po wykluczeniu udaru krwotocznego (pilne TK głowy) rozpocząć należy leczenie antyagregacyjne, przeciwobrzękowe, przeciwdrgawkowe oraz leczenie towarzyszących infekcji. Należy zapewnić właściwą podaż płynów, kontrolować glikemię, monitorować ciśnienie tętnicze krwi, rozpoznać i leczyć towarzyszące choroby, zwłaszcza infekcje, stosować leczenie przeciwobrzękowe tylko w przypadku wystąpienia objawów wzmożonego ciśnienia śródczaszkowego. Ważna jest zatem minimalizacja hipoksemii, hiperkapnii, leczenie hipertermii, ostrożne obniżanie RR. Zwraca się uwagę na ułożenie chorego: uniesienie wezgłowia łóżka o 20–30° w celu ułatwienia odpływu żylnego. Przy gwałtownie rozwijających się objawach obrzęku mózgu można podać: 20% mannitol i.v., furosemid i.v. (co drugi wlew mannitolu) lub jednorazowo mannitol. Obecnie nie zaleca się stosowania steroidów, gdyż brakuje dowodów na ich skuteczność w leczeniu obrzęku, za to istnieje możliwość powikłań: krwawienia z przewodu pokarmowego, wzrostu ciśnienia tętniczego, hiperglikemii.
Leczenie przeciwpłytkowe: aspiryna 5 mg/kg.m.c./dobę [rekomendacjach Royal College of Physicians (RCP)]. Leczenie przeciwkrzepliwe: heparyna drobnocząsteczkowa lub frakcjonowana – według ACCP American College of Chest Physicians – przez okres 5–7 dni (do czasu wykluczenia udaru zatorowego lub rozwarstwienia ściany naczynia).
Brak rekomendacji do stosowania tkankowego aktywatora plazminogenu – (rtPA – recombined tissue plasminogen activator) w zaleceniach zarówno amerykańskich, jak i brytyjskich. W piśmiennictwie brak jest doniesień potwierdzających bezpieczeństwo i efektywność jego stosowania u dzieci. W 2016 r. ukazała się praca (Rivkin i wsp., Guidelines for urgent management of stroke in children), w której zespół autorów zajmujących się udarami mózgu opublikował schemat postępowania z dzieckiem z udarem niedokrwiennym mózgu od momentu wystąpienia objawów udaru do włączenia leczenia trombolitycznego.

Profilaktyka wtórna udaru

Kwas acetylosalicylowy (aspiryna) stosujemy według AHA 3–5 mg/kg m.c./dobę, w przypadku wystąpienia objawów ubocznych (objawy gastryczne) zmniejszenie dawki do 1–3 mg/kg m.c./dobę, leczenie należy kontynuować 2–3, a nawet 5 lat.

Rokowanie

Najczęściej spotykanymi następstwami przebytego udaru mózgu są u dzieci zaburzenia ruchowe, napady padaczkowe oraz obniżenie funkcji intelektualnych. Zaburzenia ruchowe (u 90% chorych) mogą występować w postaci niedowładu o różnym nasileniu, rzadziej – tylko niezgrabności ruchowej. Niekiedy obserwuje się obecność ruchów dystonicznych bądź atetotycznych. Padaczka po przebytym udarze mózgu u dzieci występuje u 17–26%. Upośledzenie funkcji intelektualnych, trudności w nauce oraz zaburzenia pamięci, zmniejszona zdolność koncentracji, deficyty uwagi wykazuje 26–50% pacjentów. Rokowanie co do nawrotu udaru dotyczy ok. 20% dzieci. Śmiertelność z powodu udaru niedokrwiennego mózgu wynosi 2–11%. 

Różnicowanie w czasie ostrego zachorowania

W różnicowaniu należy uwzględnić napad padaczkowy, przebiegający szczególnie z ponapadowym niedowładem (niedowład Todda), przemijający atak niedokrwienny, migrenę z aurą, zaburzenia konwersyjne oraz objawy związane z guzem mózgu.

Analiza przypadków klinicznych

Przypadek 1.

Trzynastoletni chłopiec, dotychczas zdrowy, grający w klubie młodzieżowym w piłkę nożną, został przyjęty do Kliniki Neurologii Rozwojowej w trybie pilnym z powodu wystąpienia w pełnym zdrowiu nagłego osłabienia kończyn lewych, a ponadto niewielkich bólów głowy. W badaniu neurologicznym stwierdzono objawy znacznie nasilonego niedowładu połowiczego lewostronnego z tożstronną niedoczulicą (objawy piramidowe pod postacią wygórowanych odruchów, dodatni objaw Babińskiego, zaburzenia chodu z powodu niedowładu). Wykonana w trybie pilnym w rejonowym szpitalu, do którego trafił pacjent, tomografia komputerowa głowy (TK) nie wykazała zmian. Po ok. 15 godzinach badanie MRI wykazało ognisko niedokrwienne w zakresie unaczynienia tętnicy środkowej mózgu. Celem ustalenia przyczyny udaru niedokrwiennego mózgu przeprowadzono badanie kardiologiczne: EKG, ECHO serca – stwierdzono przetrwały otwór owalny – PFO. Zdecydowano o zamknięciu otworu. Kolejne badania wykazały mutację genu protrombiny 202100A oraz reduktazy metylenotetrahydrofolianową MTHFTR, a także nieznaczne obniżenie stężenia białka S. Chłopiec był rehabilitowany, pozostał pod opieką hematologiczną, neurologiczną, a także kardiologiczną. 
 

Komentarz do przypadku 1.

Opisany przypadek chłopca z udarem niedokrwiennym mózgu jest przykładem, że u jednego dziecka może występować kilka przyczyn/czynników ryzyka udaru niedokrwiennego mózgu. Zatem diagnostyka udaru niedokrwiennego powinna być wnikliwa i zawierać badania wykluczające najczęstsze przyczyny – kardiologiczne oraz hematologiczne.

Przypadek 2.

Dwunastoletni chłopiec, bez wyraźnych obciążeń ciążowo-okołoporodowych, do tej pory ogólnie zdrowy, rozwijający się prawidłowo, został przyjęty do Kliniki Neurologii Rozwojowej w trybie pilnym celem diagnostyki i obserwacji. W dniu przyjęcia do Kliniki, w godzinach popołudniowych, po zakończonych zajęciach szkolnych (w tym lekcja WF), pojawiły się zaburzenia widzenia o charakterze pogorszenia ostrości wzroku (rozmazywanie się liter, zlewanie linijek) z towarzyszącym drętwieniem prawej dłoni i przedramienia do wysokości stawu łokciowego, niedoczulicą prawej połowy twarzy i zaburzeniami mowy – mowa niewyraźna, trudności z doborem słów. W czasie trwania powyższych zaburzeń, które utrzymywały się do półtorej godziny, pojawił się ból głowy o umiarkowanej intensywności. Ból głowy utrzymywał się do trzech godzin i ustąpił całkowicie po wymiotach. Chłopiec po wymiotach zasnął, noc przespał spokojnie. Następnego dnia stan chłopca był dobry, żadnych dolegliwości nie zgłaszał. Badaniem neurologicznym przy przyjęciu do kliniki poza ww. objawami nie stwierdzano innych nieprawidłowości. Badanie TK głowy wykonane w trybie pilnym nie wykazało zmian. Badanie MRI wraz z opcją naczyniową nie ujawniło zmian w obrębie mózgowia i naczyń. Wyniki podstawowych badań laboratoryjnych – morfologii krwi z rozmazem, stężenia glukozy, elektrolitów, kreatyniny, OB, prób wątrobowych, profilu lipidowego, koagulogramu, D-dimerów mieściły się w granicach nomy. Poszerzono diagnostykę o badania w kierunku trombofilii, mutacji Leiden, MTHFR oraz stężenia homocysteiny i autoprzeciwciał jądrowych. Wyniki tych badań nie wykazały odchyleń od normy. 
 

Komentarz do przypadku 2.

Obraz kliniczny oraz towarzyszące zaburzenia widzenia, czucia oraz mowy u opisywanego chorego nakazywał wykluczenie przede wszystkim udaru mózgu. Wykonane TK głowy pozwoliło na wykluczenie udaru krwotocznego. Ogniskowe objawy neurologiczne trwające poniżej 24 godzin mogłyby wskazywać na zespół TIA, ale narastanie objawów w czasie oraz obecny ból głowy pozwala z dużym prawdopodobieństwem na wykluczenie tego zespołu. Towarzyszący objawom ból głowy mimo umiarkowanej intensywności, utrzymywania się do trzech godzin i ustąpienia po wymiotach może sugerować pierwszy w życiu napad migreny z aurą złożoną. Rodzinne obciążenie migreną (choruje na migrenę matka chłopca) oraz możliwa prowokacja objawów wysiłkiem fizycznym czyni to rozpoznanie bardzo prawdopodobnym. Jednak ze względu na przedłużone objawy aury – powyżej godziny, czas trwania bólu poniżej 4 godzin nakazywały poszerzenie diagnostyki o obecność ewentualnych czynników ryzyka sprzyjających udarom niedokrwiennym. Pierwszy incydent migreny z aurą jest zawsze wskazaniem do wnikliwej diagnostyki, ale nie pozwala jeszcze na rozpoznanie choroby. Konieczna jest dalsza obserwacja.

Przypadek 3.

Siedemnastoletnia pacjentka, bez wyraźnych obciążeń w wywiadzie, do tej pory ogólnie zdrowa, rozwijająca się prawidłowo, została przekazana do Kliniki Neurologii Rozwojowej w trybie pilnym ze szpitala rejonowego z podejrzeniem udaru niedokrwiennego mózgu. W dniu przyjęcia, podczas zajęć szkolnych pojawiło się nagłe osłabienie prawych kończyn bez innych dolegliwości. Pacjentka nie zgłaszała bólu głowy, zaburzeń widzenia, zaburzeń mowy. W szpitalu rejonowym wykonano badanie TK głowy, podstawowe badania laboratoryjne, które nie wykazały zmian. Zdecydowano o dalszej diagnostyce w Klinice. Przy przyjęciu do Kliniki stan ogólny pacjentki był dobry, dolegliwości nie zgłaszała, badaniem neurologicznym oprócz prezentowanego osłabienia prawych kończyn, pozwalającego jednak na samodzielne poruszanie się, nie stwierdzano innych objawów ogniskowych. Badanie MRI mózgowia, w tym sekwencja DWI (dyfuzji) nie wykazały nieprawidłowości. Podczas kolejnych dwóch dni hospitalizacji obserwowano wyraźną poprawę siły mięśniowej prawych kończyn do całkowitej normalizacji.
 

Komentarz do przypadku 3.

Stwierdzanemu przy przyjęciu osłabieniu mięśniowemu nie towarzyszyły inne typowe objawy zespołu piramidowego, jak asymetria odruchów, asymetria napięcia mięśniowego, obecność objawów patologicznych, np. objawu Babińskiego. Brak zmian w badaniu TK głowy nie wykluczał ogniska niedokrwiennego, a jedynie pozwolił na wykluczenie udaru krwotocznego. Jednak prawidłowy obraz MRI, w tym brak zmian w dyfuzji, przeczy możliwości rozpoznania udaru niedokrwiennego. Wnikliwa rozmowa z pacjentką, jej matką, konsultacja psychologiczna wykazały istnienie problemów o podłożu psychogennym będących przyczyną powyższych zaburzeń. Po wykluczeniu podłoża organicznego należy rozważyć możliwość zaburzeń konwersyjnych, które szczególnie u młodzieży, mogą być przyczyną rozmaitych dolegliwości i nierzadko stwarzać trudności diagnostyczne.

Podsumowanie 

Udar niedokrwienny mózgu u dzieci związany jest często z wystąpieniem trwałej lub znacznej niepełnosprawności zwłaszcza ruchowej, wiąże się również z wysokim ryzykiem nawrotu oraz ze stosunkowo dużą śmiertelnością. Dlatego też dzieci z podejrzeniem udaru mózgu wymagają szczególnej opieki w ośrodku specjalistycznym, w którym jest możliwość stałej opieki neurologa dziecięcego, diagnostyki neuroobrazowej z uwzględnieniem MRI oraz konsultacji kardiologicznej.

Piśmiennictwo:

  1. Biller J. Stroke in children and young adults, wyd. 2, Saunders, Philadelphia 2009.
  2. Fullerton H.J., Wu Y.W., Sidney S., i wsp. Risk of recurrent childhood arterial ischemic stroke in a population-based cohort: the importance of cerebrovascular imaging. Pediatrics 2007;119:495-501.
  3. Ganesan V., Kirkham F. Stroke and cerebrovascular disease in childhood, Mac Keith Press, London 2011. 
  4. Kenet G., Lutkhoff L.K., Albisetti M., i wsp. Impact of thrombophilia on arterial ischemic stroke or cerebral sinovenous thrombosis in children: a systematic review and meta-analysis of observational studies. Circulation 2010;121:1838-1847.
  5. Kopyta I., Sarecka-Hujar B., Skrzypek M. Post-stroke epilepsy in Polish paediatric patients, Dev Med Child Neurol, 2015, 57(9), 821–828.
  6. Pilarska E., Lemka M. Udar mózgu, [w:] Standardy postępowania diagnostyczno-terapeutycznego w schorzeniach układu nerwowego u dzieci i młodzieży (red. Steinborn B.), BiFolium, Lublin 2015. 
  7. Rivkin M.J., i wsp. Guidelines for urgent management of stroke in children, Pediatr Neurol, 2016, 56, 8–17.
  8. Roach E.S., i wsp. Management of stroke in infants and children: A scientific statement from a Special Writing Group of the American Heart Association Stroke Council and the Council on Cardiovascular Disease in the Young, Stroke, 2008, 39(9), 2644–2691. 
  9. Schoenberg B.S., Mellinger J.F., Schoenberg D.G. Cerebrovascular disease in infants and children: A study of incidence, clinical features, and survival, Neurology, 1978, 28(8), 763–768. 
  10. Sirachainan N., Tapanapruksakul P., Visudtibhan A., i wsp. Homocysteine, MTHFR C677 T, vitamin B12, and folate levels in Thai children with ischemic stroke: a case-control study. J Pediatr Hematol Oncol 2006;28:803–808.

Przypisy

    POZNAJ PUBLIKACJE Z NASZEJ KSIĘGARNI