Suplementacja witaminą D u dzieci – wskazówki praktyczne

Studium przypadku

Witamina D odgrywa istotną rolę, nie tylko w regulacji gospodarki wapniowo-fosforanowej (Ca-P), ale także w funkcjonowaniu bardzo wielu komórek, tkanek i narządów. Profilaktyka niedoborów powinna być prowadzona na każdym etapie życia dziecka. Aktualnie rekomendowane w profilaktyce niedoborów dawki witaminy D uwzględniają jej wielokierunkowe działanie i powinny być pomocne w ograniczeniu wielu problemów zdrowotnych w populacji wieku rozwojowego. W codziennej praktyce dokładne zebranie wywiadu uwzględniające czynniki ryzyka niedoboru witaminy D oraz dokładne badanie kliniczne pozwalają oszacować stan zaopatrzenia w witaminę D. W przypadku przesłanek na jej ciężki niedobór przed zastosowaniem dawek leczniczych czy też przesłanek na przedawkowanie witaminy D wskazane jest rozszerzenie diagnostyki o badania biochemiczne łącznie z oznaczeniem stężenia 25(OH). 


Witamina D (10 µg = 400 IU) należy do witamin rozpuszczalnych w tłuszczach. Nie jest ona jednak typową witaminą ze względu na jej dwie szczególne cechy. Po pierwsze, możliwa jest jej endogenna produkcja, a po drugie witamina D po przejściu w formę aktywną, czyli 1,25-dwuhydroksywitaminę D [1,25(OH)2D] zachowuje się jak hormon. Po połączeniu z receptorem dla witaminy D (VDR – Vitamin D Receptor) aktywna postać witaminy D wykazuje wielokierunkowe działanie w ustroju, daleko wykraczające poza układ szkieletowy.

Lokalna synteza aktywnej witaminy D i receptory dla witaminy D obecne są w bardzo wielu komórkach/tkankach naszego organizmu, m.in. w tkance tłuszczowej, mięśniach gładkich i poprzecznie prążkowanych, mięśniu sercowym, skórze, płucach, przewodzie pokarmowym, trzustce, komórkach układu odpornościowego (makrofagi, limfocyty T). Niedobór witaminy D, poza zmianami w układzie szkieletowym o typie krzywicy, osteomalacji czy osteoporozy, zwiększa ryzyko rozwoju wielu innych chorób, m.in. infekcji, alergii, cukrzycy, nowotworów (piersi, prostaty, jelita grubego), chorób o podłożu immunologicznym (m.in. stwardnienie rozsiane, reumatoidalne zapalenie stawów, układowy toczeń rumieniowaty), nadciśnienia tętniczego czy zespołu metabolicznego [1]. Szczególną uwagę zwracają jednak doniesienia o odległych konsekwencjach niedoboru witaminy D z okresu życia płodowego i niemowlęcego, co należy wiązać ze zjawiskiem „programowania żywieniowego” [2–4]. Dlatego tak ważne jest zapewnienie optymalnych zasobów witaminy od pierwszych 
dni życia.

Metabolizm witaminy D

Aktywna witamina D (1,25(OH)2D – karcitriol), powstaje w dwuetapowym procesie hydroksylacji. Proces ten zachodzi niezależnie od źródła pochodzenia witaminy D. W pierwszym etapie w wątrobie powstaje 25-hydroksywitamina D (25(OH)D), która pod wpływem 1-alfa hydroksylazy (CYP27B1) jest przekształcana w 1,25(OH)2D w nerkach, ale również lokalnie w wielu innych narządach i komórkach (m.in. trzustka, prostata, gruczoł sutkowy, kości, przytarczyce, mózg, jelito grube, keratynocyty, makrofagi, komórki endotelium). Jednak lokalna synteza nie powoduje istotnego wzrostu stężenia 1,25(OH)2D we krwi, służy autokrynnej lub parakrynnej regulacji procesów wzrostu i różnicowania komórkowego.

Naturalne źródła witaminy D

Dla płodu głównym źródłem witaminy D jest transport 25(OH)D przez łożysko od matki do płodu. Stężenie 25(OH)D u płodu dodatnio koreluje ze stężeniem u matki, choć zwykle jest niższe, dlatego też zasoby ustrojowe witaminy D płodu i noworodka pozostają w bezpośrednim związku z zasobami matki z okresu ciąży [5]. Noworodki matek z niedoborem witaminy D w ciąży mają niedostateczne zasoby witaminy D przy urodzeniu. Jeżeli niedoborom witaminy D nie towarzyszą niedobory wapnia w diecie kobiety ciężarnej, noworodki na ogół nie prezentują objawów klinicznych i zaburzeń podstawowych parametrów gospodarki Ca-P w pierwszych tygodniach życia [6–8].

W okresie postnatalnym głównym źródłem witaminy D jest synteza skórna (poza okresem noworodkowym i wczesno niemowlęcym), dieta oraz suplementy. W skórze pod wpływem promieniowania słonecznego z 7-dehydocholesterolu, powstaje prewitamina D3, która pod wpływem temperatury przekształca się w witaminę D3. Jednak w organizmie ludzkim istnieją sprawne mechanizmy regulujące i zabezpieczające przed zatruciem w przypadku intensywnej ekspozycji na słońce. W takich przypadkach nadmiar witaminy D przekształcany jest w skórze w nieaktywne metabolity. W naszej strefie geograficznej efektywna synteza skórna zachodzi jedynie od połowy kwietnia do połowy września przy zapewnieniu min. 15-minutowej ekspozycji przy odsłoniętych przedramionach i częściowo nogach w godzinach od 10.00 do 15.00 [9]. Należy podkreślić szereg dodatkowych ograniczeń w endogennej syntezie witaminy D, takich jak: zachmurzenie, zanieczyszczenia powietrza, mgły, ubranie, ciemna karnacja, filtry UV. Przez stulecia endogenna synteza witaminy D miała podstawowe znaczenie w utrzymaniu prawidłowych zasobów ustrojowych witaminy D, jednak wraz ze zmianą stylu życia, rosnącym zanieczyszczeniem środowiska oraz powszechnym stosowaniem filtrów UV znaczenie syntezy skórnej istotnie zmalało. 

Udział diety w budowaniu zasobów ustrojowych witaminy D u dzieci jest ograniczony ze względu na niskie spożycie tłustych ryb, które są najbogatszym źródłem witaminy D (np. węgorz 1200 IU/100 g, śledź w oleju około 800 IU/100 g, łosoś 540 IU/100 g, dorsz 40 IU/100 g, ryby z puszki około 200 IU/100 g). Do produktów stanowiących istotne źródło witaminy D zalicza się mleka modyfikowane dla niemowląt oraz dla dzieci powyżej 1. r.ż., gdyż są one wzbogacane w witaminę D. Mleka początkowe dostarczają około 40–55 IU/100 ml, mleka następne w granicach 40–75 IU/100 ml, zaś mleka modyfikowane dla dzieci od 1. do 3. r.ż. dostarczają około 50–120 IU/100 ml.

W witaminę D wzbogacane są również kaszki mleczno-zbożowe (około 20 IU/10 g kaszki), jednak precyzyjne określenie spożycia witaminy D w tym przypadku jest utrudnione, gdyż matki przygotowują kaszki o różnej gęstości. 

Pokarm kobiecy zawiera śladowe ilości witaminy D, ponieważ do pokarmu kobiecego przenikają niewielkie ilości witaminy D i jej metabolitów [5, 10]. Łączne stężenie witaminy D i jej metabolitów w pokarmie mówi o jego tzw. aktywności przeciwkrzywiczej, która jest bardzo niska i wynosi około 50 IU/l [5]. Aby zwiększyć aktywność przeciwkrzywiczą pokarmu do wartości porównywalnych jak w mleku początkowym (400 IU/l), konieczna byłaby suplementacja witaminą D matki karmiącej na poziomie 4000–6400 IU/d lub codzienna intensywna ekspozycja na słońce [11, 12]. Zalecane w profilaktyce dawki witaminy D u matek karmiących (1500–2000 IU/d)
nie mają wpływu na zasoby witaminy D u potomstwa karmionego piersią.

Ocena zasobów ustrojowych witaminy D

W ocenie zasobów ustrojowych witaminy D mamy do dyspozycji kilka narzędzi o różnej precyzji. 

Wywiad

Dokładne zebranie wywiadu uwzględniającego dietę, stosowane preparaty farmakologiczne zawierające witaminę D oraz syntezę skórną (pora roku, czas spędzany na świeżym powietrzu). W przypadku noworodków należy dopytać również o suplementację matki z okresu ciąży, porę roku, na którą przypadały ostatnie miesiące ciąży. Oczywiście jeżeli dziecko było karmione wyłącznie piersią i nie otrzymywało preparatów farmakologicznych zawierających witaminę D, ryzyko niedoboru (nawet ciężkiego) jest bardzo wysokie, podczas gdy u niemowlęcia karmionego sztucznie z dodatkową suplementacją nie spodziewamy się niedoborów. Niedobór witaminy D jest również wysoce prawdopodobny u dzieci bez suplementacji zimą i wczesną wiosną. W wywiadzie należy również uwzględnić patologie negatywnie wpływające na zasoby witaminy D, np. otyłość, choroby wątroby, przewodu pokarmowego (m.in. mukowiscydoza, celiakia, choroba Crohna, przewlekłe biegunki, zespół krótkiego jelita, cholestaza, niewydolność wątroby), niewydolność nerek, zespół nerczycowy, leki przyspieszające katabolizm witaminy D (leki przeciwdrgawkowe, leki immunosupresyjne, glikokortykosteroidy) [9, 13]. 

Badanie przedmiotowe

Dokładne badanie dziecka może nam nasuwać podejrzenie krzywicy czy przedawkowania witaminy D, szczególnie jeżeli jest ono spójne z danymi z wywiadu. Jednak zmiana dawkowania witaminy D jedynie na podstawie wielkości ciemiączka, szybkości jego zarastania, rozmiękania potylicy, nadmiernego pocenia się dziecka czy pojawiania się jąder kostnienia w USG stawów biodrowych jest obarczona dużym błędem. 

Należy podkreślić, że rozmiękanie potylicy jest częstym znaleziskiem u trzymiesięcznych niemowląt i nie pomaga w rozpoznaniu krzywicy [14]. Bez wątpienia nie jest również objawem patognomonicznym krzywicy [15]. Rozmiękanie potylicy może być wynikiem niedoborów witaminy D, ale u wcześniaków częściej jest spowodowane niedoborem Ca i/lub P (osteopenia wcześniacza) [16]. Stwierdza się ją również w przedawkowaniu witaminy A, czy u dzieci z nieleczoną kwasicą cewkową dystalną powodującą zaburzenia gospodarki Ca-P [17]. Rozmiękanie potylicy czasami występuje u zupełnie zdrowych, ale szybko rosnących niemowląt. W takim razie rozmiękanie potylicy u dziecka z prawidłową suplementacją witaminą D nie jest dowodem na jej niedobór i nie może stanowić podstawy do zwiększenia dawki witaminy D, gdyż niesie to ryzyko jej przedawkowania. 

Wielkość ciemiączka również nie jest precyzyjnym markerem zasobów witaminy D, dlatego zwiększanie dawki witaminy D u niemowląt z dużym ciemiączkiem może prowadzić do jej przedawkowania, a odstawianie witaminy D u niemowląt z małym ciemiączkiem – do jej niedoboru [18]. Warto w tym miejscu podkreślić, że choć ciemiączko przednie zwykle zarasta około 10.–18. m.ż. to najwcześniej w 3. m.ż. a najpóźniej w 19.–28. m.ż. [19, 20]. 

Objawy kliniczne niedoboru witaminy D (tab. 1) bardzo rzadko są widoczne po urodzeniu, zwykle pojawiają się u dzieci powyżej 3. m.ż. Drugi szczyt zachorowania przypada na okres przyspieszonego wzrostu. Natomiast czas pojawienia się objawów przedawkowania witaminy D (tab. 2) jest uzależniony od zastosowanych dawek witaminy D oraz wieku dziecka. Szybciej pojawiają się u małych niemowląt szczególnie po zastosowaniu dawek uderzeniowych, zwykle po upływie 1–3 miesięcy podawania dużych dawek witaminy D.

Tab. 1. Kliniczne objawy niedoboru witaminy D

  • rozmiękanie potylicy, wydatne guzy czołowe, duże przednie ciemiączko, opóźnione jego zarastanie
  • opóźnione wyżynanie zębów mlecznych, defekty w budowie szkliwa, nasilona próchnica
  • pogrubienie połączeń chrzęstno-kostnych („różaniec krzywiczy”, „bransolety krzywicze”)
  • skrzywienie kręgosłupa i deformacje klatki piersiowej (klatka szewska, kurza)
  • deformacje kości długich (szpotawość, koślawość)
  • bóle kostne, złamania kości (zwłaszcza u dzieci starszych)
  • nadmierna potliwość
  • drgawki hipokalcemiczne (zwykle > 6. m.ż.)
  • hipotonia mięśniowa
  • opóźniony rozwój ruchowy
  • słabe przyrosty masy ciała
  • nawracające infekcje
  • niedokrwistość z niedoboru żelaza
  • słaba tolerancja wysiłku, zmęczenie

Tab. 2. Kliniczne objawy przedawkowania witaminy D

  • wielomocz
  • zwiększone pragnienie
  • złogi w układzie moczowym (hiperkalciuria)
  • zwapnienia w tkankach (wapnica nerek, zwapnienia tkanek miękkich)
  • nadciśnienie tętnicze, bradykardia
  • powiększenie wątroby i śledziony
  • zaburzenia neurologiczne:
    • obniżone napięcie mięśniowe
    • wygórowane odruchy głębokie
    • nadpobudliwość, drżenia, rzadko drgawki
  • słabe przyrosty masy ciał
  • zaparcia, problemy z karmieniem, brak apetytu, wymioty

Badania pomocnicze

Do precyzyjnej oceny zasobów ustrojowych witaminy D służą oznaczenia stężenia 25(OH)D we krwi. Stężenie 25(OH)D jest najbardziej stabilne, a jego okres półtrwania wynosi około trzech tygodni. Za optymalne uznaje się stężenie 30–50 ng/ml, zaś wartości < 20 ng/ml świadczą o niedoborze witaminy D i wówczas należy rozpocząć leczenie. Wartości > 100 ng/ml są potencjalnie toksyczne i świadczą o przedawkowaniu witaminy D [9]. W przypadku stwierdzenia stężenia 25(OH)D > 80 ng/ml należy odstawić preparaty zwierające witaminę D na okres 1–2 miesięcy. U niemowląt i małych dzieci ze stężeniem 25(OH)D w granicach 50–80 należy zredukować dawkę suplementacyjną.

Należy zwrócić uwagę na jednostki, w jakich wyrażone jest stężenie 25(OH)D w surowicy (1 ng/ml = 2,5 nmol/l) i odnieść do stosownej normy. Nie ma wskazań do powszechnego oznaczania stężenia 25(OH)D, jednak w przypadku obecności istotnych czynników ryzyka, objawów klinicznych niedoboru czy przedawkowania należy rozważyć wykonanie badania. 

Natomiast stężenie 1,25(OH)2D we krwi nie odzwierciedla zasobów ustrojowych witaminy D, kalcitriol ma bowiem bardzo krótki okres półtrwania, a jego chwilowe stężenie wzrasta pod wpływem parathormonu oraz niskiego stężenia wapnia i fosforu we krwi, natomiast obniża się pod wpływem hiperkalcemii, hiperfosfatemii oraz FGF23 (Fibroblast Growth Factor 23) [21]. Wysokie stężenie 1,25(OH)2D możemy np. zaobserwować u niemowlęcia z osteopenią wcześniaków spowodowaną niedoborem fosforanów nawet z obniżonym stężeniem 25(OH)D. Dlatego też oznaczanie stężenia 1,25(OH)2D nie jest przydatne w codziennej praktyce w monitorowaniu suplementacji czy też leczeniu witaminą D.

Stężenie 1,25(OH)2D oznacza się jedynie w wybranych patologiach nerkowych czy krzywicach uwarunkowanych genetycznie. 

Pośrednio o zasobach ustrojowych witaminy D można wnioskować na podstawie wyników podstawowych badań biochemicznych oceniających gospodarkę Ca-P (Ca, P we krwi i moczu, aktywność fosfatazy alkalicznej). Niestety z doświadczenia własnego wynika, że taka ocena u noworodków i niemowląt do 3. m.ż. jest obarczona błędem. W późniejszym okresie należy spodziewać się typowych zmian w badaniach biochemicznych, jednak należy pamiętać, że w pierwszej fazie niedoboru witaminy D odchylenia w badaniach biochemicznych mogą być dyskretne nawet przy znacznym niedoborze witaminy D (tab. 3). Najbardziej typowe jest niskie stężenie P we krwi przy jego zwiększonym wydalaniu z moczem oraz podwyższona aktywność fosfatazy alkalicznej jako wynik zwiększonego wydzielania PTH stymulowanego hipokalcemią. PTH dzięki resorpcji kostnej pozyskuje Ca do znormalizowania kalcemii, jednak ma również bardzo silne działanie fosfaturyczne. W tab. 3 przedstawiono szczegółowe wyniki badań biochemicznych, jakie stwierdza się w krzywicy niedoborowej w zależności od fazy choroby [22]. 

Tab. 3. Wyniki badań biochemicznych w zależności od stopnia zaawansowania i czasu trwania niedoborów witaminy D [22]

Tab. 4. Różnicowanie przyczyn hiperkalcemii na podstawie badań biochemicznych [23]

W przedawkowaniu witaminy D spodziewamy się hiperkalcemii z wtórną hiperkalciurią oraz podwyższonego stężenia fosforanów (tab. 4), gdyż 1,25(OH)2D zwiększa nie tylko wchłanianie Ca, ale również fosforanów w jelicie cienkim. Co ważne, obserwuje się zmienność osobniczą w tym zakresie, dlatego też prawidłowe wartości gospodarki Ca-P nie są pewnym dowodem, że stężenie 25(OH)D nie przekracza 100 ng/ml. U dzieci z nadwrażliwością na witaminę D objawy przedawkowania witaminy D mogą również wystąpić przy niższych stężeniach 25(OH)D we krwi.

W ocenie gospodarki Ca-P konieczne jest odniesienie wyników badań do normy dla wieku. Wydalanie wapnia z moczem ocenia się najczęściej na podstawie wskaźnika wapniowo-kreatyninowego w porcji moczu, którego wartości obniżają się wraz z wiekiem (< 6. m.ż: < 0,91 mg/mg, 7.–12. m.ż.: < 0,81 mg/mg, 1–3 lata: < 0,5 mg/mg, 3–7 lat: < 0,3 mg/mg, > 7. r.ż. < 0,25 mg/mg) [21]. U wcześniaków (< 34. Hbd) kalciuria jest jeszcze wyższa, wyrównuje się z wartościami stwierdzanymi u dzieci donoszonych około 5. m.ż.(wartości szacunkowe z wykresu: 1. m.ż. < 1,4 mg/mg, 2. m.ż. < 1,25 mg/mg, 3. m.ż. < 1 mg/mg, 5. m.ż. < 0,8 mg/mg) [16].

Warto zwrócić uwagę, że również stężenie fosforanów w surowicy (mg/dl = mmol/l x 0,32) obniża się wraz z wiekiem. Odniesienie wyników u noworodka czy niemowląt do normy dla dorosłych, która często jest zamieszczana na wyniku badania, prowadzi do błędnej interpretacji i nierozpoznania hipofosfatemii. Prawidłowe stężenia fosforanów we krwi dla noworodków i wcześniaków to: 1,8–2,8 mmol/l, dla niemowląt: 1,5–2,0 mmol/l, małych dzieci: 1,2–1,8 mmol/l, zaś dzieci starszych i młodzieży: 0,9–1,6 mmol/l. W ocenie fosfaturii przydatny może być wskaźnik resorpcji zwrotnej fosforanów (TRP; norma 85–95%). Wartości poniżej 85% świadczą o ucieczce fosforanów (nadmiar PTH, defekt cewkowy, nadmiar P), zaś TRP > 95% o ich oszczędzaniu (niska podaż z diety, np. u niemowląt karmionych piersią, niedobór fosforanów, niedoczynność przytarczyc).

Etiopatogeneza niedoborów witaminy D

Noworodki i niemowlęta

Niedobór witaminy D stwierdza się już począwszy od okresu noworodkowego, co jest wynikiem niskich zasobów ustrojowych witaminy D u kobiet ciężarnych. Problem niedoborów witaminy D u kobiet ciężarnych w Polsce jest niemalże powszechny, chociaż odsetek kobiet ciężarnych przyjmujących preparaty witaminowe jest najwyższy w Europie [24]. Spożycie preparatów wielowitaminowych w ciąży deklaruje 63–88% kobiet [6, 25–29]. Niedobór witaminy D w ciąży dotyczy 30–75% kobiet w zależności od pory roku [28, 30]. Optymalne stężenie witaminy D we krwi (25(OH)D > 30 ng/ml) stwierdza się u zaledwie kilku procent kobiet [31]. Większość dostępnych na rynku preparatów wielowitaminowych dostarcza bowiem witaminę D w dawce dużo niższej niż aktualnie zalecana (1500–2000 IU/d) [9], a preparaty witaminy D stosuje zaledwie 0,4% kobiet ciężarnych w Polsce [29]. 

Wobec znacznego odsetka kobiet ciężarnych z niedoborem witaminy D nie dziwi podobna skala problemu u ich potomstwa. Odsetek noworodków z niedoborem witaminy D w Polsce wynosi około 35–100% w zależności od pory roku [6, 25, 31, 32]. Oczywiście zdecydowanie wyższy odsetek niedoborów obserwujemy, jeżeli poród odbył się w okresie zimowo-wiosennym. Wówczas ryzyko niedoboru witaminy D u noworodka jest dwukrotnie wyższe [31].

Wynika to oczywiście z braku syntezy skórnej witaminy D w ostatnim trymestrze ciąży, który jest kluczowy w budowaniu zasobów ustrojowych u płodu. 

W okresie niemowlęcym odnotowuje się przejściową poprawę zaopatrzenia w witaminę D. Niedobór witaminy D stwierdza się u zaledwie 2,5% niemowląt w 3. m.ż. [33], 6% w 6. m.ż. oraz 9% w 12. m.ż. [34]. Bez wątpienia wynika to z powszechnej suplementacji witaminą D w okresie niemowlęcym. Należy podkreślić pozytywną rolę neonatologów, pediatrów, a także rodziców w realizacji obowiązujących od wielu już lat zaleceń. Niepokojący jest jednak spadek odsetka niemowląt regularnie suplementowanych w drugim półroczu życia: z 82% w 6. m.ż. do 60% pod koniec 1. r.ż. [34]

Brak systematycznej suplementacji wynika najpewniej ze znużenia codziennym podawaniem preparatu oraz przejściem na karmienie sztuczne, które w opinii rodziców zwalnia ich z obowiązku dalszej suplementacji witaminą D [35].

Warto podkreślić, iż produkty bezmleczne (zupy, musy owocowe) nie zawierają witaminy D, co negatywnie wpływa na spożycie witaminy D z diety. W takiej sytuacji dodatkowa suplementacja witaminą D jest wskazana, aby w pełni pokryć zapotrzebowanie na witaminę D (400–600 IU/d). 

Rola endogennej syntezy witaminy D w okresie niemowlęcym jest ograniczona, choć można już zaobserwować pewne różnice sezonowe w stężeniu 25(OH)D u niemowląt [36]. Niemniej jednak nawet w krajach o wysokim nasłonecznieniu niemowlęta karmione piersią bez suplementacji witaminą D są zagrożone jej niedoborem [36–39]. 

Wcześniaki

Poród przedwczesny skraca czas trwania transferu przezłożyskowego witaminy D, co skutkuje niższymi zasobami witaminy D u noworodków urodzonych przedwcześnie. Ryzyko niedoboru witaminy D jest ponad dwukrotnie wyższe u wcześniaków urodzonych przed 32. Hbd niż u noworodków urodzonych o czasie i wzrasta wraz ze skróceniem czasu trwania ciąży [40]. Wcześniaki urodzone < 28. Hbd mają ponad dwukrotnie wyższe ryzyko niedoboru witaminy D niż bardziej dojrzałe dzieci urodzone w 28.–32. Hbd [41]. W Stanach Zjednoczonych odsetek wcześniaków urodzonych < 32. tygodnia ciąży z niedoborem witaminy D waha się od 25% do 64% w zależności od ośrodka, zaś w grupie wcześniaków urodzonych < 28. tygodnia ciąży sięga 70% [40, 41]. W Polsce nie jest znana skala tego zjawiska, ale również należy się spodziewać wyższego odsetka niedoborów niż u noworodków urodzonych o czasie. Jeżeli po urodzeniu nie jest prowadzona suplementacja witaminą D, a podaż witaminy D z diety w pierwszych dniach/tygodniach jest niska, to niedobór witaminy D będzie się utrzymywał. W okresie niemowlęcym pomimo suplementacji witaminą D nadal 13% do 20% wcześniaków w Polsce ma stwierdzane niedobory witaminy D [42, 43]. Z drugiej strony wcześniaki są również narażone na przedawkowanie witaminy D, które dotyczy około 30% wcześniaków z masą urodzeniową < 1500 g. Stężenia 25(OH)D ujemnie koreluje z wiekiem płodowym i urodzeniową masą ciała, a ryzyko hiperwitaminozy D jest istotnie wyższe w grupie wcześniaków urodzonych z masą ciała poniżej 800 g [43]. Wskazana jest zatem szczególna rozwaga w suplementacji witaminą D u noworodków z ekstremalnie małą masą urodzeniową (< 1000 g), która powinna być prowadzona pod kontrolą stężenia 25(OH)D w krwi [44]. 

Dzieci i młodzież

U dzieci powyżej 1. r.ż. obserwuje się wyraźne narastanie odsetka niedoborów witaminy D wraz z wiekiem, pomimo obowiązujących od 2004 r. zaleceń dotyczących konieczności suplementacji witaminą D u dzieci do 18. r.ż.
przynajmniej w okresie jesienno-zimowym.

Średnie stężenie 25(OH)D u dzieci 3–4-letnich jest dwukrotnie wyższe niż w grupie 17–19-latków (24 ng/ml/vs. 13 ng/ml) [45]. Niedobór witaminy D stwierdzano u 17% dzieci w wieku 2–3 lat, z regionu południowo-wschodniej Polski [46], podczas gdy w badaniu własnym przeprowadzonym w IPCZD w grupie 3–4-latków niedobór witaminy D dotyczył około 35% dzieci. W innej grupie dzieci w wieku 2–18 lat niedobór witaminy D stwierdzano u średnio 
35% badanych. Również w tym badaniu wykazano, iż niedobór witaminy D częściej dotyka dzieci starsze [47]. U młodzieży w wieku 17–19 lat odsetek niedoboru witaminy D wzrasta do 92% [45]. Najwyższe stężenia 25(OH)D obserwuje się w próbkach krwi pobranych pod koniec lata, w sierpniu, co potwierdza rolę syntezy skórnej w tej grupie wiekowej. Odsetek dzieci z niedoborem witaminy D wzrasta do 75–80–87% w zależności od grupy wiekowej [48, 49]. Bardzo istotnym czynnikiem ryzyka niedoboru witaminy D jest również otyłość [47]. 

Wysoki odsetek niedoborów witaminy D u dzieci i młodzieży wynika przede wszystkim ze zmiany stylu życia (coraz mniej czasu spędzanego na świeżym powietrzu), braku regularnej suplementacji witaminą D, niskiego spożycia witaminy D z diety oraz rosnącego odsetka dzieci otyłych. Godny podkreślenia jest niski udział diety w budowaniu zasobów ustrojowych witaminy D u dzieci, ze względu na niskie spożycie tłustych ryb oraz produktów wzbogaconych fortyfikowanych witaminą D. Zaledwie 20% małych dzieci (1–3 lat) i 2,5% dzieci przedszkolnych realizuje normę spożycia witaminy D z diety [50, 51]. Również wcześniejsze badania prowadzone przez Instytut Żywności i Żywienia wskazują na niskie średnie spożycie witaminy D z diety u dzieci. Spożycie na poziomie zalecanych obecnie 600 IU/d realizowałoby około 8% małych dzieci, około 13% przedszkolaków i około 17% dzieci w wieku szkolnym [52]. 

Należy również zwrócić uwagę na słabą realizację zaleceń mających na celu profilaktykę niedoborów witaminy D u dzieci przy niskim spożyciu z diety i ograniczonej syntezie skórnej. Suplementacja witaminą D prowadzona jest u niespełna 50% dwulatków i 40% trzylatków. W grupie dzieci w wieku 2–18 lat, tylko 38% przyjmowało witaminę D [47]. Trzeba podkreślić, że profilaktyczna dawka witaminy ma również wpływ na odsetek niedoborów witaminy D w populacji wieku rozwojowego. W grupie dzieci bez suplementacji odsetek niedoborów witaminy D sięgał 45%, w grupie dzieci otrzymujących 500 IU/d wynosił 20%, zaś przy dawkowaniu 1000 IU/d tylko 15% [47]. 

Profilaktyka i leczenie niedoborów witaminy D 

Żywienie w krytycznych okresach rozwoju człowieka (okres płodowy, noworodkowy, niemowlęcy) ma istotny wpływ na zdrowie jednostki w przyszłości. Dlatego tak ważne jest, aby zapewnić optymalne zasoby witaminy D na każdym etapie życia. Program profilaktyki niedoborów witaminy D w populacji wieku rozwojowego obejmuje trzy elementy: zachęcanie do aktywnego trybu życia na świeżym powietrzu z rozsądną ekspozycją na słońce w miesiącach letnich, przestrzegania zbilansowanej diety z uwzględnieniem ryb morskich oraz produktów mlecznych wzbogacanych w witaminę D oraz codzienną suplementację witaminą D w zalecanych dawkach.

W profilaktyce preferowana jest suplementacja metodą dawek codziennych. Aktualnie rekomendowane w profilaktyce dawki witaminy D w poszczególnych grupach wiekowych przedstawiono w tab. 5 [9]. Podaż skumulowanej dawki z kilku dni czy też całego tygodnia można rozważyć u młodzieży, aby zwiększyć prawdopodobieństwo przestrzegania zaleceń. Stosowanie tzw. dawek uderzeniowych nie jest polecane u dzieci.

W przypadku rozpoznania niedoboru witaminy D konieczne jest zastosowanie dawek leczniczych, które przedstawiono w tab. 6. Leczenie prowadzi się do czasu uzyskania optymalnego stężenia 25(OH)D 30–50 ng/ml, zwykle około 1–3 miesięcy. Dłuższy czas leczenia stosujemy u dzieci starszych, z ciężkim niedoborem oraz otyłością. U małych niemowląt wyrównania niedoborów możemy się spodziewać już po pierwszym miesiącu leczenia, zwłaszcza przy zastosowaniu dawek z górnego zakresu. Po wyrównaniu stężenia 25(OH)D stosuje się dawki profilaktyczne. Efekty leczenia należy monitorować (oznaczenie parametrów gospodarki Ca-P łącznie z aktywnością fosfatazy alkalicznej i stężeniem 25(OH)D), jednak nie wcześniej niż po miesiącu leczenia. 

Grupa wiekowa Dawka profilaktyczna witaminy D (IU/dobę)
Noworodki  400 od pierwszych dni życia niezależnie od diety
Niemowlęta (1.–6. m.ż.) 400 niezależnie od diety
Niemowlęta (6–12. m.ż.)  400–600 (w zależności 
od podaży z diety)
Wcześniaki 400–800 do wieku postkoncepcyjnego 40 tygodni
Dzieci > 1. r.ż. i młodzież 600–1000 w zależności 
od masy ciała, od września 
do kwietnia lub przez cały rok, jeżeli brak syntezy skórnej latem
Dzieci otyłe 1200–2000 IU/d w zależności od masy ciała, od września 
do kwietnia lub przez cały rok, jeżeli brak syntezy skórnej latem

Tab. 6. Dawkowanie witaminy w leczeniu niedoborów witaminy D [9] 

Grupa wiekowa Dawka profilaktyczna witaminy D (IU/dobę)
Noworodki 1000 
Niemowlęta 1000–3000 
Dzieci 3000–5000 

Podsumowanie 

Obowiązkiem wszystkich lekarzy, którzy mają kontakt z dziećmi, jest zalecanie suplementacji witaminą D u dzieci bez adekwatnej syntezy skórnej witaminy D czy spożycia z diety. Warto o tym przypominać przy okazji każdorazowego kontaktu z pacjentem. Szczególną uwagę należy zwrócić na dzieci starsze i młodzież, u których profilaktyka niedoborów witaminy D nadal nie jest stosowana w zadawalającym zakresie. 

Analiza przypadków klinicznych

Przypadek 1.

Trzymiesięczne niemowlę urodzone w 34. tygodniu ciąży, z masą ciała 1900 g zostało przyjęte do Kliniki z powodu podejrzenia zatrucia witaminą D. Dziecko karmione piersią miało zaleconą 1 kroplę witaminy D (500 IU/d).

Z powodu trudności w precyzyjnym odmierzeniu zalecanej dawki (krople podawane były bezpośrednio do buzi dziecka) dziecko często otrzymywało 2–3 krople zamiast jednej. Po sugestii pediatry, że takie postępowanie może prowadzić do przedawkowania, matka wykonała oznaczenie 25(OH)D. W tym czasie dziecko jadło chętnie, przybywało na wadze. Po uzyskaniu wyniku – stężenie 25(OH)D = 117 ng/ml, matka odstawiła witaminę D. W badaniu przedmiotowym przy przyjęciu do kliniki nie stwierdzano istotnych odchyleń. Ciśnienia tętnicze prawidłowe. Stolce dziecko oddaje prawidłowe. W badaniach pomocniczych: stężenie Ca (2,54 mmol/l) i P (1,79 mmol/l), fosfataza alkaliczna 468 U/l – w normie, zwiększone wydalanie Ca z moczem (wsk. Ca/kreatynina w porcji moczu 1,14 mg/mg), bardzo niskie wydalanie P z moczem (TRP = 99,9%), stężenie 1,25(OH)2D podwyższone (204 pg/ml), kontrolne 25(OH)D – 87 ng/ml, w USG nerek bez złogów, bez zwapnień.

Wobec dobrego stanu dziecka zalecono przerwę w podaży witaminy D na dwa miesiące, pojenie między karmieniami oraz kontrolę wydalania Ca z moczem za 2–3 tygodnie.

Komentarz do przypadku 1.
Stężenie 25(OH)D > 100 ng/ml uznaje się za potencjalnie toksyczne, aczkolwiek nie muszą im towarzyszyć objawy zatrucia (tab. 2). Pojawiają się one zwykle przy stężeniach > 200 ng/ml. Jednak aby osiągnąć tak wysokie stężenia we krwi, stosowane dawki musiałby być bardzo wysokie (dawki uderzeniowe). W przypadku naszego pacjenta podawana dawka witaminy D przekraczała maksymalną bezpieczną dla tej grupy wiekowej (1000 IU/d) [9].

W przypadku przedawkowania witaminy D na skutek hiperkalcemii i hiperkalciurii może dojść do powstania zwapnień i złogów w nerkach i powtórnego ich uszkodzenia. Dlatego też markerem zatrucia witaminą D jest właśnie stężenie Ca we krwi i moczu. U naszego pacjenta potwierdziliśmy hiperkalciurię, na szczęście była to jedyna nieprawidłowość. Ponieważ kalciuria nie była bardzo nasilona, a badanie USG nerek było prawidłowe, w leczeniu ograniczyliśmy się do odstawienia witaminy D oraz zaleciliśmy pojenie między karmieniami. Ze względu na wiek dziecka i karmienie piersią nie modyfikowaliśmy diety. U starszych niemowląt wskazane byłoby wprowadzenie posiłków bezmlecznych celem ograniczenia podaży Ca z diety. U dzieci z nasilonymi objawami klinicznymi i stężeniem 25(OH)D >150 ng/ml należy zastosować fenobarbital celem przyśpieszenia eliminacji witaminy D i obniżenia jej stężenia we krwi. 

Przypadek 2.

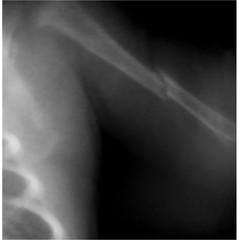
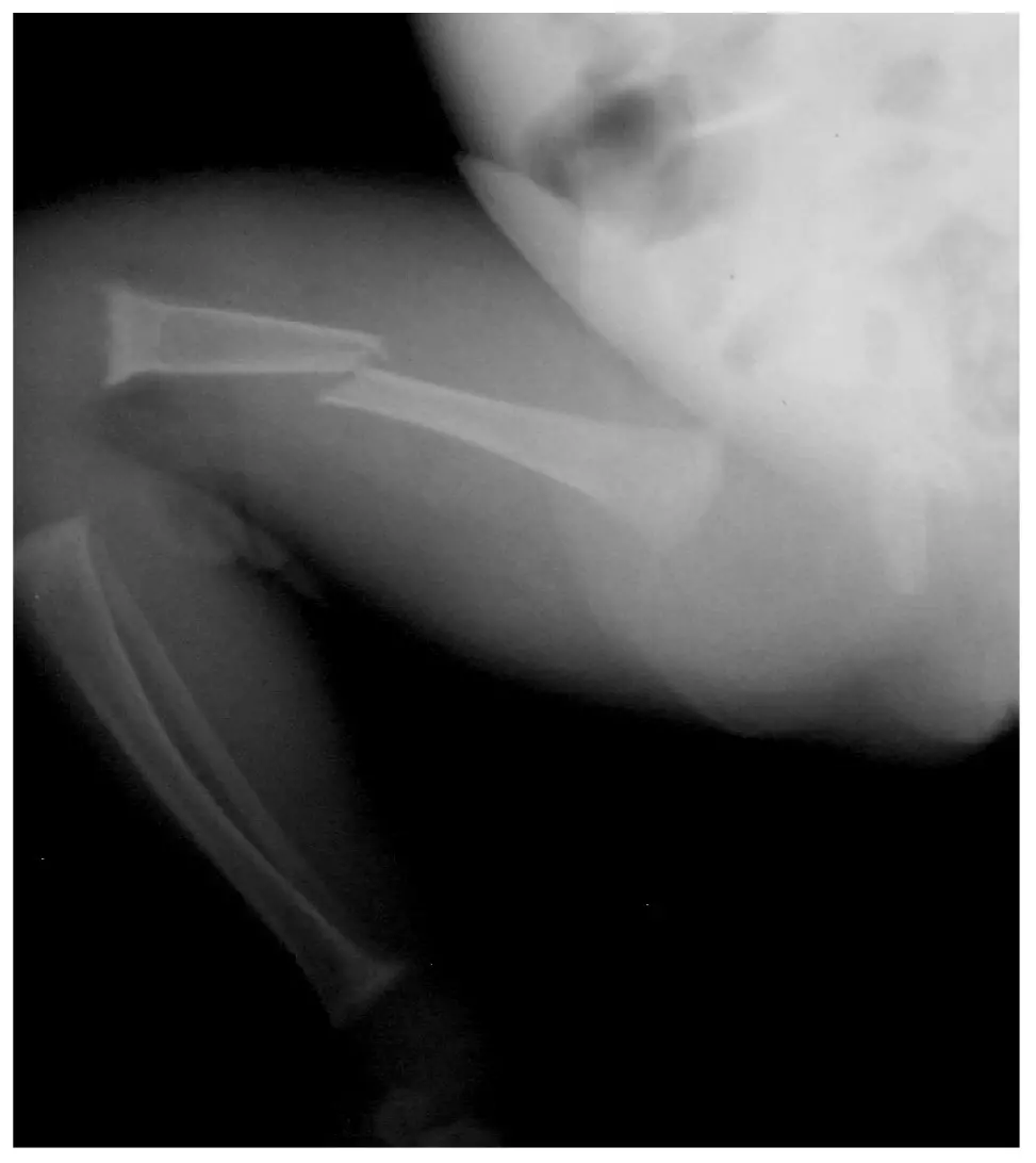
3,5-miesięczny wcześniak urodzony w 32. Hbd, z masą ciała 700 g, z obciążonym okresem noworodkowym (długotrwała mechaniczna wentylacja, BPD, długotrwałe żywienie pozajelitowe, cholestaza, nietolerancja karmienia) został przyjęty do naszej kliniki z powodu podejrzenia ciężkiej postaci krzywicy. Dziecko karmione Bebilon pepti MCT, otrzymywało 1500 IU/d witaminy D. Dwa tygodnie przed przyjęciem do kliniki doszło do obustronnego złamania trzonów kości udowych (w odstępie kilku dni) oraz złamania trzonu lewej kości ramiennej (ryc. 1, ryc. 2). W rejonie rozpoznano krzywicę z niedoboru witaminy D i włączono do leczenia witaminę D,
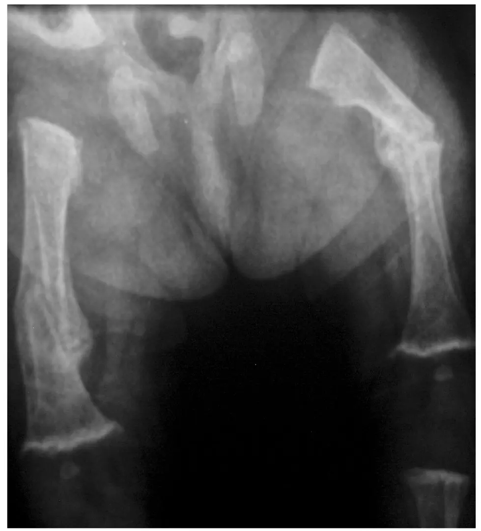
początkowo w dawce 10 000 IU/d (następnie 4000 IU/d), i przekazano dziecko do dalszej diagnostyki do IPCZD. Przy przyjęciu do naszej kliniki w badaniu przedmiotowym zwracały uwagę cechy wcześniactwa, cholestatyczne zabarwienie powłok skórnych, duża głowa z wydatnymi guzami czołowymi, duże ciemiączko (3 × 4 cm), majtki gipsowe na kończynach dolnych oraz opatrunek Desaulta na lewej kończynie górnej. Na podstawie wykonanych badań (tab. 7) postawiono u dziecka rozpoznanie osteopenii wcześniaczej związanej z niedoborem fosforanów. Oddalono podejrzenie krzywicy niedoborowej. W leczeniu zastosowano dietę bogatą w Ca i P (mleko dla wcześniaków) oraz prowadzono suplementację fosforanami drogą doustną. Z powodu hiperkalciurii odstawiono podaż witaminy D do czasu normalizacji wydalania Ca z moczem. Następnie włączono preparat 25-hydroksywitaminy i stosowano do czasu ustąpienia cholestazy. W trakcie suplementacji fosforanami obserwowano tendencję do niższych wartości Ca we krwi, co potwierdzało, iż u dziecka mamy nie tylko niedobory ustrojowe fosforanów, ale również wapnia. Do leczenia dołączono suplementację wapniem. Pozwoliło to na normalizację parametrów biochemicznych gospodarki Ca-P. Obserwowano również zrost kości długich, choć ze skróceniem kości udowych (przemieszczenie odłamów) (ryc. 3, 4). 

Ryc. 1. Świeże złamanie trzonu kości ramiennej u dziecka z osteopenią wcześniaczą

Ryc. 2. Złamanie trzonu kości ramiennej – widoczny zrost

Ryc. 3. Świeże złamanie trzonu kości udowej u dziecka z osteopenią wcześniaczą

Ryc. 4. Złamanie trzonów kości udowych – widoczny zrost ze skróceniem kończyn (L > P)

 

Tab. 7. Wyniki biochemiczne u wcześniaka (32. Hbd) ze złamaniami kości długich przed leczeniem i po leczeniu

Wiek dziecka                  Cas
(mmol/l)  
Ps (mmol/l) Ca/kreat.
(mg/mg)
TRP (%) FA
(U/l)
25(OH)D
(ng/ml)
1,25(OH)2D 
(pg/ml)
PTH
(pg/ml)
Badania wykonane w rejonie po stwierdzeniu złamań kości długich                
3. m.ż. 2,97 0,93     1038     13
W rejonie na podstawie powyższych wyników rozpoznano ciężką krzywicę, zlecono 10 000 IU/dobę witaminy D, następnie zmniejszono do 4000 IU/d i skierowano pacjenta do IPCZD                
3,5. m.ż. 2,62 1,08 2,5 98 1778 48,5 300 8,89
W IPCZD na podstawie powyższych wyników rozpoznano osteopenię wcześniaczą, zlecono suplementację fosforanów, dietę bogatą w Ca i P (mleko dla wcześniaków)                
5. m.ż. 2,43 2,38  0,37  99,9  459 30,6   96,5  

Komentarz do przypadku 2.
Całość obrazu klinicznego (wywiad + badanie przedmiotowe) oraz wyniki badań biochemicznych u dziecka potwierdzają rozpoznanie osteopenii wcześniaczej. Dane z wywiadu wyraźnie sugerują niedostateczną podaż Ca i P z diety, gdyż mieszanki eliminacyjne mają zawartość Ca i P dwukrotnie niższą niż mleka dla wcześniaków. Do czynników ryzyka niedoboru witaminy D u naszego pacjenta bez wątpienia należy zaliczyć cholestazę. Niemowlęta z cholestazą, u których z powodu zmniejszonej ilości żółci w jelicie cienkim zaburzone jest wchłanianie witaminy D, a także synteza 25(OH)D w wątrobie, powinny otrzymywać w postaci 25-hydroksywitaminy D
w dawce 2–5 µg/kg/dobę = 0,5–1 kropla/kg/dobę (Devisol – 1 kropla = 5 µg). W przypadku podaży witaminy D3 konieczne jest stosowanie wyższych dawek (2–4 razy dzienne zapotrzebowanie). Dziewczynka otrzymywała witaminę D3 w dawce zalecanej w cholestazie, zatem ciężki niedobór witaminy D prowadzący do demineralizacji układu szkieletowego w tej sytuacji wydaje się mało prawdopodobny. Potwierdzeniem tej tezy jest hiperkalcemia stwierdzana u dziecka, podczas gdy w krzywicy spodziewalibyśmy się hipokalcemii lub granicznych stężeń wapnia (tab. 8). Objawy kliniczne w postaci dużego ciemiączka, wydatnych guzów czołowych i rozmiękania potylicy są oczywiście objawami charakterystycznymi dla krzywicy, nie są jednak wystarczające do jej rozpoznania. Warto pamiętać, że obraz kliniczny osteopenii wcześniaczej jest bardzo zbliżony do krzywicy niedoborowej u niemowląt.
Zasadnicza różnica dotyczy złamań, które są typowe dla ciężkich postaci osteopenii, podczas gdy w krzywicy niedoborowej u niemowląt raczej obserwujemy zniekształcenia kości. Złamania kości zwykle pojawiają się w późniejszym wieku. Wyniki badań biochemicznych wykonanych w naszej klinice potwierdzają rozpoznanie osteopenii wcześniaczej i pozwalają wykluczyć krzywicę. Przeciwko krzywicy niedoborowej przemawia hiperkalcemia, wysokie stężenia Ca we krwi z hiperkalciurią, niskie stężenie PTH oraz prawidłowe stężenie 25(OH)D (tab. 8). 

Tab. 8. Różnicowanie krzywicy z niedoboru witaminy D z osteopenią wcześniaczą

Przypadek 3.

Czteromiesięczny chłopiec urodzony w listopadzie, w 35. tygodniu ciąży, z masą ciała 1700 g, został przyjęty do kliniki z powodu rozmiękania potylicy. Dziecko karmione mlekiem początkowym z dodatkiem kleiku ryżowego, suplementacja witaminą D prowadzona była okazjonalnie – matka uważała, że skoro dziecka nie karmi piersią, to dziecko nie wymaga witaminy D. Masa ciała przy przyjęciu 5110 g (10 centyl według siatek dla wcześniaków), wyraźne rozmiękanie kości potylicy. W badniach pomocniczych stwierdzono hipokalcemię (Ca = 1,83 mmol/l), bardzo niskie wydalanie wapnia z moczem (wsk. Ca/kreat. = 0,06 mg/mg), nasiloną fosfaturię (TRP = 79%), znacznie podwyższona aktywność fosfatazy zasadowej (1087 U/l) oraz ciężki niedobór witaminy D (25(OH)D < 7 ng/ml). Powyższe wyniki pozwoliły rozpoznać u dziecka krzywicę. Zastosowano lecznicze dawki witaminy D (1600 IU/d) oraz suplementację Ca. Uzyskano poprawę kliniczną i biochemiczną (Ca = 2,56 mmol/l, FA = 418 U/l, TRP = 94%) ze wzrostem steżenia 25(OH)D do 42 ng/ml. W takiej sytuacji odstawiono preparat wapnia oraz zalecono dalszą podaż witaminy D w dawce profilaktycznej 400 IU/d. 

Komentarz do przypadku 3.
Dane z wywiadu (brak systematycznej suplementacji) wskazują na niedostateczną podaż witaminy D z diety. Dodatkowym czynnikiem ryzyka niedoboru jest wcześniactwo, dawkowanie witaminy D u dziecka urodzonego przedwcześnie powinno być wyższe, z powodu większego zapotrzebowania oraz niższych zasobów ustrojowych przy urodzeniu [40, 43].

Termin porodu przypadający na koniec listopada jest natomiast przesłanką niedoboru witaminy D jeszcze z okresu życia płodowego (brak syntezy skórnej u matki w ciąży). Natomiast termin wizyty (wczesna wiosna) nie ma większego znaczenia w przypadku niemowląt, ale u dziecka starszego byłby bez wątpienia istotnym czynnikiem ryzyka niedoboru witaminy D.

W przedstawionym przypadku badanie kliniczne, w którym stwierdzano rozmiękanie potylicy, koreluje z danymi z wywiadu i wskazuje na niedobór witaminy D.

Potwierdzeniem są wyniki badań biochemicznych wskazujące na I fazę choroby. Jedynym odstępstwem jest brak hipofosatemii, który tłumaczy wysoka podaż fosforanów z diety (mleko początkowe + kleik ryżowy). Normalizacja wyników badań po miesiącu leczenia potwierdza dobrą odpowiedź na terapię. W przypadku braku poprawy należy brać pod uwagę rzadkie genetycznie uwarunkowane krzywice pseudoniedoborowe. W krzywicy witamino-D-zależnej typu I stwierdza się brak lub niedobór 1-alfahydroksylazy, co skutkuje niedostateczną syntezą aktywnej witaminy D. W takiej sytuacji w diagnostyce przydatne jest oznaczenie stężenia 1,25(OH)2D. Natomiast w krzywicy witamino-D-zależnej typu II stwierdza się oporność tkanek docelowych na witaminę D na skutek mutacji genu kodującego VDR. W powyższych przypadkach w leczeniu stosuje się aktywne metabolity witaminy D
lub jej analogi, które nie powinny być stosowane w leczeniu zwykłej krzywicy niedoborowej. 

Piśmiennictwo

  1. Czech-Kowalska J. Najnowsze wytyczne suplementacji witaminą D w kontekście ogólnoustrojowych konsekwencji niedoboru witaminy D. Klin Ped 2014;22:7007–12.
  2. Hyppönen E., Läärä E., Reunanen A., Järvelin M.R., Virtanen S.M. Intake of vitamin D and risk of type 1 diabetes: a birth-cohort study. Lancet 2001;358:1500–3.
  3. Aghajafari F., Nagulesapillai T., Ronksley P.E., Tough S.C., O'Beirne M., Rabi D.M. Association between maternal serum 25-hydroxyvitamin D level and pregnancy and neonatal outcomes: systematic review and meta-analysis of observational studies. BMJ 2013;346:f1169.:10.1136/bmj.f69.
  4. Thorne-Lyman A., Fawzi W.W. Vitamin D during pregnancy and maternal, neonatal and infant health outcomes: a systematic review and meta-analysis. Paediatr Perinat Epidemiol 2012;26:75-90. doi: 10.1111/j.365-3016.2012.01283.x.
  5. Czech-Kowalska J., Wietrak E., Popiel M. Znaczenie witaminy D w ciąży i laktacji. Ginekologia i Położnictwo – Medical Project 2011;19:48–61.
  6. Czech-Kowalska J., Dobrzanska A., Gruszfeld D., et al. High prevalence of neonatal vitamin D deficiency – rationale for reevaluation of vitamin D supplementation during pregnancy. Arch Perinatal Med 2008;14:18–22.
  7. Czech-Kowalska J., Gruszfeld D., Jaworski M., et al. Determinants of Postpartum Vitamin D Status in the Caucasian Mother-Offspring Pairs at a Latitude of 52 degrees N: A Cross-Sectional Study. Ann Nutr Metab 2015;67:33–41.
  8. Czech-Kowalska J., Dobrzanska A., Janowska J., et al. [Neonatal vitamin D status and calcium-phosphorus homeostasis in the third week of life]. Med Wieku Rozwoj 2004;8:115–24.
  9. Płudowski P., Karczmarewicz E., Bayer M., et al. Practical guidelines for the supplementation of vitamin D and the treatment of deficits in Central Europe – recommended vitamin D intakes in the general population and groups at risk of vitamin D deficiency. Endokrynol Pol 2013;64:319–27.
  10. Kovacs C.S. The role of vitamin D in pregnancy and lactation: insights from animal models and clinical studies. Annu Rev Nutr 2012;32:97–123.
  11. Basile L.A., Taylor S.N., Wagner C.L., Horst R.L., Hollis B.W. The effect of high-dose vitamin D supplementation on serum vitamin D levels and milk calcium concentration in lactating women and their infants. Breastfeed Med 2006;1:27–35.
  12. Hollis B.W., Wagner C.L. Vitamin D requirements during lactation: high-dose maternal supplementation as therapy to prevent hypovitaminosis D for both the mother and the nursing infant. Am J Clin Nutr. United States2004:1752S–8S.
  13. Czech-Kowalska J., Dobrzańska A. Praktyczne apsekty suplementacji witaminą D. Post Neonatol 2012;18:57–64.
  14. Pettifor J.M., Pentopoulos M., Moodley G.P., Isdale J.M., Ross F.P. Is craniotabes a pathognomonic sign of rickets in 3-month-old infants? S Afr Med J 1984;65:549–51.
  15. Wharton B., Bishop N. Rickets. Lancet 2003;362:1389–400.
  16. Czech-Kowalska J. Osteopenia wcześniaków. Postępy Neonatol 2014;2:68–75.
  17. Kollataj W., Szewczyk L. [Vitamin D3 overdosage due to rashly diagnosed rachitis in a child with distal tubular acidosis]. Endokrynol Diabetol Chor Przemiany Materii Wieku Rozw 2003;9:99–102.
  18. Chlebna-Sokół D., Loba-Jakubowska E., Weremczuk A., Mariuk Z. Stan mineralizacji kośćca i wskaźniki gospodarki Ca-P u niemowląt z małymi wymiarami ciemienia przedniego. Przegl Ped 1997;27:151–5.
  19. Duc G., Largo R.H. Anterior fontanel: size and closure in term and preterm infants. Pediatrics 1986;78:904–8.
  20. Borysławski K., Kornafel D. Próba określenia normy rozwojowej dla wielkości i szybkości zarastania dużego ciemiączka u dzieci wrocławskich. Ped Pol 1978;53:345–50.
  21. Czech-Kowalska J. Zaburzenia homeostazy wapniowo-fosforanowej. [w] Pediatria. Podręcznik do Lekarskiego Egzaminu Końcowego i Państwowego Egzaminu Specjalizacyjnego. Wrocław: Elsevier Urban & Partner; 2014, 1052–1071.
  22. Fraser D., Kooh S.W., Scriver C.R. Hyperparathyroidism as the cause of hyperaminoaciduria and phosphaturia in human vitamin D deficiency. Pediatr Res 1967;1:425–35.
  23. Czech-Kowalska J. Zaburzenia gospodarki wapniowo-fosforanowej w praktyce pediatrycznej. Stand Med Pediatr 2015;12:112–6.
  24. Farnik H., Bojunga J., Berger A., et al. Low vitamin D serum concentration is associated with high levels of hepatitis B. Hepatology 2013.
  25. Czech-Kowalska J, Dobrzanska A. Zasoby ustrojowe witaminy D u noworodków urodzonych o czasie. Klin Perinatol Ginekol 2002;36:41–6.
  26. Wawrzyniak A., Hamułka J., Gorzel K. [Assessment of vitamins and minerals intake with supplements during breast-feeding]. Rocz Panstw Zakl Hig 2009;60:353–6.
  27. Hamułka J., Wawrzyniak A, R P. Ocena spożycia witamin i składników mineralnych z suplementami diety przez kobiety w ciąży. Roczn PZH 2010;61:269–75.
  28. Skowrońska-Jóźwiak E., Adamczewski Z., Tyszkiewicz A., Krawczyk-Rusiecka K., Lewandowski K., Lewiński A. Assessment of adequacy of vitamin D supplementation during pregnancy. Ann Agric Environ Med 2014;21:198–200.
  29. Oliver E.M., Grimshaw K.E., Schoemaker A.A., et al. Dietary Habits and Supplement Use in Relation to National Pregnancy Recommendations: Data from the EuroPrevall Birth Cohort. Matern Child Health J 2014.
  30. Bartoszewicz Z., Kondracka A., Krasnodebska-Kiljanska M., et al. Vitamin D insufficiency in healthy pregnant women living in Warsaw. Ginekol Pol 2013;84:363–7.
  31. Czech-Kowalska J., Latka-Grot J., Bulsiewicz D., et al. Impact of Vitamin D Supplementation during Lactation on Vitamin D Status and Body Composition of Mother-Infant Pairs: A MAVID Randomized Controlled Trial. PLoS One 2014;9:e107708.
  32. Mazurak M., Czyżewska M., Gajewska M. Evaluation of the vitamin D active forms in Low Birth Weight neonates. Family Medicine and Primary Care Review 2010;12:36–9.
  33. Czech-Kowalska J., Dobrzańska A., Gruszfeld D., et al. Vitamin D status and bone metabolism in term infants before and during routine vitamin D supplementation. Early Human Development 2008;84:S8–S9.
  34. Pludowski P., Socha P., Karczmarewicz E., et al. Vitamin D supplementation and status in infants: a prospective cohort observational study. J Pediatr Gastroenterol Nutr 2011;53:93–9.
  35. Gallo S., Jean-Philippe S., Rodd C., Weiler H.A. Vitamin D supplementation of Canadian infants: practices of Montreal mothers. Appl Physiol Nutr Metab 2010;35:303–9.
  36. Ostergard M., Arnberg K., Michaelsen K.F., et al. Vitamin D status in infants: relation to nutrition and season. Eur J Clin Nutr 2011.
  37. Liang L., Chantry C., Styne D.M., Stephensen C.B. Prevalence and risk factors for vitamin D deficiency among healthy infants and young children in Sacramento, California. Eur J Pediatr 2010;169:1337–44.
  38. Challa A., Ntourntoufi A., Cholevas V., Bitsori M., Galanakis E., Andronikou S. Breastfeeding and vitamin D status in Greece during the first 6 months of life. Eur J Pediatr 2005;164:724–9.
  39. Ziegler E.E., Hollis B.W., Nelson S.E., Jeter J.M. Vitamin D deficiency in breastfed infants in Iowa. Pediatrics 2006;118:603–10.
  40. Burris H.H., Van Marter L.J., McElrath T.F., et al. Vitamin D status among preterm and full–term infants at birth. Pediatr Res 2014;75:75–80.
  41. Monangi N., Slaughter J.L., Dawodu A., Smith C., Akinbi H.T. Vitamin D status of early preterm infants and the effects of vitamin D intake during hospital stay. Arch Dis Child Fetal Neonatal Ed 2014;99:F166–8.
  42. Loba-Jakubowska E., Sabanty W., Chlebna-Sokół D. Stężenie metabolitu wątrobowego witaminy D u dzieci przedwcześnie urodzonych. Post Neonatol 2005;2:15–7.
  43. Czech-Kowalska J., Dobrzańska A., Pleskaczyńska A., Gruszfeld D., Karczmarewicz E. Vitamin D status in very low birth weight infants. Journal of Pediatrics and Neonatology 2006;3:NT6–10.
  44. Gruszfeld D., Pleskaczyńska A., Czech-Kowalska J. Markery wzrastania i rozwoju niemowląt urodzonych przedwcześnie. Standardy Med Pediatria 2014;2:189–94.
  45. Karczmarewicz E., Kryśkiewicz E., Skorupa E., et al. Ocena zaopatrzenia organizmu w witaminę D w reprezentatywnej grupie polskich dzieci. . stand Med Pediatr 2012;9:727.
  46. Marć M., Socha P., Rusin J., Płudowski P., Socha J. Determinanty poziomu 25(OH)D u dzieci dwu-, trzyletnich zamieszkujących region południowo-wschodniej Polski Stand Med. . Stand Med Pediatr 2012;9.
  47. Borowiec A., Milczarek M., Wyborska K., Cichal A., Kucharska A. Assessment of vitamin D supplementation in the Warsaw’s children after infancy – a preliminary study. Post Nauk Med 2014;27:698–702.
  48. Chlebna-Sokół D., Golec J., Karalus J. Suplementacja witaminy D u dzieci i młodzieży w Polsce. stand Med Pediatr 2012;9:701–4.
  49.  Andersen R., Molgaard C., Skovgaard L.T., et al. Teenage girls and elderly women living in northern Europe have low winter vitamin D status. Eur J Clin Nutr 2005;59:533–41.
  50. Weker H., Baranska M., Dylag H., et al. Analysis of nutrition of children aged 13–36 months in Poland: a nation-wide study. Med Wieku Rozwoj 2011;15:224–31.
  51. Roszko-Kirpsza I., Olejnik B.J., Kulesza M., Jabłoński R., Czerech E., Maciorkowska E. Żywienie dzieci wiejskich w 2 i 3 roku życia. Probl Hig Epidemiol 2012;93:605–12.
  52. Szponar L., Sekuła W., E R, i wsp. Badania indywidualnego spożycia żywności i stanu odżywienia w gospodarstwach domowych. Warszawa: IŻŻ; 2003.

Przypisy

    POZNAJ PUBLIKACJE Z NASZEJ KSIĘGARNI