Powiększenie się węzłów chłonnych obwodowych jest często spotykanym problemem w praktyce klinicznej lekarza pediatry. Oprócz informacji zebranych w trakcie wywiadu oraz badania fizykalnego istotną rolę w diagnostyce powiększenia węzłów chłonnych odgrywa badanie USG.
Ultrasonografia jest stosunkowo nową metodą obrazowania wykorzystującą falę ultradźwiękową. W Polsce rozwija się od lat 70. XX wieku. W pediatrii ceniona jest ze względu na łatwą dostępność, nieinwazyjność oraz możliwość badania w czasie rzeczywistym, przy łóżku chorego. Do obrazowania węzłów chłonnych wykorzystuje się również tomografię komputerową, rezonans magnetyczny oraz pozytronową emisyjną tomografię komputerową. Ultrasonografia jest jednak uważana za metodę z wyboru we wstępnej diagnostyce obrazowej węzłów chłonnych.
W badaniu USG węzłów limfatycznych wykorzystuje się przede wszystkim głowice liniowe (najlepiej o częstotliwości nie mniejszej niż 7,5 MHz). Obrazujemy standardowo zarówno w trybie B-mode, jak i w opcjach dopplerowskich. Do bardziej zaawansowanych metod badania ultrasonograficznego należą CEUS (contrast-enhanced ultrasonography) oraz elastografia.
Anatomia
Węzły chłonne to małe, owalne struktury leżące w przebiegu naczyń limfatycznych. Są częścią układu immunologicznego – w ich obrębie dochodzi do różnicowania i dojrzewania limfocytów oraz zachodzi w nich synteza przeciwciał. Dojrzewanie limfoblastów ma miejsce w grudkach chłonnych, które w trakcie odpowiedzi immunologicznej zwiększają swoją objętość, co skutkuje powiększeniem się całego węzła chłonnego. Kształtem przypominają fasolę; z jednej strony obecne jest dyskretne wcięcie nazywane wnęką, w której znajdują się naczynia krwionośne oraz naczynie chłonne odprowadzające. Limfa wnika do węzła przez naczynia chłonne doprowadzające i krąży przez labirynt zatok w kierunku od kory do rdzenia, docierając do wnęki. Oceniając węzły chłonne, badamy okolicę potyliczną, karkową, przyuszną, podżuchwową, szyjną przednią i tylną, nadobojczykową, podobojczykową, pachową oraz pachwinową. W tutejszej pracy skupimy się na ocenie węzłów chłonnych szyjnych, aczkolwiek cechy ultrasonograficzne różnicujące normę i patologię będą jednakowe dla pozostałych grup węzłowych. W okolicy szyjnej istnieje do 300 węzłów chłonnych o wymiarze od 3 mm do 3 cm. Chociaż w trakcie każdego badania dokonujemy pomiarów (zwykle największych węzłów chłonnych), rozmiar nie należy do kryteriów pozwalających na wnioskowanie o charakterze onkologicznym. Nie ma również wiarygodnych norm wielkości węzłów chłonnych. Pomiar struktur służy raczej obserwacji – tendencji do powiększania się lub zmniejszania. Bardzo istotne jest określenie dokładnego położenia węzła chłonnego. W okolicy szyi rozróżniamy kilka grup węzłowych.

Ocena kliniczna oraz ultrasonograficzna węzłów chłonnych
Badanie ultrasonograficzne jest jedynie uzupełnieniem badania podmiotowego i przedmiotowego. Z wywiadu lekarskiego uzyskujemy informację na temat lokalizacji węzłów chłonnych, czasu ich powiększenia się oraz objawów towarzyszących, które są kluczowe dla prawidłowego rozpoznania.
Palpacyjnie oceniamy lokalizację, liczbę, wielkość, przesuwalność względem skóry, podłoża i względem siebie, bolesność uciskową, konsystencję oraz zmianę wyglądu skóry nad węzłami chłonnymi. W obrazowaniu USG ponadto oceniamy kształt, granice węzłów chłonnych, ich echogeniczność oraz echostrukturę. Zwracamy uwagę na obraz wnęki węzłów, skłonność do tworzenia pakietów, konglomeratów, a w opcjach dopplerowskich na wzorzec oraz intensywność unaczynienia. Prawidłowy węzeł chłonny w badaniu ultrasonograficznym jest owalny, o miernej echogeniczności części obwodowej, jednorodnej echostrukturze i gładkich granicach. Widoczna powinna być centralnie położona, hiperechogeniczna wnęka, z której wnikają w głąb naczynia krwionośne rozgałęziające się ku obwodowi.

Bardzo istotny jest stosunek szerokości do długości węzła chłonnego, który powinien wynosić 1:2. Jest to tzw. indeks Solbiatiego (S/L), który prawidłowo wynosi poniżej 0,5. Z tych dwóch pomiarów ważniejszy wydaje się wymiar poprzeczny (w osi krótkiej). Wyjątkiem są węzły chłonne w okolicy podbródkowej, ślinianek przyusznych oraz część węzłów podżuchwowych, które mogą mieć kształt bardziej zbliżony do okrągłego. W bardziej zaawansowanym obrazowaniu metodą CEUS podanie środka kontrastowego ma służyć lepszemu uwidocznieniu naczyń krwionośnych w węzłach chłonnych. Dzięki temu uzyskujemy możliwość dokładniejszej oceny unaczynienia, które nie zawsze jest dostatecznie dobrze identyfikowane w opcjach dopplerowskich. Nie jest to metoda wykorzystywana rutynowo, ale może być pomocna w przypadkach wątpliwych w celu odróżnienia zmian łagodnych od złośliwych. Oceniając węzły chłonne za pomocą elastografii, oceniamy ponadto właściwości sprężyste tkanek. Jest to cecha, która w klasycznym badaniu palpacyjnym określana jest jako miękkość lub twardość. Najczęściej stosuje się elastografię statyczną, w której wykorzystujemy ucisk głowicy na skórę, za pomocą którego na ekranie otrzymujemy elastogram. Jest to obraz, który za pomocą barw oddaje stopień twardości tkanek (czerwone – miękkie, zielone – pośrednie, niebieskie –twarde). Kompleksowa ocena powyższych cech może wskazywać na etiologię powiększenia węzłów chłonnych. Istnieje wiele przyczyn limfadenopatii. Obserwuje się ją przede wszystkim w zakażeniach, ale również w chorobach nowotworowych, autoimmunizacyjnych, metabolicznych. Istnieją także guzy imitujące powiększone węzły. Poniżej przedstawiono na przykładach klinicznych cechy pozwalające na odróżnienie węzłów chłonnych zmienionych zapalnie od tych, które budzą niepokój onkologiczny lub kwalifikują się do interwencji chirurgicznej. W obszarze szyi oprócz powiększonych węzłów chłonnych możemy zaobserwować wrodzone struktury torbielowate, które stanowią znaczącą większość łagodnych guzów szyi. Do wrodzonych guzów torbielowatych zaliczamy: zmiany naczyniowe, torbiele przewodu tarczowo-językowego, torbiele łuków skrzelowych, potworniaki, torbiele skórzaste i wrodzone torbiele grasicy. Przykładami łagodnych guzów szyi nietorbielowatych są grasica ektopowa, przemieszczenie prawidłowej grasicy na szyję i kręcz szyi. W toku postępowania różnicowego zarówno łagodnych, jak i złośliwych guzów szyi pamiętać należy również o zmianach ogniskowych tarczycy, przytarczyc oraz ślinianek. W różnicowaniu węzłów chłonnych zmienionych zapalnie należy uwzględnić: infekcje bakteryjne (Staphylococcus aureus, Streptococcus pyogenes, Bartonella – choroba kociego pazura, promienica), infekcje wirusowe (EBV, CMV, HSV, HHV6, adenowirusy, wirus różyczki, WZWA, HIV), infekcje pasożytnicze (Toxoplasma gondii), zakażenia grzybicze oraz gruźlicę. Źródłem infekcji mogą być próchnica zębów oraz rany. Warto również pamiętać o limfadenopatii w przebiegu choroby Kawasakiego, w zespole PFAFA, w toczniu układowym oraz MIZS. W większości tych jednostek chorobowych obraz ultrasonograficzny będzie bardzo podobny (dobrze odgraniczone, powiększone, owalne, hipoechogeniczne struktury z centralnie położoną hiperechogeniczną wnęką, ze wzmożonym unaczynieniem odwnękowym; stosunek wymiarów w osi krótkiej do osi długiej 1:2). Znacząco inne cechy ultrasonograficzne zaobserwujemy w węzłach chłonnych w przebiegu gruźlicy. Węzły takie będą powiększone, z nieregularną torebką, o niejednorodnej echostrukturze, z obszarami o znacznie zmniejszonej echogeniczności odpowiadającymi martwicy oraz hiperechogennymi strukturami wewnątrz o charakterze zwapnień. Węzły limfatyczne gruźlicze charakteryzują się przepływem dopplerowskim zarówno w centrum, jak i na obwodzie.
Przypadek kliniczny
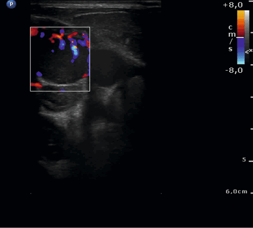
Chłopiec 10-letni został przyjęty z powodu utrzymującej się od 3 dni gorączki do 39°C z towarzyszącymi bólami brzucha oraz wymiotami. Przy przyjęciu w badaniu fizykalnym z odchyleń od normy zaobserwowano powiększone węzły chłonne szyjne i podżuchwowe, zaczerwienienie gardła; brzuch był miękki, nieco tkliwy przy palpacji w nadbrzuszu środkowym. W badaniach laboratoryjnych stwierdzono: w morfologii krwi obwodowej przewagę limfocytów, podwyższenie transaminaz oraz nieznaczne narastanie parametrów stanu zapalnego (OB, CRP, PCT). W wykonanym badaniu ultra-sonograficznym jamy brzusznej – hepatosplenomegalia. W USG szyi uwidoczniono obustronne odczynowe powiększenie węzłów chłonnych (największy po stronie prawej do 42 x 15 mm). Węzły chłonne w tym przypadku były zmienione zapalnie i cechowały się w badaniu ultrasonograficznym zwiększonym wymiarem, ale zachowanymi proporcjami (kształt owalny), zatartą wnęką, nieco zmniejszoną echogennością części obwodowej oraz zwiększonym odwnękowym unaczynieniem. Węzły te układały się w postaci konglomeratów – widoczne były wyraźne granice między poszczególnymi węzłami chłonnymi (w odróżnieniu od pakietów). W badaniach mikrobiologicznych uzyskano dodatnie miano przeciwciał w kierunku EBV VCA/EA IgM oraz EBV VCA/EA IgG. Rozpoznano mononukleozę zakaźną. Zastosowano leczenie objawowe. W tym przypadku był to obraz ostrego zapalenia węzłów chłonnych. W przebiegu przewlekłego zapalenia węzły limfatyczne różnią się od prawidłowych jedynie wielkością (są większe), a unaczynienie nie jest tak obfite jak w stanach ostrych. Węzły chłonne prawidłowe oraz odczynowe mają niskooporowe spektrum przepływu RI < 0,7.
Przypadek kliniczny
Chłopiec niespełna 16-letni zgłosił się do izby przyjęć z powodu bólu i obrzęku szyi po stronie lewej. Dwa tygodnie wcześniej dziecko przebyło infekcję dróg oddechowych z kaszlem, bez gorączki. Dodatkowo od około tygodnia chłopiec skarżył się na poty nocne. Przy przyjęciu stan ogólny dziecka był dobry, w badaniu fizykalnym z odchyleń od normy: obrzęk szyi, bolesność uciskowa po stronie lewej; ruchomość szyi zachowana. Stwierdzono liczne, drobne węzły chłonne szyjne oraz obecne znacznie powiększone węzły limfatyczne nadobojczykowe i podobojczykowe po stronie prawej. W badaniach laboratoryjnych podwyższona wartość OB. W rtg klatki piersiowej uwidoczniono poszerzenie cienia śródpiersia przedniego. W wykonanym badaniu USG na szyi głównie po stronie prawej i nadobojczykowo zobrazowano liczne węzły chłonne o znacznie zmienionej morfologii, hipoechogeniczne lub o mieszanej echogeniczności, ze słabo widoczną wnęką i wzmożonym unaczynieniem. W pomiarach: węzły nadobojczykowe po stronie prawej wielkości 32 x 9 mm, kolejny 22 x 14 mm (z możliwymi cechami rozpadu), kilka węzłów do 13 mm widocznych było częściowo zamostkowo (najprawdopodobniej w śródpiersiu); po stronie lewej nadobojczykowo obecne były liczne, drobne, hipoechogeniczne węzły chłonne. Unaczynienie węzłów limfatycznych było chaotyczne, zobrazowano naczynia wnikające z obwodu. Dodatkowo uwidoczniono zakrzepicę żyły szyjnej wewnętrznej prawej. Zdecydowano o chirurgicznym usunięciu jednego z węzłów chłonnych. Istotny jest fakt, że do badań histopatologicznych u dzieci pobiera się cały węzeł chłonny. Nie wykonuje się biopsji cienkoigłowej z uwagi na znaczny odsetek niediagnostycznych wyników. Na podstawie badania hist-pat rozpoznano chłoniaka Hodgina i rozpoczęto leczenie onkologiczne.
Chłoniaki ziarnicze i nieziarnicze stanowią około 50–60% zmian złośliwych szyi u dzieci. Umiejscowienie na szyi jest częstsze w przypadku ziarnicy złośliwej niż chłoniaka nieziarniczego. Inne zmiany złośliwe tej okolicy to zwojak zarodkowy, mięsaki (fibrosarcoma, neurofibrosarcoma) oraz histiocytoza z komórek Langerhansa. W toku postępowania diagnostycznego pamiętać należy również o potencjalnie złośliwych zmianach ogniskowych tarczycy, przytarczyc oraz ślinianek. Ważną kwestią jest różnicowanie na podstawie badania ultrasonograficznego chłoniaków z węzłami chłonnymi metastatycznymi. Przerzuty do węzłów u dzieci najczęściej występują w przebiegu mięsaka prążkowanokomórkowego, rzadziej w raku tarczycy i zwojaku zarodkowym. Samo kryterium wielkości węzłów chłonnych rozrostowych uważane jest za niewystarczające. Dopiero seria pomiarów tego samego węzła chłonnego w określonych odstępach czasowych wnosi informacje na temat jego potencjalnie złośliwego charakteru lub odpowiedzi na terapię. Węzły chłonne rozrostowe mają nieprawidłowy okrągły kształt, ponieważ niekontrolowane namnażanie się komórek prowadzi do zmiany ich architektury. Stosunek szerokości do długości węzła limfatycznego budzącego niepokój onkologiczny wynosi powyżej 0,5. Węzły chłonne potencjalnie onkologiczne cechuje znaczne zwężenie, a w dalszej konsekwencji nieobecność wnęki i ekscentryczne poszerzenie kory. Jednak we wczesnej fazie zajęcia węzłów chłonnych przez komórki nowotworowe obserwować możemy prawidłowy obraz wnęki. Węzły w przebiegu chłoniaków zazwyczaj są w całości hipoechogeniczne (mogą przypominać torbiele); w odróżnieniu od węzłów typu przerzutowego, które częściej mają bardziej złożoną strukturę (związane to jest z zachodzącymi w nich zmianami wstecznymi). Węzły chłonne przerzutowe w przebiegu raka brodawkowatego tarczycy są hiperechogeniczne. Zarówno w przypadku chłoniaków, jak i węzłów przerzutowych charakterystyczne jest przerwanie ciągłości torebki węzła chłonnego i naciekanie sąsiednich węzłów chłonnych lub okolicznych tkanek (czyli tworzenie tzw. pakietów). Badając węzły onkologiczne uwidocznić możemy wewnątrz nich fragmenty nekrozy wyrażające się w ultrasonografii jako silnie hipoechogeniczne rejony. Sporadycznie w węzłach nowotworowych występuje martwica koaugacyjna, która odpowiada obszarom hiperechogenicznym. W przypadku chłoniaków rzadziej niż w węzłach przerzutowych dochodzi do nekrozy, wyjątkiem są sytuacje, gdy choroba jest zaawansowana oraz w chłoniakach po leczeniu chemio- i radioterapią. Elementem badania różnicowego węzłów chłonnych rozrostowych jest ocena zwapnień. Ogniska mikrokalcyfikacji charakterystyczne są więc przede wszystkich dla węzłów metastatycznych. Zwapnienia szczególnie często widoczne są w przerzutach raka brodawkowatego tarczycy. Są one zlokalizowane obwodowo i dają cień akustyczny. W przypadku raka rdzeniastego również można uwidocznić pojedyncze mikrozwapnienia, jednak ich występowanie jest dużo rzadsze. Opcje dopplerowskie używane są rutynowo w obrazowaniu węzłów chłonnych nowotworowych i ułatwiają diagnostykę różnicową. W węzłach o potencjalnie onkologicznym charakterze obserwuje się nieprawidłowy mieszany lub obwodowy typ unaczynienia. Zaburzona architektura naczyń jest późnym objawem nowotworzenia, dlatego analizując jedynie wzorzec ukrwienia, nie uda nam się wykluczyć choroby rozrostowej w jej wczesnej fazie. Chłoniaki cechują się głównie unaczynieniem mieszanym, tzn. odwnękowym i obwodowym (w przypadku chłoniaków ogniska martwicy występują rzadko i możliwe jest zachowanie odwnękowego ukrwienia). Węzły chłonne przerzutowe częściej mają unaczynienie wyłącznie obwodowe.Obrazując węzły chłonne nowotworowe, korzystamy z oceny dopplerowskiego widma przepływu. Węzły onkologiczne charakteryzuje wysokooporowe spektrum przepływu (RI > 0,7), które jest zauważalnie wyższe w przerzutach niż w chłoniakach.
Przypadek kliniczny
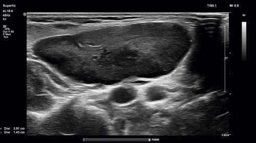
Niemowlę trzymiesięczne zostało przyjęte do Kliniki z powodu obrzęku w szyi po stronie prawej. Przy przyjęciu dziecko było w dobrym stanie ogólnym; w badaniu fizykalnym zwracała uwagę nieco zaczerwieniona skóra w okolicy prawego kąta żuchwy oraz wyczuwalne powiększone węzły chłonne szyi podżuchwowe z przewagą po stronie prawej. W badaniach laboratoryjnych nie stwierdzono nieprawidłowości. W USG poniżej małżowiny ucha prawego stwierdzono zmieniony zapalnie węzeł chłonny 16 x 14 x 12 mm, o nierównych obrysach z obrzękiem sąsiednich tkanek, w jego części obwodowej uwidoczniono obszar płynowy bez przepływu dopplerowskiego. Dziecko przeniesiono do Kliniki Chirurgii Dzieci, gdzie wykonano drenaż. W badaniu mikrobiologicznym ropnej treści wyhodowano gronkowca złocistego. Ropień w obrazowaniu USG to guz hipoechogeniczny bez pasmowatego echa wnęki, odgraniczony torebką o nieregularnej grubości, z wewnętrznymi odbiciami lub przegrodami spowodowanymi obecnością treści ropnej i rozkładających się tkanek (tzw. debris). Widoczne mogą być echogeniczne ogniska z cieniami akustycznymi o charakterze artefaktów, które odpowiadają występowaniu powietrza. Obrazowanie dopplerowskie wykazuje brak przepływu. Gdy dojdzie do przerwania ciągłości torebki ropnia (tzw. ropowica), granice między sąsiadującymi strukturami stają się nieostre. W przebiegu ostrego zapalenia węzłów chłonnych, zanim dojdzie do wytworzenia się klasycznego obrazu ropnia, często mamy do czynienia z drobniejszymi ogniskami martwicy wewnątrz węzła chłonnego oraz z podwyższoną echogennością sąsiednich tkanek. W badaniu dopplerowskim stwierdzimy wówczas amputację przepływu w miejscach nekrozy. Zdarza się, że już na takim etapie węzły chłonne wymagają interwencji chirurgicznej. Wspomnieć należy, że w przypadku, gdy podejrzewamy formowanie się ropnia w obrębie grup węzłów chłonnych szyi niedostępnych badaniem USG (przede wszystkim węzły zagardłowe), należy wspomóc się obrazowaniem za pomocą KT lub MRI.
Podsumowanie
Dość często spotykamy się z tym, że powiększenie się węzłów chłonnych u dzieci kojarzone jest z chorobą nowotworową. W większości przypadków przyczyną powiększania węzłów limfatycznych u niepełnoletnich pacjentów są nawracające infekcje dróg oddechowych. Zwykle wyczuwalne są wówczas węzły chłonne szyjne oraz podżuchwowe. Choroby rozrostowe stanowią jedynie około 1% przypadków powiększonych węzłów chłonnych u dzieci. Sytuacje alarmowe w przebiegu limfadenopatii to: postępujące powiększanie się węzłów chłonnych, brak reakcji na dwutygodniowe leczenie antybiotykiem, węzły niebolesne palpacyjnie o wzmożonej lub twardej konsystencji, powiększone węzły chłonne w okolicy nadobojczykowej, objawy ogólne (gorączka, utrata masy ciała, nocne poty, bóle kostne) oraz współistnienie hepato- lub splenomegalii. Obecność duszności, kaszlu, obrzęku twarzy i szyi z wypełnieniem żył szyjnych świadczyć może o zespole żyły głównej górnej. Niepokojącymi objawami są również limfadenopatia z towarzyszącymi nieprawidłowościami w morfologii krwi lub ze zwiększonym stężeniem kwasu moczowego i LDH, a także odchylenia od normy w RTG klatki piersiowej.
PIŚMIENNICTWO
- H. Iro, A. Bozzato, J. Zenk, Atlas of Head and Neck Ultrasound. Sonographic Anatomy and Patology Neck Lymph Nodes 2013; 58–89.
- A. Ahuja, R. Evanx, Practical Head and Neck Ultrasound. Lymph Nodes 2000; 67–87.
- A.T. Ahuja i wsp., Ultrasound of malignant cervical lymph nodes. Cancer imaging: the official publication of the International Cancer Imaging Society 2008; 48–56.
- S.M. Dudea i wsp., Ultrasonography of superficial lymph nodes: Benign vs. malignant. Medical ultrasonography. 2012; 294–306.
- J. Ya i wsp., Value of contrast-enhanced ultrasonography in the differential diagnosis of enlarged lymph nodes: a meta-analysis of diagnostic accuracy studies. APJCP: 2015;16 6.
- M. Hofer, Wydanie polskie red. dr. n. med G. Małek, Podręcznik kolorowej ultrasonografii dopplerowskiej. Węzły chłonne szyi i tarczyca 2007: 31–39.
- M.J. Siegel, Wydanie polskie red. prof. dr hab. n. med. A. Marciński, Ultrasonografia pediatryczna. Głowa i szyja 2012: 118–164.
- T. Batko, Ocena przydatności „jakościowej elastografii ultrasonograficznej czasu rzeczywistego” w różnicowaniu pomiędzy prawidłowymi i patologicznymi węzłami chłonnymi szyjnymi u dzieci i młodzieży. 2014 PhD Thesis.
- T. Batko i wsp., O diagnostyce ultrasonograficznej guzów litych u dzieci i młodzieży – raz jeszcze, For Med Rodz 2011; 5 (1).
- J.J. Pietrzyk, P. Kwinta, Pediatria. Semiotyka, powiększenie węzłów chłonnych 2018; 248–254.