Niedotlenienie okołoporodowe

Studium przypadku

Niedotlenienie okołoporodowe jest zespołem objawów wynikających z hipoksji płodu i noworodka w okresie przed-, śród- i poporodowym. Częstość szacuje się na ok. 2–6/1000 żywo urodzonych noworodków, 15–25% z nich
umiera, a u 25% stwierdza się trwałe uszkodzenia neurologiczne. Wiedza na temat patofizjologii niedotlenienia okołoporodowego pozwala na zrozumienie mechanizmów dotyczących terapii, której celem jest zmniejszanie skutków spowodowanych uszkodzeniem komórek nerwowych i przywracanie ich funkcjonalności. Terapeutyczna hipotermia (cool cup lub chłodzenie całego ciała) jest standardem postępowania w przypadku ciężkiego niedotlenienia okołoporodowego noworodków urodzonych > 35. tyg. ciąży.

Niedotlenienie okołoporodowe (PA – perinatal asphyxia) jest zespołem objawów wynikających z niedostatecznej/upośledzonej dostępności tlenu – hipoksji – w obrębie różnych narządów i tkanek płodu i noworodka w okresie przedporodowym, śródporodowym lub bezpośrednio po porodzie. 

Uwzględniając przyczynę, wyodrębniono cztery typy hipoksji:

  • hipoksemiczną spowodowaną niedostateczną zawartością tlenu we krwi tętniczej;
  • anemiczną wynikającą z niskiego stężenia hemoglobiny i/lub niezdolności hemoglobiny do przenoszenia tlenu;
  • zastoinową (krążeniową) rozwijającą się w następstwie zaburzeń perfuzji krwi przez tkanki – mały rzut serca, wysoki opór naczyniowy, przetoki tętniczo-żylne;
  • histotoksyczną następującą w wyniku niezdolności tkanek do zużycia tlenu, czyli istotnych zaburzeń metabolizmu komórkowego, np. ciężkich zatruć. 

Mimo znacznego postępu, jaki dokonał się w medycynie perinatalnej, niedotlenienie okołoporodowe stanowi istotny problem w neonatologii. Częstość szacuje się na ok. 2–6/1000 żywo urodzonych, 15–25% noworodków umiera, a u 25% stwierdza się trwałe uszkodzenia neurologiczne.

Niedotlenienie okołoporodowe może wynikać z szeregu czynników ryzyka, zarówno przedporodowych, jak i śródporodowych, doprowadzających do zaburzenia/zaprzestania tlenowej wymiany gazowej przez łożysko dla płodu.
Istotne jest sprecyzowanie objawów klinicznych wynikających z następstw niedotlenienia okołoporodowego prowadzących do uszkodzenia mózgu u noworodka. W 2014 r. opublikowano raport Amerykańskiej Akademii Pediatrii (AAP) i Amerykańskiego Towarzystwa Położników i Ginekologów (ACOG) weryfikujący rozpoznanie encefalopatii niedotlenieniowo-niedokrwiennej. Kryterium rozpoznania niedotlenienia okołoporodowego według ACOG i AAP jest głęboka kwasica metaboliczna/mieszana (pH < 7,00) stwierdzana w krwi pobranej z tętnicy pępowinowej u noworodka z: 

  • niską punktacją według skali Apgar – 0–3 punktów w 5. i następnych minutach życia, 
  • zaburzeniami neurologicznymi (np. drgawki, śpiączka, hipotonia), 
  • niewydolnością wielonarządową.

W przypadku objawów związanych z niedotlenieniem okołoporodowym należy rozpoznać encefalopatię noworodkową, a nie jak dotychczas encefalopatię niedotlenieniowo-niedokrwienną. Ostateczne rozpoznanie możliwe jest po wykluczeniu innych okoliczności mogących wpłynąć na uszkodzenie ośrodkowego układu nerwowego u noworodka w czasie nawet odległym od porodu oraz identyfikację czynników ryzyka, w tym genetycznych, infekcyjnych, środowiskowych, usposabiających do rozwoju encefalopatii.

Konieczna jest również analiza czynników okołoporodowych oraz ocena parametrów śródporodowego monitorowania czynności serca płodu i innych powikłań mogących wystąpić w tym czasie oraz badanie histopatologiczne łożyska. 

Czynniki ryzyka

Wśród czynników ryzyka, powodujących objawy niedotlenienia okołoporodowego, należy wymienić czynniki matczyne, płodowe oraz związane z popłodem, a także dotyczące powikłań mogących wystąpić podczas porodu. 

Czynniki ryzyka ze strony matki:

  • choroby układu krążenia i oddechowego,
  • nadciśnienie tętnicze,
  • choroby nerek, padaczka, niedokrwistość,
  • zaburzenia przemiany materii, schorzenia tarczycy, cholestaza ciężarnych,
  • ciąża po leczeniu niepłodności,
  • zapalenie błon płodowych (chorioamnionitis), 
  • przedwczesne pęknięcie pęcherza płodowego (PROM),
  • uzależnienie lekowe.

Czynniki ryzyka ze strony płodu:

  • wcześniactwo,
  • ciąża mnoga,
  • ciąża przenoszona,
  • zahamowanie rozwoju wewnątrzmacicznego (IUGR) masa ciała < 3. centyla,
  • duża masa płodu.

Czynniki ryzyka ze strony popłodu:

  • niedorozwój łożyska,
  • zawał łożyska,
  • przedwczesne odklejanie łożyska,
  • węzeł pępowinowy prawdziwy lub rzekomy,
  • wypadnięcie pępowiny,
  • malformacje naczyń pępowinowych.

Śródporodowe czynniki ryzyka:

  • poród zabiegowy (próżnociąg, kleszcze),
  • poród przedłużony (dystocja barkowa, poród pośladkowy),
  • przedwczesne odklejenie łożyska,
  • gorączka u rodzącej > 1 godziny > 37,5–38,0°C (4-krotnie większe ryzyko drgawek u noworodków donoszonych w pierwszych dobach życia).
  • Postnatalne czynniki ryzyka niedotlenienia okołopo-
  • rodowego:
  • sepsa,
  • wstrząs,
  • ciężka postać zespołu zaburzeń oddychania,
  • poważna wada serca.

Wykładnikami zagrożenia niedotlenieniem okołoporodowym są:

  • nieprawidłowy zapis KTG (tachykardia z następową bradykardią, deceleracje późne, oscylacja zawężona, milcząca),
  • zaburzenia przepływu w naczyniach pępowinowych,
  • smółka w płynie owodniowym,
  • brak ruchów płodu,
  • nieprawidłowe pH < 7,0 i BE >–12 mmol/l.

Objawy kliniczne

Następstwa kliniczne zależne są od stopnia dojrzałości ośrodkowego układu nerwowego (OUN) w czasie porodu oraz stanu ogólnego noworodka w pierwszych godzinach po urodzeniu, gdzie czynnikami ryzyka stopnia uszkodzenia mózgu są hipotonia, drgawki i hipoglikemia. 

Następstwa niedotlenia okołoporodowego w OUN:

  • encefalopatia niedotlenieniowo-niedokrwienna (> 35. tyg. ciąży),
  • uraz niedotlenieniowo-niedokrwienny OUN noworodków urodzonych przedwcześnie.

Klasyfikacja stopnia nasilenia encefalopatii zaproponowana przez Sarnat i Sarnat w 1976 r. jest użyteczną metodą powszechnie stosowaną w badaniu klinicznym. Łagodna (stopień I), umiarkowana (II) lub ciężka (III) postać rozpoznawane są na podstawie oceny stanu świadomości, napięcia mięśniowego, odruchów, funkcji autonomicznych, szerokości źrenic, czynności serca, wydzieliny ślinianek i oskrzeli, motoryki przewodu pokarmowego, obecności/braku mioklonii i drgawek, zapisu elektoencefalograficznego. Poza objawami ze strony ośrodkowego układu nerwowego w następstwie niedotlenienia okołoporodowego mogą wystąpić objawy niewydolności wielonarządowej, dotyczące: 

  • układu krążenia – wstrząs kardiogenny, przejściowe niedokrwienie mięśnia sercowego, PDA hemodynamicznie istotny u wcześniaków,
  • układu oddechowego – nasilenie zaburzeń oddychania, przetrwałe nadciśnienie płucne (PPHN), krwawienie z płuc,
  • przewodu pokarmowego – nietolerancja żywienia enteralnego, martwicze zapalenie jelit (NEC), krwawienie, perforacja, 
  • zaburzenia funkcji wątroby – zaburzenia krzepnięcia,
  • zaburzenia czynności nerek – niewydolność nerek, martwica cewek nerkowych,
  • układu krwiotwórczego – DIC, małopłytkowość, leukopenia,
  • układu odpornościowego – większa podatność na uogólnione zakażenia,
  • zaburzeń metabolicznych – kwasica metaboliczna, hiperglikemia, hiperkaliemia.

Niedotlenienie okołoporodowe powoduje w obrębie ośrodkowego układu nerwowego noworodków urodzonych o czasie selektywną martwicę obszarów kory mózgu dotyczącą zwojów podstawy, wzgórza, warstw głębokich kory i komórek Purkinjego, jąder nerwów czaszkowych oraz komórek rogów przednich rdzenia kręgowego, a także międzymózgowia, zwojów podstawy lub pnia mózgu. Klinicznie manifestuje się hipotonią, z następową spastycznością, trudnościami w karmieniu w wyniku osłabienia odruchów ssania i połykania oraz w efekcie opóźnionym rozwojem psychomotorycznym.

W ośrodkowym układzie nerwowym noworodków urodzonych przedwcześnie nieprawidłowości dotyczą natomiast istoty białej mózgu. W następstwie niedotlenienia dochodzi do leukomalacji okołokomorowej, która w przyszłości objawia się zazwyczaj porażeniem obustronnym kurczowym ze spastycznością kończyn górnych i zaburzeniami widzenia.

Niedotlenienie okołoporodowe, będące przyczyną ciężkiej bądź umiarkowanej encefalopatii niedotlenieniowo-niedokrwiennej, może prowadzić do trwałego uszkodzenia mózgu – mózgowego porażenia dziecięcego (MPD), upośledzenia umysłowego, zaburzeń poznawczych, padaczki, niedosłuchu, ślepoty korowej. Według szacunków Światowej Organizacji Zdrowia zamartwica jest przyczyną 
23% zgonów noworodków.

Natomiast łagodna encefalopatia związana jest z zaburzeniami behawioralnymi – hiperaktywnością, autyzmem, deficytem uwagi u dzieci i młodzieży, niskim ilorazem inteligencji, schizofrenią i chorobami psychotycznymi.

Diagnostyka laboratoryjna

Podstawowe testy laboratoryjne nie pozwalają jednoznacznie potwierdzić lub wykluczyć, czy doszło do rozwoju HIE, jednak ukazują całokształt przemian zachodzących w czasie niedotlenienia i ewentualnych jego następstw.

Badania te obejmują monitorowanie glikemii, równowagi kwasowo-zasadowej i wodno-elektrolitowej, mleczanów, aktywności dehydrogenazy kwasu mlekowego i innych enzymów uczestniczących w metabolizmie beztlenowym, a także morfologii z rozmazem, parametrów prawidłowej funkcji nerek (kreatynina, klirens kreatyniny, mocznik), wydolności wątroby (AlaT, AspAT, bilirubina) oraz uszkodzenia mięśnia sercowego (CK, CK-MB, troponina). 

Aktualne wskaźniki służące do oceny ciężkości urazu w rutynowej praktyce klinicznej są zawodne i nie pozwalają dokładnie przewidzieć wyników długoterminowych. Biomarkery niedotlenienia okołoporodowego mają znaczenie po wykluczeniu innych przyczyn depresji neurologicznej u noworodka. Niemowlęta z encefalopatią metaboliczną, sepsą, zaburzeniami genetycznymi, zaburzeniami nerwowymi mogą po urodzeniu wykazywać podobne objawy.

Diagnostyka obrazowa

Badanie ultrasonograficzne ośrodkowego układu nerwowego, połączone z dopplerowską oceną przepływów naczyniowych, jest konieczne w pierwszych godzinach po urodzeniu i powinno być powtarzane co 2–3 dni 
w 1. tyg.ż., a następnie co tydzień w celu oceny zmian niedotlenieniowo-niedokrwiennych. Noworodki, u których stosowano terapeutyczną hipotermię, powinny mieć wykonywane badanie mózgu metodą rezonansu magnetycznego mózgu (MRI) między 5. a 14. d.ż. Zmiany poniedotlenieniowe mogą nie być widoczne w badaniu MRI w 24.–48. godzinie życia. W celu kwalifikacji do leczenia pomocne jest badanie aEEG lub EEG, które zgodnie z obowiązującymi rekomendacjami stosuje się również podczas terapeutycznej hipotermii w celu monitorowania czynności mózgu.

Patofizjologia niedotlenienia okołoporodowego

W trakcie niedotlenienia okołoporodowego (PA) niewydolność energetyczna na poziomie komórki prowadzi do radykalnej zmiany przemiany tlenowej w beztlenową. Zaburzenie dostarczania do neuronów wysokoenergetycznych metabolitów wynika ze zmniejszenia aktywności trójfosforanu adenozyny (ATP), a także zależnej od ATP pompy sodowo-potasowej (Na+/K+). Na skutek zmniejszonej wydajności ATP dochodzi do syntezy fosfokreatyny, akumulacji mleczanów, spadku wartości pH, obniżenia fosforylacji białek i nadmiernej produkcji reaktywnych form tlenu (ROS), co może prowadzić do śmierci komórki. Deficyt produkcji ATP prowadzi także do utraty potencjału spoczynkowego błon komórkowych, zaburzenia homeostazy jonowej, depolaryzacji błon komórkowych oraz zwiększenia zewnątrzkomórkowego stężenia glutaminianu. Następuje nadmierna aktywacja jonotropowa NMDA (kwasu N-metylo-D-asparaginowego), receptorów AMPA/KA (kwasu alfa-amino-3-hydroksy-5-metylo-4-isoxazolopropionowego/kwasu kainowego), a także białka-G związanego z receptorami glutaminianu (mGluR), wywołując masywny napływ Ca2+ do komórek. Wzrost cytozolowego Ca2+, aktywuje proteazy, lipazy, endonukleazy i syntazę tlenku azotu, które powodują degradację cytoszkieletu i pozakomórkowych białek matrycowych, prowadzą do peroksydacji lipidów błon komórkowych, produkcji nadtlenków azotu i innych wolnych rodników. Wyzwala to kaskadę dalszych procesów wewnątrzkomórkowych, które ostatecznie prowadzą do uszkodzenia neuronów i śmierci komórki. 

Według szacunków Światowej Organizacji Zdrowia zamartwica jest przyczyną 23% zgonów noworodków.

W odpowiedzi na niedobór energii następuje centralizacja krążenia (serce, mózg, nadnercza) w celu zapewnienia dopływu tlenu do tych ważnych narządów. Rozwija się ona kosztem zmniejszenia perfuzji nerek, przewodu pokarmowego, mięśni, układu kostnego i skóry. W mózgu również dochodzi do redystrybucji przepływu krwi przez pień mózgu kosztem kory mózgowej. Reoksygenacja/natlenianie może prowadzić do nieprawidłowej homeostazy, częściowej regeneracji i trwałej nadekspresji alternatywnych szlaków metabolicznych, przedłużając deficyt/niedobór energetyczny i/lub generując stres oksydacyjny. Stres oksydacyjny związany jest z: 

  • inaktywacją wielu enzymów, w tym oddechowych enzymów mitochondrialnych, 
  • niską wydajnością mechanizmów antyoksydacyjnych na wczesnym etapie rozwoju, 
  • znaczną fosforylacją oksydacyjną,
  • wysokim stężeniem wolnego żelaza prowadzącym do produkcji rodników hydroksylowych,
  • wysokim stężeniem kwasów tłuszczowych, 
  • szybkim metabolizmem przy niskich rezerwach metabolicznych,
  • wysokim zużyciem tlenu i niedojrzałością metaboliczną w chwili narodzin. 

 W wyniku ciężkiego urazu niedotlenieniowego występują dwie fazy uszkodzeń biochemicznych. W początkowej dochodzi do natychmiastowego obumierania neuronów w mechanizmie nekrozy. Po okresie reperfuzji następuje okres utajenia z krótkotrwałym powrotem metabolizmu energetycznego mózgu. W końcowym efekcie dochodzi do wtórnej fazy niekorzystnych i kaskadowo narastających zjawisk biochemicznych (kumulacja cytotoksyn, obrzęk mózgu, niewydolność mechanizmów oksydacyjnych) prowadzących do opóźnionego obumierania neuronów na drodze apoptozy. Końcowym etapem jest aktywacja autophagii. Trwałe uszkodzenie komórek na drodze nekrozy i apoptozy następuje między 6. a 48. godziną po niedotlenieniu. Faza latentna pomiędzy pierwotnym urazem i fazą wtórną będąca jednocześnie tzw. okienkiem terapeutycznym trwa średnio ok. 6 godzin. Wykazano, iż czas trwania tej fazy jest odwrotnie proporcjonalny do nasilenia urazu niedokrwienno-niedotlenieniowego, im cięższy uraz okołoporodowy, tym krótsze okienko terapeutyczne, większy wtórny spadek produkcji energii w mitochondriach oraz bardziej nasilona martwica neuronów. 

Leczenie

Wiedza dotycząca patofizjologii niedotlenienia okołoporodowego pozwala na zrozumienie mechanizmów dotyczących terapii, której celem jest zmniejszanie skutków spowodowanych uszkodzeniem neuronów i przywracanie ich funkcjonalności. Efekt neuroprotekcyjny hipotermii związany jest ze zwolnieniem metabolizmu tkanki nerwowej mózgu, prowadzącym do zmniejszenia zapotrzebowania na glukozę i tlen. Metabolizm tkanki nerwowej mózgu obniża się o 6–10% przy obniżeniu temperatury ciała o 1°C, terapeutyczna hipotermia (cool cup lub chłodzenie całego ciała) jest standardem postępowania w przypadku ciężkiego niedotlenienia okołoporodowego noworodków urodzonych > 35. tyg. ciąży. Przed transportem do ośrodka dysponującego możliwością przeprowadzenia hipotermii i w jego trakcie należy utrzymywać noworodka w temperaturze 34°C (mierzonej w odbycie). Kwalifikując pacjenta do leczenia, w pierwszym rzędzie weryfikuje się kryteria wystąpienia niedotlenienia, do którego doszło przed porodem lub w jego trakcie, następnie, u noworodków spełniających kryteria pierwszej grupy, weryfikowane są objawy postępującej encefalopatii – hipotonia, nieprawidłowa reakcja na bodźce, brak lub słaby odruch ssania, drgawki.

Hipotermię należy rozpocząć w czasie pierwszych sześciu godzin życia i podtrzymywać przez 72 godz., a ogrzewanie pacjenta powinno następować powoli. Wśród kryteriów wykluczenia/przeciwwskazań do prowadzenia hipotermii wymieniane są: 

  • mała urodzeniowa masa ciała (< 1800 g), 
  • duże wady wrodzone lub podejrzewane nieprawidłowości chromosomowe, 
  • ciężki uraz głowy lub krwawienie wewnątrzczaszkowe, 
  • zagrażające życiu nieprawidłowości układu krążenia lub oddechowego,
  • stany wskazujące na daremność leczenia, np. bardzo ciężka, przetrwała encefalopatia, bardzo niskie ciśnienie krwi, ciężka kwasica nieodpowiadająca na leczenie.

Metody wspomagające neuroprotekcję znajdują się na różnych etapach badań doświadczalnych. Stosowane są między innymi:

  1. Fenobarbital i antagonista receptora AMPA topiramat stosowane są w drgawkach u noworodków i cechują się dużym profilem bezpieczeństwa. Wykazano, że leczenie fenobarbitalem zmniejsza stężenie nadtlenków i enzymów antyoksydacyjnych w płynie mózgowo-rdzeniowym u dzieci po niedotlenieniu okołoporodowym.
  2. Inhalacje z 50% ksenonu, zatwierdzonego klinicznie gazu anestetycznego, który jest antagonistą receptorów NMDA, posiada podwójne działanie neuroprotekcyjne.
  3. Memantyna jest kolejnym antagonistą receptora NMDA, którego zastosowanie może mieć wpływ na poprawę rokowania przy równoczesnym zastosowaniu hipotermii.
  4. Erytropoetyna ze względu na jej działanie przeciwzapalne, antyoksydacyjne, antyapoptotyczne, neurotroficzne oraz stymulujące neurogenezę.
  5. Siarczan magnezu działający neuroprotekcyjnie.
  6. Komórki macierzyste. Badania na zwierzętach potwierdzają neuroprotekcyjny efekt komórek z krwi pępowinowej i mezenchymalnych komórek szpiku. Efekty te polegają na immunomodulacji, aktywacji macierzystych komórek szpiku, wyzwoleniu czynników wzrostu i mechanizmów antyapoptotycznych.

Do zapamiętania 

Niedotlenienie okołoporodowe jest zespołem objawów wynikających z hipoksji płodu i noworodka w okresie przed-, śród- i poporodowym.

Kryterium rozpoznania niedotlenienia okołoporodowego według ACOG i AAP jest głęboka kwasica metaboliczna/mieszana (pH < 7,00) stwierdzana w krwi pobranej z tętnicy pępowinowej u noworodka urodzonego z niską punktacją według skali Apgar – 0–3 punktów w 5. i następnych minutach życia, zaburzeń neurologicznych stwierdzanych u noworodka (np. drgawki, śpiączka, hipotonia) i niewydolności wielonarządowej.

Czynnikami ryzyka niedotlenienia okołoporodowego są schorzenia matki – w tym schorzenia przewlekłe, ciąża po leczeniu niepłodności, nieprawidłowości płodu – zbyt duża i mała masa płodu, ciąża mnoga, patologia łożyska i pępowiny oraz poród zabiegowy lub przedłużony, poród przedwczesny.

Wykładnikami zagrożenia niedotleniem okołoporodowym są: nieprawidłowy zapis KTG (tachykardia z następową bradykardią, deceleracje późne, oscylacja
zawężona, milcząca), zaburzenia przepływu w naczyniach pępowinowych, smółka w płynie owodniowym, brak ruchów płodu.

Stwierdzenie objawów związanych z niedotlenieniem okołoporodowym pozwala na rozpoznanie encefalopaii noworodkowej. Encefalopatię niedotlenieniowo-niedokrwienną rozpoznaje się po wykluczeniu innych okoliczności mogących wpłynąć na uszkodzenie ośrodkowego układu nerwowego u noworodka w czasie nawet odległym od porodu oraz identyfikację czynników ryzyka, w tym genetycznych, infekcyjnych, środowiskowych, usposabiających do rozwoju encefalopatii.

Niedotlenienie okołoporodowe będące przyczyną ciężkiej bądź umiarkowanej encefalopatii niedotlenieniowo-niedokrwiennej może prowadzić do trwałego uszkodzenia mózgu – mózgowego porażenia dziecięcego (MPD), upośledzenia umysłowego, zaburzeń poznawczych, padaczki, niedosłuchu, ślepoty korowej.

Terapeutyczna hipotermia (cool cup lub chłodzenie całego ciała) jest standardem postępowania w przypadku ciężkiego niedotlenienia okołoporodowego noworodków urodzonych > 35. tyg. ciąży. 

Hipotermię należy rozpocząć w ciągu pierwszych sześciu godzin po urodzeniu, trwałe uszkodzenie komórek na drodze nekrozy i apoptozy następuje bowiem między 6. a 48. godziną po niedotlenieniu.

Analiza przypadków klinicznych

Przypadek 1.

Noworodek płci męskiej o masie ciała 3950 g, z CII PII urodzony siłami natury po ukończeniu 39 + 2/7 tyg. ciąży, oceniony w kolejnych minutach na 6/7/9/9 punktów według skali Apgar. Czysty płyn owodniowy odpłynął godzinę przed wydobyciem, GBS u matki ujemny przebieg ciąży powikłany krwawieniem w I trymestrze, niedoczynnością tarczycy, cukrzycą ciężarnych regulowaną dietą.

Dziecko urodzone w stanie średnim, z sinicą obwodową, obniżonym napięciem mięśniowym, z zaburzeniami oddychania. Na sali porodowej wymagał rozprężenia płuc za pomocą maski twarzowej i układu T oraz powietrza atmosferycznego; uzyskano poprawę stanu klinicznego. Z uwagi na utrzymujące się pomimo tlenoterapii zaburzenia oddychania i kwasicę oddechową (pH 7,17, pC02 71 mmHg) zastosowano nieinwazyjne wsparcie oddechowe typu nCPAP, które kontynuowano dwie doby, uzyskując szybką stabilizację stanu ogólnego. W badaniach pomocniczych – posiew krwi jałowy. Leukocytoza 26, 28, 15 tys./ul, płytki w normie, CRP nieznacznie podwyższone z szybką normalizacją (8,18 mg/l, 5,49 mg/l, 1,96 mg/l). Aktywność w surowicy LDH 648 U/l, CK 2029, w kolejnych dobach odpowiednio 1197 i 435 U/l, CK-MB 172, 74, 67 U/l. Hiperbilirubinemia od drugiej doby z maksymalnym stężeniem bilirubiny 14,5 mg%. W rtg klatki piersiowej pola płucne bez zmian ogniskowych. W wykonanym USG mózgowia: układ komorowy nadnamiotorwy asymetryczny, nieposzerzony (P < L). Sploty naczyniaste obustronnie szersze, hyperechogenne, niejednorodne, o nierównych obrysach. Istota biała okołokomorowa o zwiększonej echogeniczności. W badaniu powtórzonym w 6. d.ż. utrzymuje się niewielka asymetria układu komorowego (P < L). Mózgowie bez zmian ogniskowych. Sploty naczyniowe komór bocznych symetryczne o gładkich zarysach. W badaniu okulistycznym: OPL – drobne wybroczyny podspojówkowe, poza tym odcinek przedni w normie, soczewki przezierne.

Dno OPL – tarcza n. II prawidłowa, biegun tylny w normie, naczynia rosną do końca II strefy. Noworodek wypisany do domu w stanie ogólnym dobrym w 7. d.ż,, karmiony piersią przybierający na wadze, z zaleceniem kontroli neurologicznej i laryngologicznej (badanie słuchu).

Komentarz do przypadku 1.
W omawianym przypadku noworodek matki z cukrzycą leczoną dietą, urodzony siłami i drogami natury, ale z dużą urodzeniową masą ciała – 3950 g, w terminie porodu. Niedotlenienie okołoporodowe wyrażone niską punktacją według skali Apgar w pierwszych trzech minutach życia (6/7 punktów) oraz badaniem gazometrycznym (pH 7,17) wynikało z przedłużającego się drugiego okresu porodu, co jest stosunkowo częstą sytuacją, gdy masa ciała płodu nie została ultrasonograficznie oszacowana przez położników przed porodem. Właściwe postępowanie po urodzeniu polega na wspomaganiu procesu adaptacji – utrzymaniu fizjologicznej temperatury ciała, stymulacji zewnętrznej, a następnie udrożnieniu dróg oddechowych i rozprężeniu płuc. Takie postępowanie powoduje poprawę stanu noworodka, również wyrażoną według skali Apgar w 5. i 10. min życia (9/9 punktów). Jednakże utrzymujące się zaburzenia oddychania, będące wynikiem cukrzycy w okresie ciąży (RTG klatki piersiowej bez zmian ogniskowych, posiew jałowy, badania biochemiczne w kierunku infekcji ujemne), wymagały zastosowania nieinwazyjnego wsparcia oddechowego pod postacią nCPAP. Badania laboratoryjne również potwierdzały uruchomienie beztlenowych przemian w okresie krótko trwającego niedotlenienia okołoporodowego. W trakcie kilku dni hospitalizacji wyniki uległy normalizacji – zarówno leukocytoza, nieznacznie podwyższone CRP, jak również LDH, CK, CK-MB. Normalizacja stanu klinicznego dzieci urodzonych w terminie porodu następuje stosunkowo szybko, jeżeli dziecko nie prezentuje nieprawidłowych objawów neurologicznych, wypis możliwy jest po kilku dniach hospitalizacji.

Zmiany poniedotlenieniowe mogą nie być widoczne w badaniu MRI w 24.–48. godzinie życia. 

W badaniu USG głowy widoczne struktury OUN nie wykazywały nieprawidłowości, noworodek wymaga jedynie w przyszłości kontroli neurologicznej i ewentualnie badania USG oraz kontroli słuchu. Miernego stopnia niedotlenienie okołoporodowe może powodować łagodną postać encefalopatii niedotlenieniowo-niedokrwiennej, której objawy mogą ujawnić się w przyszłości.

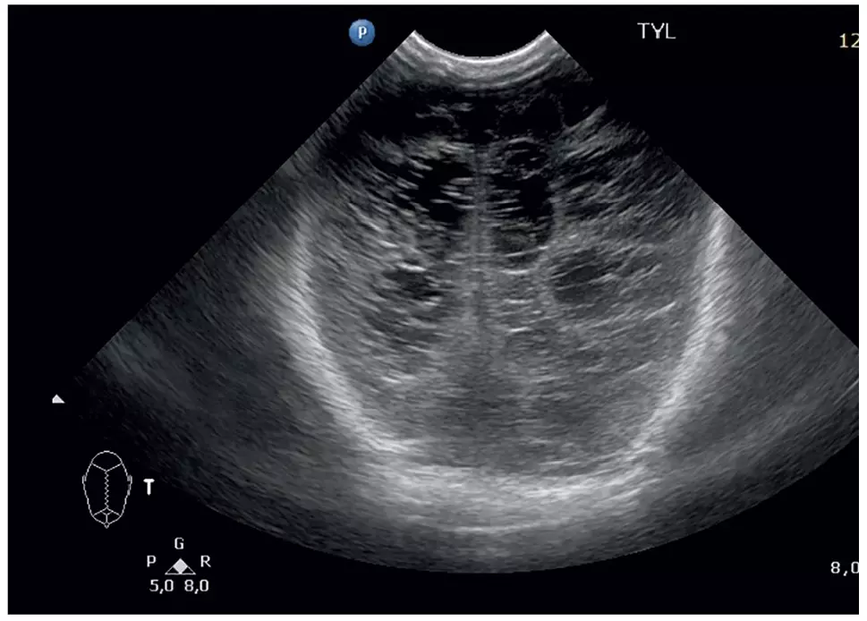
Ryc. 1. Asymetria komór bocznych bez poszerzenia L > P, jama przegrody przezroczystej

Przypadek 2.

Noworodek płci żeńskiej o masie ciała 2370 g (< 3. centyla według siatek Fenton) z CI PI urodzony drogą cesarskiego cięcia w trybie pilnym (zagrażająca zamartwica u płodu) po ukończeniu 40. + 1/7 tygodnia ciąży, oceniony po 1/3/5/10 minucie na 4/5/7/7 punktów według skali Apgar. Zielony, gęsty płyn owodniowy odpłynął podczas cięcia, GBS u matki ujemny. W przebiegu ciąży: cukrzyca ciężarnych wyrównywana dietą. Do 12. tyg. ciąży okresowe plamienie z dróg rodnych. Z wywiadu u matki – bielactwo, astma oskrzelowa.

Noworodek z cechami hipotrofii urodzony w stanie ciężkim, niewydolny oddechowo, z obniżonym napięciem, z bladym zabarwieniem powłok skórnych, czynność serca miarowa ok. 150/min SaO2 48%, wymagał odessania gęstego, zielonego płynu owodniowego z nosogardzieli, rozprężenia płuc kontrolowanymi oddechami ratowniczymi, początkowo powietrzem, następnie tlenem o stężeniu zwiększanym stopniowo do 40%. Od 5 min noworodek podejmował próby oddechu własnego, oddechy płytkie, nieregularne, SaO2 68–91%. W gazometrii z tętnicy pępowinowej pH 7,07 pCO2 74 mmHg, BE – 8,7 mmol/l, mleczany > 15 mmol. Zastosowano wsparcie oddechu w trybie nCPAP, które kontynuowano dwa dni, monitorowane parametry życiowe były prawidłowe. W wykonanym RTG klatki piersiowej – pola płucne bez zmian ogniskowych, cien środkowy w normie. W pierwszych dniach życia monitorowano wykładniki infekcyjne (CRP, leukocytoza, płytki krwi), glikemię i wykładniki równowagi kwasowo-zasadowej. Aktywność LDH w pierwszej dobie 2890, w kolejnych 1740, 684 U/l przy normie do 500 U/l, CK 908, następnie 830, 109 U/l (norma 29–168 U/l), CK–MB 584, następnie 129 U/l (norma 0–24 U/l), podobnie AlAT 192, 63 U/l (norma 7–40 U/l) i AspAT 183, 36 U/l (norma 0–31 U/l).

Po uzyskaniu w trzeciej dobie ujemnego wyniku posiewu krwi odstawiono antybiotykoterapię. Żywienie pozajelitowe stosowano do 4. d.ż., stopniowo zwiększając żywienie enteralne mlekiem matki. W wykonanym badaniu USG mózgowia w pierwszej dobie życia: układ komorowy nadnamiotowy dyskretnie asymetryczny (P < L), nieposzerzony. W linii pośrodkowej jama przegrody przezroczystej szer. 0,3 cm. Splot naczyniasty prawy normoechogeniczny, nieposzerzony. Splot lewy hiperechogenny, nieposzerzony. Istota biała okołokomorowa o zwiększonej echogeniczności, w okolicy rogu czołowego prawego oraz rogu potylicznego lewego. W badaniu kontrolnym wykonanym po pięciu dniach USG mózgowia: układ komorowy nadnamiotowy symetryczny, nieposzerzony. Sploty naczyniaste niejednorodne, lewy dwudzielny, hiperechogenny. Istota biała okołokomorowa o zwiększonej echogeniczności. W badaniu USG serca – bez wady strukturalnej, przepływy w naczyniach i jamach serca prawidłowe. W badaniu okulistycznym: OPL – odcinek przedni w normie, soczewki przezierne. Dno OPL – tarcza n. II prawidłowa, biegun tylny w normie, naczynia rosną za połowę II strefy bez patologii.

Noworodek został wypisany do domu w 8. d.ż. w stanie ogólnym dobrym, z nieznacznie obniżonym napięciem mięśniowym, karmiony piersią, przybierający na wadze, z zaleceniami karmienia naturalnego na żądanie, podaży witaminy D, kontroli ultrasonograficznej mózgowia, dalszej opieki neurologicznej, laryngologicznej (badanie słuchu) i rehabilitacji.

Komentarz do przypadku 2.
W omawianym przypadku poród nastąpił drogą cięcia cesarskiego z powodu zagrażającej zamartwicy płodu po 40. tygodniu ciąży. Informacja o wahaniach tętna płodu stanowiąca podstawę do pilnego zakończenia ciąży dla neonatologa jest istotnym sygnałem do zabezpieczenia stanowiska resuscytacyjnego i podjęcia działań natychmiast po urodzeniu dziecka. Dodatkowym czynnikiem ryzyka był zielony płyn owodniowy oraz hipotrofia (masa ciała poniżej 3. centyla według siatek Fenton). Niska ocena według skali Apgar miała odzwierciedlenie nie tylko w stanie klinicznym, ale również w gazometrii uzyskanej po urodzeniu (pH 7,07, BE -8,7 mmol/l, mleczany > 
> 15 mmol/l). Wysokie stężenie mleczanów w połączeniu z wysoką aktywnością LDH oraz CK świadczyły o długotrwałym niedotlenieniu wewnątrzmacicznym, stąd też zbyt mała do wieku płodowego masa noworodka. W każdej sytuacji niedotlenienia około- czy przedporodowego należy wziąć pod uwagę czynnik infekcyjny, zatem do czasu uzyskania wyniku posiewu krwi konieczna jest antybiotykoterapia I rzutu, czyli pochodna penicylinowa z aminoglikozydem. Gdyby wyniki badań – radiologiczne lub laboratoryjne – były nieprawidłowe, nawet przy ujemnym posiewie krwi, a utrzymujących się zaburzeniach oddychania kontynuuje się leczenie. Konieczne jest zabezpieczenie właściwego funkcjonowania układu oddechowego (zastosowano wsparcie nieinwazyjne typu nCPAP), układu krążenia (ewentualnie aminy katecholowe) oraz wyrównanie zaburzeń metabolicznych (glikemii, kwasicy metabolicznej, zaburzeń jonowych). Wykładniki biochemiczne niedotlenienia stosunkowo szybko ulegają normalizacji, podobnie stan kliniczny dziecka. Istotne jest badanie obrazowe ośrodkowego układu nerwowego.

Badanie ultrasonograficzne jest badaniem pozwalającym na ocenę struktur mózgowia u noworodka. W przyszłości ewentualnie planujemy badania MRI lub/i EEG. Planujemy je, gdy wystąpią nieprawidłowe objawy neurologiczne (np. drgawki); obrazowanie ultrasonograficzne jest wtedy niewystarczające – brak możliwości oceny struktur znajdujących się w okolicy kory mózgu, w których u noworodków donoszonych mogą lokalizować się zmiany niedotlenieniowo-niedokrwienne (w badaniu wykonanym w trakcie hospitalizacji obserwowano wzmożoną echogeniczność okołokomorową). Ze względu na nieznacznie obniżone napięcie mięśniowe rozpoczęto rehabilitację wczesnorozwojową i zalecono jej kontynuację z dalszą kontrolą neurologiczną i laryngologiczną (badanie słuchu). 

Przypadek 3.

Noworodek płci żeńskiej o masie ciała 900 g (5. centyl według siatek Fenton) z CII PII urodzony jako bliźniak I, drogą cesarskiego cięcia ze wskazań: ciąża bliźniacza, nieprawidłowy zapis KTG, w 31. + 1/7 tygodniu ciąży, oceniony po 1/3/5/10 minucie na 1/2/3/4 punkty według skali Apgar. Czysty płyn owodniowy odpłynął podczas cięcia. W przebiegu ciąży – hospitalizacja w 26. tygodniu z powodu zagrażającego porodu przedwczesnego, a następnie w 30. tygodniu celem obserwacji w związku ze stwierdzaną ultrasonograficznie 40% różnicą w masach ciała bliźniąt. Podczas ciąży matka leczona również z powodu nadciśnienia tętniczego (z maksymalnymi wartościami 160/100 mmHg) oraz nawracających infekcji górnych dróg oddechowych. 

Noworodek urodzony w stanie ciężkim z czynnością serca ok. 70/min, bez czynności oddechowej, napięcia mięśniowego, areaktywny, blady. W postępowaniu resuscytacyjnym wykonano pięć oddechów rozprężających, a następnie podjęto wentylację dodatnimi, kontrolowanymi ciśnieniami (PIP 30, PEEP + 6 cm H2O), z koniecznością zwiększenia tlenu do 100%, nie uzyskując poprawy, wartości SaO2 ok. 85% W pierwszej gazometrii pH 7,01, pCO2 68 mmHg, pO2 12 mmHg, BE –14 mmol/l, glikemia 45 mg/dl, Hb 5,1 g/dl. Noworodka zaintubowano w 3. min życia, podano dotchawiczo surfaktant, kontynuowano wentylację, w trybie TCPL-A/C, zmniejszając parametry na podstawie wyników gazometrii i stanu klinicznego. RR średnie 25 mmHg. Wypełniono łożysko naczyniowe, podając bolus 0,9% NaCl w objętości 18 ml (20 ml/kg). Pobrano krew na badania pomocnicze, w tym posiew i morfologię w trybie pilnym. Z uwagi na czynniki ryzyka zakażenia włączono antybiotykoterapię skojarzoną. Ponadto podano witaminę K 0,5 mg domięśniowo, perfalgan, kofeinę. Włączono żywienie pozajelitowe. W uzyskanych wynikach badań laboratoryjnych Hb – 4,3 g/dl, Ht 13,3%, trombocytopenia 65 tys./ul, duża liczba erytroblastów. Dwukrotnie stosowano NUKKCz, uzyskując stopniowo wyrównanie wartości hemoglobiny do 14,0 g/dl. Po 3 dniach odstawiono antybiotykoterapię – ujemny wynik posiewu krwi i prawidłowe wykładniki stanu zapalnego. Wentylację nieinwazyjną kontynuowano po rozintubowaniu noworodka (2. d.ż.) kolejnych pięć dni, od 8. d.ż. dziecko pozostawało na oddechu własnym z tlenoterapią ok. 25%. Minimalne żywienie enteralne mlekiem matki stosowano od 2. d.ż. Żywienie pozajelitowe zakończono w 8. d.ż. 

W wykonanym w 1. d.ż. badaniu USG mózgowia asymetryczne poszerzenie komór bocznych mózgu. Stan po świeżym IVH II st. prawostronnie oraz przebytym wewnątrzmacicznie krwawieniu do komory bocznej lewej. Niewielka jama PVL w okolicy rogu czołowego komory bocznej prawej. Zwiększona echogeniczność okołokomorowa. Prawidłowe przepływy mózgowe. W kontrolowanym w kolejnych dniach hospitalizacji badaniu USG następowała ewolucja krwawień dokomorowych, nie obserwowano nasilenia PVL. W badaniu dna oka obserwowano stopniowy rozwój i wzrost naczyń pierwotnie nieunaczynionej siatkówki. Przesiewowe badanie słuchu wykonane metodą otoemisji akustycznej – prawidłowe. Odruchy noworodkowe odpowiednie do wieku skorygowanego, prawidłowa koordynacja odruchu ssania, połykania i oddychania, obniżone napięcie mięśniowe. Noworodek został wypisany do domu po 45 dniach hospitalizacji (w 38. tygodniu wieku skorygowanego, karmiony piersią, dokarmiany smoczkiem odciągniętym pokarmem matki). Zalecono suplementację żelaza i witamin oraz kontrolę USG głowy, a także konsultacje – neurologiczną, okulistyczną, laryngologiczną (badanie słuchu) oraz rehabilitację.

Komentarz do przypadku 3.
W omawianym przypadku noworodek pochodził z ciąży bliźniaczej, w czasie której rozpoznano nierównomierny wzrost płodów i podejrzewano TTTS (twin to twin syndrom). Masa ciała bliźniaka pierwszego stanowiła połowę masy ciała bliźniaka drugiego, który urodził się w stanie dobrym, bez zaburzeń oddychania. Dziecko urodziło się w stanie ciężkim, ocenione na 1/2/3/4 punkty według skali Apgar. W postępowaniu resuscytacyjnym wykonano pięć oddechów rozprężających, a następnie podjęto wentylację dodatnimi, kontrolowanymi ciśnieniami z koniecznością zwiększenia stężenia tlenu do 100%, nie uzyskując poprawy ani stanu klinicznego, ani wysycenia krwi tętniczej tlenem. Noworodka zaintubowano w 3 min życia. W pierwszej gazometrii pH 7,01, pCO2 68 mmHg, pO2 12 mmHg, BE -14 mmol/l, glikemia 45 mg/dl, Hb 5,1 g/dl. Po wypełnieniu łożyska naczyniowego (bolus 0,9% NaCl) podano dotchawiczo surfaktant, kontynuowano wentylację inwazyjną, w trybie TCPL-A/C, zmniejszając parametry na podstawie wyników gazometrii i stanu klinicznego. Po uzyskaniu wyników badań pomocniczych przetoczono dwukrotnie NUKKCz – potwierdzono bowiem skrajnie ciężką niedokrwistość na skutek zespołu podkradania w ciąży bliźniaczej. Po uzyskaniu właściwego stężenia hemoglobiny, jak również po podaży dotchawiczej surfaktantu uzyskano szybką poprawę wydolności oddechowej dziecka. Ze względu na ujemne wykładniki infekcyjne i jałowy posiew krwi po trzech dniach leczenia odstawiono antybiotykoterapię. W wykonanym badaniu USG głowy stwierdzono IVH II stopnia, do którego doszło wewnątrzmacicznie (krwawienie widoczne w badaniu wykonanym w pierwszej dobie po urodzeniu), kontrolne badania wykazywały zmiany okołokomorowe z niewielką jamką leukomalacyjną. Stan kliniczny dziecka pozostawał stabilny, zasadniczym problemem była nauka ssania i koordynacji oddychania z połykaniem – dziecko wymagało karmienia przez sondę założoną do żołądka. Po uzyskaniu przez dziecko masy ciała ok. 2000 g i ciągłej rehabilitacji wczesnorozwojowej karmienie zarówno smoczkiem, jak i z piersi stało się możliwe. Dziecko wypisano do domu po zaszczepieniu zgodnie z obowiązującym kalendarzem szczepień (Pentaxim, Synflorix, Euvax i BCG) z zaleceniem kontynuacji rehabilitacji, kontroli w poradni neurologicznej, laryngologicznej (badanie słuchu) i okulistycznej (badanie dna oka). Konieczna jest dalsza obserwacja rozwoju i kontrolne badania USG głowy z ewentualnym rozszerzeniem diagnostyki neurologicznej w razie konieczności (nieprawidłowe objawy neurologiczne).

Przypadek 4.

Noworodek płci żeńskiej o masie ciała 4630 g (> 97. centyla według siatek Fenton) z CII PII urodzony drogą cesarskiego cięcia w trybie pilnym (brak postępu porodu, zagrażająca zamartwica wewnątrzmaciczna płodu) po ukończeniu 40. + 3/7 tygodnia ciąży, oceniony po 1/3/5/10 minucie na 1/2/3/3 punkty według skali Apgar. Czysty płyn owodniowy odpłynął trzy godziny przed cięciem cesarskim, GBS u matki ujemny. Przebieg ciąży prawidłowy. Wywiad bez znaczenia.

Noworodek z cechami hipertrofii urodzony w stanie ciężkim, z czynnością serca ok. 60/min, bez czynności oddechowej, napięcia mięśniowego, areaktywny, blady. W postępowaniu resuscytacyjnym wykonano 5 oddechów rozprężających, a następnie podjęto wentylację dodatnimi, kontrolowanymi ciśnieniami (PIP 45, PEEP + 6 cm H2O), z koniecznością zwiększenia tlenu do 50%, nie uzyskując poprawy, wartości SaO2 ok. 88%. W pierwszej gazometrii pH 7,01, pCO2 65 mmHg, pO2 12 mmHg, BE –12 mmol/l, glikemia 65 mg dl. Noworodka zaintubowano w 3. min życia, kontynuując wentylację w trybie IMV (PIP 40, PEEP 5 cm H20, Fi02 50%). Monitorowane parametry w granicach normy Sa02 92%, czynność serca ok. 160/min. W 17. minucie życia uzyskano poprawę napięcia mięśniowego i odpowiedź na bodźce czuciowe i bólowe. Po założeniu wkłucia centralnego, podłączeniu elektrod aEEG, zakwalifikowano pacjenta do terapeutycznej hipotermii, którą rozpoczęto w 2. godz.ż. i kontynuowano 72 godziny. W trakcie terapii obserwowano zmienne napięcie mięśniowe, mimo stosowanej sedacji fenobarbitalem i sufentanylem z okresowo nieprawidłowym zapisem aEEG w 1. d.ż.

Ryc. 2. Leukomalacja okołokomorowa (PVL) 

Wyrównywano zaburzenia elektrolitowe, glikemię, włączono aminy katecholowe. Pełne żywienie pozajelitowe stosowano trzy doby z następowym minimalnym żywieniem enteralnym mlekiem matki. Antybiotykoterapię stosowano do czasu uzyskania wyniku posiewu krwi i normalizacji wykładników stanu zapalnego. Znacznie podwyższone aktywności enzymów LDH, CK, CK-MB, AlAT, AspAT w surowicy krwi utrzymywały się w 1. tyg.ż. W kolejnej dobie po zakończeniu hipotermii obserwowano stabilizację układu krążenia i oddechowego, od 5. doby oddech własny bez tlenoterapii. W wykonanym USG mózgowia w 1. d.ż.: układ komorowy nadnamiotowy symetryczny, nieposzerzony. Sploty naczyniaste normoechogeniczne, nieposzerzone. Przestrzenie płynowe przymózgowe wąskie. Szczelina pośrodkowa nieposzerzona, nieprzemieszczona. W kolejnych badaniach nie obserwowano zmian niedotlenieniowo-niedokrwiennych. W 7. dobie wykonano MRI mózgowia w sekwencjach typowych – T1 i T2 zależnych, w sekwencji FLAIR, DWI oraz SWI w płaszczyznach osiowej, czołowej, strzałkowej, bez dożylnego podania środka kontrastowego. Cechy opóźnionej drogi piramidowej. Poza tym mózgowie bez zmian ogniskowych. W sekwencji SWI nie uwidoczniono cech przebytego krwawienia. W sekwencji DWI EPI nie stwierdzono obszarów restrykcji dyfuzji odpowiadających świeżym zmianom niedokrwiennym. Niewielka jama przegrody przezroczystej. W badaniu okulistycznym – OPL – drobne wybroczyny podspojówkowe, poza tym odc. przedni w normie, soczewki przezierne. Dno OPL – tarcza n. II prawidłowa, biegun tylny w normie, naczynia rosną do końca II strefy. Badanie słuchu metodą otoemisji akustycznej – prawidłowe. Stan ogólny dziecka pozostawał dość dobry, napięcie mięśniowe znacznie obniżone, słaby odruch ssania i połykania, wymagał karmienia przez sondę dożołądkową. Po wdrożeniu wczesnej stymulacji odruchu ssania, stopniowo uzyskiwano poprawę i możliwość karmienia smoczkiem oraz próby przystawiania do piersi. Dziecko wypisane do domu w stanie średnim, karmione piersią i dokarmiane odciągniętym mlekiem matki butelką, przybierające na wadze, ze znacznie obniżonym napięciem mięśniowym, nieprawidłowo wykonujące odruchy odpowiednie do wieku skorygowanego z zaleceniem rehabilitacji, kontroli neurologicznej, laryngologicznej (badanie słuchu) i okulistycznej oraz kolejnego badania MRI za 2–3 miesiące.

Komentarz do przypadku 4.
W omawianym przypadku doszło do ciężkiego niedotlenienia okołoporodowego (ciężkiej zamartwicy) ze względu na bardzo dużą masę płodu i powikłania okołoporodowe. Dziecko pochodziło z ciąży drugiej, pierwsza ciąża zakończona porodem siłami natury. Matka zdecydowana na poród naturalny, ze względu jednak na brak postępu porodu i wahania tętna płodu wykonano cięcie cesarskie w trybie pilnym. Wahania tętna wynikały z nieprawidłowo położonej pępowiny uciskanej przez główkę płodu w czasie nasilania się czynności porodowej. Dziecko urodzone w stanie bardzo ciężkim, z czynnością serca poniżej 60 uderzeń/min, wiotkie, bez reakcji na bodźce i własnego oddechu. W gazometrii pH 7,01, BE -12mmol/l. Mimo podjęcia czynności resuscytacyjnych – intubacji, wentylacji inwazyjnej (PIP/PEEP 45/6 cm H20, Fi02 50% i uzyskania właściwego wysycenia tlenem krwi tętniczej – Sa02 88–92%, napięcie mięśniowe i odpowiedź na bodźce uzyskano po 15 minucie życia. Zdecydowano o zastosowaniu hipotermii leczniczej, rekomendowanej interwencji medycznej, która może zmniejszyć następstwa neurologiczne u noworodków urodzonych powyżej 35. tygodnia ciąży w zamartwicy okołoporodowej. Kryteriami, na podstawie których kwalifikujemy noworodki do hipotermii leczniczej, zostały ujęte w dwie grupy. Z grupy A – stwierdzenie albo niskiej punktacji według skali Apgar ≤ 5 w 1,3,5 lub 10 minucie, albo konieczności resuscytacji z użyciem maski lub rurki wewnątrztchawiczej w 10 minucie życia. Drugim kwalifikującym elementem jest wartość pH krwi pępowinowej lub w pierwszej godzinie życia poniżej 7,0, niemniej ze szczególną uwagą należy analizować wyniki w zakresie 7,01 do 7,15 albo wartość BE co najmniej 16 mmol/l we krwi pępowinowej lub w pierwszej godzinie życia. Jeżeli noworodek spełnia kryteria A, oceniamy kryteria neurologiczne, czyli wystąpienie co najmniej jednego z wymienionych czynników: hipotonia, nieprawidłowa reakcja na bodźce, brak lub słaby odruch ssania, drgawki. Badanie aEEG/EEG może być pomocne w podejmowaniu decyzji, ale w sytuacjach wątpliwych decydują kryteria kliniczne (B) i metaboliczne (A). U naszego pacjenta – punktacja według skali Apgar < 5 punktów w kolejnych minutach życia, pH 7,01 oraz hipotonia, nieprawidłowa reakcja na bodźce i brak odruchu ssania. Procedura chłodzenia powinna rozpocząć się tak szybko, jak to jest tylko możliwe, w opisywanym przypadku ze względu na możliwość zastosowania hipotermii w ośrodku macierzystym rozpoczęto chłodzenie w drugiej godzinie życia. Należy pamiętać o konieczności dowiezienia pacjenta do ośrodka hipotermii najpóźniej do szóstej godziny, najkorzystniej do trzeciej godziny życia. Procedura chłodzenia trwa 72 godziny, kolejną fazą jest ogrzewanie o ok. 0,5°C na godzinę. W trakcie hipotermii konieczne jest monitorowanie czynności życiowych pacjenta (Ekg, Sa02, NIBP, temperatury głębokiej, diurezy, aEEG/EEG), oznaczenia biochemiczne z markerami niedotlenienia, USG głowy, przepływy mózgowe, oraz codzienna ocena pacjenta według skali Thompsona.

Stan dziecka po zakończeniu hipotermii pozostawał dobry, od czwartej doby życia oddech własny – wydolny, nie obserwowano napadów drgawkowych, napięcie mięśniowe nieznacznie obniżone. Prawidłowe odruchy noworodkowe, prawidłowy odruch ssania, skoordynowany z oddychaniem i połykaniem. Wykonano badanie USG głowy dwukrotnie w pierwszym tygodniu życia, które nie wykazywało nieprawidłowości. Wykonano również MRI mózgowia w siódmej dobie życia, które również nie wykazało zmian niedotlenieniowo-niedokrwiennych.

Bardzo istotny jest stały nadzór neurologiczny, kontynuacja rehabilitacji i kontrola ultrasonograficzna, ale również za 2–3 miesiące kontrola MRI mózgowia, nawet jeżeli wykonane między 5. a 14. dniem życia 
nie wykazywało nieprawidłowości.

Piśmiennictwo załączone do artykułu dostępne w redakcji.

Przypisy

    POZNAJ PUBLIKACJE Z NASZEJ KSIĘGARNI