Kamica układu moczowego u dzieci

Studium przypadku

Kamica układu moczowego jest stanem chorobowym, w przebiegu którego w nerce lub drogach moczowych tworzą się złogi z substancji stanowiących prawidłowy lub patologiczny składnik moczu. Kamica u dzieci występuje rzadziej niż u dorosłych, choć z powodu słabiej wyrażonych objawów częstość jej występowania może być niedoszacowana. Kamica moczowa u dzieci jest najczęściej następstwem ogólnoustrojowych zaburzeń regulacji homeostazy, tak więc u każdego dziecka z rozpoznaną kamicą należy przeprowadzić badania biochemiczne w kierunku metabolicznych predyspozycji do tworzenia się złogów w drogach moczowych. Nawracająca kamica lub jej przyczyna mogą prowadzić do niewydolności nerek, dlatego tak ważne jest wnikliwe badanie, szybkie rozpoznanie, próba ustalenia przyczyny oraz leczenie objawowe i przyczynowe.

Kamica układu moczowego jest jedną z najstarszych znanych ludzkości chorób. Badania archeologiczne ujawniły obecność złogów w pęcherzach mumii egipskich datowanych na 4800 rok przed Chrystusem [1]. We wczesnym średniowieczu to objawy kliniczne decydowały o rozpoznaniu. Nie dziwi więc, że już wtedy kolki nerkowe towarzyszące kamicy, charakteryzujące się ogromnym bólem, przyciągały uwagę medyków. Pierwsze wzmianki o leczeniu kamicy dotyczyły „wycięcia złogów” u konających z bólu chorych. Przez lata zmieniała się postać kamicy – zmniejszyła się liczba złogów w pęcherzu i wzrosła liczba kamic nerkowych. Wśród sławnych osób dotkniętych kamicą można odnaleźć Michała Anioła, Ignacego z Loyoli, Ludwika XIV czy Napoleona Bonaparte [2].

Epidemiologia

Kamica moczowa jest szeroko rozpowszechnionym problemem na całym świecie. Częstość jej występowania jest zmienna w zależności od obszaru geograficznego. W Azji odsetek chorych dotkniętych kamicą oszacowano na 1–5%, w Europie 5–9%, w Ameryce Północnej 7–13% populacji. Największą chorobowość obserwuje się w Arabii Saudyjskiej, gdzie dotyczy ona 20% populacji [3, 4].
Chorobowość (ang. prevalence) i zapadalność (ang. incidence) na kamicę moczową wzrasta w całym świecie bez względu na wiek, płeć i rasę. Kluczowymi czynnikami wpływającymi na wzrost zapadalności i chorobowości mogą być zmiany praktyk żywieniowych oraz klimatu [5]. W badaniu niemieckim, porównującym występowanie kamicy moczowej w latach 1979 i 2000 u osób w wieku > 14 lat, liczba nowych chorych wzrosła ze 120 do 720 na 100 tys. mieszkańców, natomiast liczba ogółu chorych wzrosła z 4,0% do 4,7% populacji [6]. W pracach amerykańskich [7, 8] opisano wzrost chorobowości wśród mieszkańców USA z 3,8% (1976–1980) do 8,8% (2007–2010).
Występowanie kamicy moczowej u dzieci jest mniej powszechne niż u dorosłych, lecz w ostatnich dekadach, podobnie jak u dorosłych, obserwowano trend wzrostowy [9–11]. Ostatnie badania z 2014 r. z USA podają, że liczba przyjęć do szpitala z powodu kamicy górnych dróg moczowych wyniosła 0,12% wszystkich hospitalizacji w wieku dziecięcym [12].

Czynniki ryzyka wystąpienia kamicy u dzieci

Wiek – ryzyko pojawienia się złogów w drogach moczowych rośnie wraz z wiekiem [6, 10, 12–15].

  • Rasa kaukaska – w wielu badaniach obserwowano częstsze występowanie kamicy u dzieci rasy kaukaskiej niż u dzieci rasy czarnej [4, 11, 12].
  • Płeć – u dzieci, inaczej niż u dorosłych, nie ma zdecydowanej dominacji płci. W większości badań obserwuje się nieznaczną przewagę chłopców, szczególnie w najmłodszej grupie wiekowej, co może być związane z częstszym występowaniem wrodzonych wad układu moczowego u płci męskiej [11, 14, 16]. Mimo to niektóre badania wskazują na większą częstość kamicy u dziewcząt, z zachowaniem przewagi chłopców w młodszych grupach wiekowych [13, 17]. Pomimo częstszego występowania kamicy u dzieci płci męskiej w populacji amerykańskiej hospitalizacje związane z tym rozpoznaniem częściej dotyczyły płci żeńskiej [12].
  • Obciążony wywiad rodzinny – szacuje się, że około 30–80% dzieci z kamicą ma dodatni wywiad rodzinny w kierunku kamicy układu moczowego [13, 14, 18, 19].
  • Zaburzenia układu moczowego – wrodzone wady układu moczowego, zaburzenia czynnościowe pęcherza oraz towarzyszące im zakażenia predysponują do wystąpienia kamicy. Szacuje się, że kamica jest związana z zakażeniami układu moczowego w 20% przypadków. Zaobserwowano, że 70% dzieci, u których współwystępowała kamica i zakażenie układu moczowego, miało poniżej sześciu lat [14].
  • Nieprawidłowe nawyki żywieniowe – niska podaż płynów, wysokie spożycie białka zwierzęcego i soli oraz niskie spożycie warzyw i owoców jest związane ze zwiększonym wydalaniem wapnia i kwasu moczowego oraz zmniejszonym wydalaniem cytrynianów, a co za tym idzie większym ryzykiem wystąpienia złogów moczanowych lub fosforanowo-wapniowych [20]. U dzieci, inaczej niż u dorosłych, kamica nie łączy się z otyłością. Wykazano, że średnia wartość wskaźnika masy ciała (ang. Body Mass Index; BMI) u dzieci z kamicą jest mniejsza bądź równa pięćdziesiątemu centylowi BMI populacji ogólnej [14, 21].
  • Przyjmowane leki – niektóre leki i suplementy diety mogą wpływać na wydalanie składników mineralnych, zwiększając ryzyko litogenezy. Wśród nich wymieniane są m.in. kortykosteroidy, diuretyki, leki przeciwpadaczkowe, leki urykozuryczne, niektóre witaminy oraz niektóre antybiotyki [18, 22, 23]. Leki zwiększające ryzyko kamicy moczowej przedstawia tabela 1.
  • Zaburzenia metaboliczne – jest to czynnik ryzyka obecny w 75–84% przypadków kamicy u dzieci [18, 22]. Kamica może być związana z hiperkalciurią, hiperurykozurią, hiperoksalurią, cystynurią, hipomagnezurią oraz hipocitraturią. Najczęstszym metabolicznym czynnikiem ryzyka jest hiperkalciuria, która dotyczy 40–69% przypadków, [16, 18, 25] oraz hipocitraturia wykrywana u 37–60% pacjentów z kamicą [18, 26].
  • Długotrwałe unieruchomienie – unieruchomienie i poruszanie się na wózku inwalidzkim jest często związane z występowaniem kamicy układu moczowego [14, 27]. 
  • Wcześniactwo – czynnik ryzyka mobilizacji wapnia z kości i hiperkalciurii. Wykazano, że 10% pacjentów z kamicą urodziło się przedwcześnie (pomiędzy 24. a 36. tygodniem ciąży). U tych chorych kamicę rozpoznawano znacznie wcześniej niż u reszty populacji [14, 15].

Tab. 1. Leki zwiększające ryzyko kamicy [18, 22–24]

Grupa leków Lek Mechanizm działania wpływający na zwiększenie ryzyka litogenezy
Kortykosteroidy wszystkie kortykosteroidy osteopenia
działanie hiperkalciuryczne
Leki urykozuryczne probenecid działanie hiperurykozuryczne
Diuretyki  mannitol działanie hiperurykozuryczne
furosemid działanie hipernatriuretyczne i hiperkalciuryczne
triamteren krystalizacja leku w moczu z fizjologicznym pH
Sartany losartan działanie hiperurykozuryczne
NLPZ kwas acetylosalicylowy w wysokich dawkach działanie hiperurykozuryczne
Leki przeciwpadaczkowe topiramat

działanie hamujące anhydrazę węglanową w kanaliku bliższym – zwiększenie cewkowej reabsorpcji cytrynianów, hipocitraturia

zonisamid
Inhibitor anhydrazy węglanowej acetazolamid działanie hamujące anhydrazę węglanową w kanaliku bliższym – zwiększenie cewkowej reabsorpcji cytrynianów, hipocitraturia
Witaminy C działanie hiperoksaluryczne (witamina C jest metabolizowana do szczawianów), 
działanie obniżające pH moczu
D działanie nasilające hiperkalciurię
Antybiotyki amoksycylina krystalizacja leku w moczu o niskim pH
ciprofloksacyna krystalizacja leku w moczu o wysokim pH
Inhibitor proteazy HIV indynavir krystalizacja leku w moczu z fizjologicznym pH

Skład złogów

Najczęstszym składnikiem złogów u dzieci, szacowanym na 40–60% przypadków, jest szczawian wapnia, fosforan wapnia występuje w 10–20% przypadków, a złogi mieszane z obu powyższych składników dotyczą około 10–25% przypadków. Złogi struwitowe (magnezowo-amonowo-fosforanowe), związane z infekcją, odnajdywane są u 17–30% dzieci dotkniętych kamicą. Złogi cystynowe opisywane są w 6–10%, a z kwasu moczowego w 2–10% przypadków. Innymi rzadkimi składnikami złogów są np. ksantyna lub dihydroksyadenina [28].

Patofizjologia

Ogólne zasady krystalizacji
Tworzenie się złogów w moczu jest złożonym procesem zależnym od stężenia znajdujących się w moczu jonów, równowagi promotorów i inhibitorów krystalizacji oraz pH roztworu. Wśród inhibitorów krystalizacji wymienić można cytryniany, jony magnezu i difosforany. Stabilność roztworu jest zapewniona, gdy istnieje równowaga pomiędzy inhibitorami i promotorami krystalizacji, a stężenie nasycenia nie jest przekroczone. Proces krystalizacji zachodzi na drodze nukleacji (tworzenia jądra krystalizacji), wzrostu, agregacji i adhezji kryształów oraz epitaksji [29]. Nukleacja może być homogenna – gdy przekroczone zostanie stężenia nasycenia i dochodzi do tworzenia de novo jąder kryształów – albo heterogenna, gdy nieprzekroczone jest stężenie nasycenia, ale kryształy formują się na istniejącym jądrze krystalizacji, np. na innych kryształach, konglomeracie komórkowym lub bakteriach. 
W celu określenia ryzyka krystalizacji kolejno szczawianu wapnia i kwasu moczowego w moczu można skorzystać z ryciny 1a i 1b. Należy w tym celu połączyć linią prostą dwie zewnętrzne osie na każdym z wykresów (stężenie szczawianu wapnia w moczu i jego pH na rycinie 1a oraz kwasu moczowego i jego pH na rycinie 1b). Rzędna przecięcia tej prostej ze środkową osią wskaże ryzyko krystalizacji szczawianu wapnia (ryc. 1a) i kwasu moczowego (ryc. 1b). Jeśli wyznaczona linia krzyżuje się na osi rzędnych poniżej wartości 0, to znaczy, że roztwór jest nienasycony i wcześniej występujące w nim kryształy stworzone z danej substancji powinny się rozpuszczać. Jeśli linia krzyżuje się pomiędzy wartościami 0–1, to krystalizacja jest prawdopodobna, ale nie zachodzi spontanicznie, a jeśli powyżej 1, wówczas dochodzi do spontanicznej krystalizacji danej substancji w moczu.
Tak więc, w zależności od pH roztworu i stężenia nasycenia, dochodzi do krystalizacji i tworzenia się złogów w moczu. Aby zmniejszyć potencjał krystalizacji, możemy próbować zmieniać pH moczu, zwiększyć ilość rozpuszczalnika (przez zwiększenie podaży płynów) lub zwiększyć stężenie inhibitora litogenezy (np. do roztworu przesyconego, w którym formują się kryształy szczawianu wapnia, dodać cytryniany, które łącząc się z wapniem, zmniejszają jego potencjał krystalizacyjny). Im mniejszy jest początkowy wymiar zarodka kryształu, tym większa jest możliwość jego ponownego rozpuszczenia. 

Ryc. 1. Ryzyko krystalizacji: a) szczawianu wapnia i b) kwasu moczowego  w moczu [30]

Patofizjologiczne podstawy hiperkalciurii
Hiperkalciuria może przebiegać wtórnie do hiperkalcemii, gdy przekroczona zostanie zdolność wchłaniania zwrotnego wapnia przez cewki nerkowe. Wśród przyczyn hiperkalciurii przebiegającej z normokalcemią wyróżnia się hiperkalciurię sodozależną (nadmiar sodu hamuje reabsorpcję sodu i wapnia w kanaliku bliższym nefronu) oraz hiperkalciurię idiopatyczną. Hiperkalciuria idiopatyczna jest najczęstszym pierwotnym zaburzeniem metabolicznym towarzyszącym kamicy u dzieci i może przybierać trzy postaci, przedstawione na ryc. 2:

  • hiperkalciuria absorpcyjna – zależna od zwiększonej absorpcji jelitowej, 
  • hiperkalciuria nerkowa – zależna od zmniejszonej reabsorpcji nerkowej,
  • hiperkalciuria resorpcyjna – zależna od zwiększonej reabsorpcji kostnej wapnia. 

Hiperkalciuria absorpcyjna występuje najczęściej i może być zależna lub niezależna od aktywnego metabolitu witaminy D3 (1,25(OH)2D3). W tym typie hiperkalciurii pierwotnym problemem jest zwiększone wchłanianie wapnia w jelicie. W następstwie tego procesu może dojść do supresji parathormonu i zwiększonego wydalania wapnia z moczem celem zapewnienia homeostazy organizmu i normokalcemii. Wyróżniamy trzy podtypy hiperkalciurii absorpcyjnej. W typie drugim, w przeciwieństwie do typu pierwszego, kalciuria ulega normalizacji pod wpływem diety z ograniczeniem wapnia [31]. Typ trzeci hiperkalciurii absorpcyjnej jest związany z zaburzeniem reabsorpcji fosforanów w cewce proksymalnej nefronu, co prowadzi do wtórnej hipofosfatemii, zwiększonej syntezy kalcytriolu i nadmiernego wchłaniania wapnia w jelitach [32, 33]. 
W hiperkalciurii nerkowej pierwotnym mechanizmem jest defekt cewkowej reabsorpcji wapnia. W następstwie zwiększonej kalciurii dochodzi do podwyższenia poziomu PTH oraz kalcitriolu i wyrównawczej mobilizacji wapnia z kości [33, 34].
Postać resorpcyjna wynika z pierwotnej nadczynności przytarczyc i zwiększonej osteolizy [32].

Ryc. 2. Hiperkalciuria: a) absorpcyjna, b) nerkowa, c) resorpcyjna


Mechanizm powstawania złogów struwitowych
Tworzenie się złogów struwitowych związane jest ze wzrostem pH moczu (> 7,2) w obecności mikroorganizmów produkujących ureazę (np. Proteus vulgaris, mirabilis, Bordatella pertussis) oraz przekroczonym progiem nasycenia jonami magnezowymi, amonowymi i fosforowymi [33].

Objawy

Inaczej niż u dorosłych, objawy kamicy u dzieci mogą być bardzo subtelne lub wręcz mylnie wskazujące na inne jednostki chorobowe [35]. Przebieg choroby może być atypowy, a prezentowane objawy zmienne, w zależności od wieku dziecka [17]. U najmłodszych dzieci przebieg może być bezobjawowy (w 13–20% przypadków), a rozpoznanie stwierdzone przypadkowo, podczas obrazowych badań jamy brzusznej wykonywanych z innej przyczyny. Najczęstszym objawem prezentowanym u dzieci jest kolkowy lub niespecyficzny ból brzucha opisywany u 32–79% chorych. Ból w obrębie jamy brzusznej częściej towarzyszy kamicy u nastolatków niż u małych dzieci. Przyczyną może być częstsze występowanie kamicy nerkowej u młodszych dzieci, podczas gdy u starszych złogi zlokalizowane są częściej w moczowodach. Krwiomocz występuje w 27–55% przypadków. Może być on jedynym objawem kamicy lub łączyć się z wyżej opisanym bólem w okolicy jamy brzusznej. Jako samodzielny objaw częściej występuje u młodszych dzieci. Objawy dyzuryczne obserwuje się w około 10% przypadków. Mogą być one związane z zakażeniem układu moczowego, które jest obecne w około 36% przypadków kamicy, lub niezwiązane z zakażeniem układu moczowego, gdy złogi znajdują się w pęcherzu lub cewce moczowej. Zakażenia układu moczowego najczęściej kojarzą się z kamicą u małych dzieci. Wśród innych objawów wymienia się również nudności i wymioty występujące u około 10% dzieci [13, 14, 17, 18, 35–37].

Rozpoznawanie

Jak w każdej jednostce chorobowej, w przypadku kamicy bardzo ważne jest badanie podmiotowe i przedmiotowe. Aby zbliżyć się do rozpoznania kamicy układu moczowego, należy dokładnie zebrać wywiad chorobowy pacjenta, wywiad rodzinny oraz ocenić czynniki ryzyka kamicy. W badaniu przedmiotowym należy zwrócić uwagę na dane antropometryczne (zaburzenia wzrastania mogą towarzyszyć niektórym stanom związanym z kamicą, np. kwasicy cewkowej), ciepłotę ciała (wzrost temperatury może towarzyszyć zakażeniom układu moczowego współistniejącym z kamicą), tkliwość jamy brzusznej lub obecność guzów w jamie brzusznej w badaniu palpacyjnym oraz obecność objawu Goldflama.

Badania obrazowe

Aby potwierdzić rozpoznanie, konieczne jest uwidocznienie kamieni moczowych w badaniach obrazowych – ultrasonograficznym (USG), przeglądowym zdjęciu rentgenowskim (RTG), tomografii komputerowej (CT) bez użycia kontrastu lub rezonansie magnetycznym (MRI) jamy brzusznej. Badaniem pierwszego wyboru u dzieci jest badanie ultrasonograficzne [38–40]. Jest to badanie nieinwazyjne, nieemitujące promieniowania rentgenowskiego, tanie i dostępne w większości ośrodków medycznych. Ze względu na niskie BMI u dzieci, podczas wykonywania USG łatwiej niż u dorosłych uwidocznić można zmiany patologiczne. Ultrasonografia ma swoje ograniczenia, jak na przykład niewystarczające umiejętności radiologa, bardzo małe złogi (< 5–6 mm) oraz złogi znajdujące się w dystalnej części moczowodu lub w pęcherzu. 
Tomografia komputerowa jest badaniem czulszym i bardziej swoistym (czułość i swoistość sięgają 86–100%). Jest to badanie najczęściej wykonywane u dorosłych, jednak ze względu na emitowanie znacznej dawki promieniowania rentgenowskiego, jego użycie u dzieci powinno być ograniczone do sytuacji, w której obraz USG jest niezgodny z objawami klinicznymi oraz gdy jakość oceny ultrasonograficznej jest ograniczona [41].
Urografia techniką rezonansu magnetycznego jest badaniem rzadko używanym do oceny złogów. Większość kamieni moczowych prezentuje się jako bezsygnałowe, jednak hipointensywne zmiany nie są specyficzne i mogą być skutkiem skrzepów krwi lub polipów. W związku z tym jest to badanie mniej czułe i mniej swoiste niż tomografia komputerowa. Badanie to trwa długo, co wymagać może sedacji i niesie za sobą dodatkowe związane z nią ryzyko [42]. Ze względu na to, że w tej technice nie wykorzystuje się promieniowania rentgenowskiego, MRI jest np. badaniem drugiego wyboru (po USG) u kobiet ciężarnych [43]. Może być też wykorzystywane jako alternatywa dla CT w celu oceny dróg moczowych i zmniejszenia (u pacjentów z nawracającą kamicą) narażenia na promieniowanie rentgenowskie [44].
Badanie rentgenowskie jest badaniem tańszym, o większej dostępności niż badanie techniką tomografii komputerowej. Badanie to można rozważyć przy braku możliwości wykonania CT. Wykonanie obu badań, USG i RTG może zwiększyć czułość wykrywania złogów moczowodowych i pęcherzowych w stosunku do wykonywania tylko badania USG [38, 45]. Na przeglądowym zdjęciu rentgenowskim można uwidocznić złogi cieniujące, których wyrazistość różni się w zależności od zawartości substancji mineralnej w złogu. Najlepiej widoczne w badaniu RTG są złogi składające się ze szczawianu wapnia oraz z fosforanu wapnia, mniej wyraziste są złogi cystynowe i struwitowe. Złogi składające się z kwasu moczowego są złogami niecieniującymi w badaniu rentgenowskim. Czułość badania rentgenowskiego wynosi ok. 60%.

Tab. 2. Prawidłowe wartości oznaczeń w porcji moczu [46–50]

Składnik moczu Wiek Norma (mg/mg kreatyniny)
Wapń < 7. m.ż. < 0,8
7.–18. m.ż. < 0,6
19. m.ż.–6. r.ż. < 0,42
> 6. r.ż. < 0,21
Szczawiany < 6. m.ż. < 0,3
6.–24. m.ż. < 0,14
24. m.ż.–5. r.ż. < 0,08
6.–12. r.ż. < 0,06–0,065
Cytryniany < 5. r.ż. > 0,42
> 5. r.ż. > 0,25
Kwas moczowy > 2. r.ż. 
(brak dokładnych danych 
dla dzieci poniżej 2. r.ż.)

< 0,56 mg/dl GFR
Wzór: 

\(urykozuria [mg/dlGFR] = (kreatynina_{sur} [mg/dl] * kwas moczowy_{mocz} [mg/dl])/(kreatynina_{mocz} [mg/dl])\)

Badania laboratoryjne

W badaniach laboratoryjnych należy zwrócić szczególną uwagę na wykładniki funkcji nerek, oznaczając stężenie kreatyniny, cystatyny C oraz mocznika w osoczu. Dodatkowo należy oznaczyć stężenie kwasu moczowego, jonogram i elementy gospodarki wapniowo-fosforanowej (takie jak wapń, fosfor, metabolity witaminy D oraz parathormon). W kolejnych krokach należy wykonać badanie bakteriologiczne i ogólne moczu, ze szczególnym uwzględnieniem pH, badaniem osadu oraz osmolalności moczu. W badaniu mikroskopowym osadu moczu można uwidocznić kryształy cystyny, ksantyny oraz dihydroksyadeniny. Dostęp do ilościowego badania stężenia cystyny jest utrudniony, dlatego diagnostyka może się opierać na badaniu jakościowym – zwiększone wydalanie cystyny w moczu wykrywa się na podstawie dodatniego wyniku testu Mayera-Branda z nitroprusydkiem sodu [46]. Badanie składu kamienia wydalonego z dróg moczowych może ułatwić postępowanie diagnostyczne i zawęzić diagnostykę różnicową.
Najważniejszymi badaniami w kierunku metabolicznych czynników ryzyka kamicy są badania biochemiczne moczu pochodzącego z całodobowej zbiórki, najlepiej wykonanej dwukrotnie (jeśli pacjent opanował trening czystości) oraz w dwóch porcjach moczu przed posiłkiem mlecznym i po nim (szczególnie u małych dzieci i niemowląt, u których nie można wykonać 24-godzinnej zbiórki moczu). Badania te należy wykonywać po zakończeniu leczenia odkażającego i chirurgicznego ostrego epizodu kamicy oraz w trakcie stosowania diety normowapniowej należnej dla wieku. 
W porcji moczu należy obliczyć wskaźniki krystalizacji ze stosunku składników moczu do kreatyniny w moczu. Prawidłowe wartości oznaczeń w porcji moczu przedstawiono w tabeli 2. W dobowej zbiórce moczu ocenia się dobowe wydalanie składników moczu (wapnia, fosforu, magnezu, szczawianów, cytrynianów, kwasu moczowego, kreatyniny) oraz objętość, pH i osmolalność moczu. Przydatne wzory do obliczania niektórych składników moczu oraz ich normy są zawarte w tabeli 3.
W celu oceny cewkowego transportu fosforanów należy oznaczyć we krwi i w porcji moczu stężenia kreatyniny i fosforu nieorganicznego. Próbki krwi i moczu do badania należy pobrać na czczo lub, u niemowląt i małych dzieci, przed posiłkiem [52].
Aby zróżnicować typ hiperkalciurii u dzieci, wykonuje się test obciążenia wapniem według Paka w modyfikacji Stapletona [53, 54]. Schemat postępowania przy przeprowadzaniu testu przedstawiono na rycinie 3. Test ten przeprowadza się po minimum siedmiu dniach diety bezmlecznej i ubogosodowej. Należy pamiętać o zaprzestaniu w tym czasie suplementacji witaminy D3. 
Interpretację doustnego testu obciążenia wapniem przedstawiono w tabeli 4 [32, 54].

Tab. 3. Wzory do obliczania dobowego wydalania niektórych składników moczu oraz prawidłowe wartości oznaczeń w dobowej zbiórce moczu [49, 51]

Składnik moczu Wzór Wiek/płeć Norma
Wapń \(\frac{Ca[mmol]*40]}{mc[kg]} [mg/kg/doba]\)   < 4 mg/kg/dobę
Fosforany \(\frac{P[mmol]*31]}{mc[kg]} [mg/kg/doba]\)   10–12 mg/kg/dobę
TmR/GFR
oszacowanie cewkowego transportu fosforanów (ilość fosforanów reabsorbowanych z 1L przesączu kłębuszkowego)

\(\left\{\begin{matrix}TRP = (100-F_{ep}) = 1 - \frac{P_{mocz}*k_{sur}}{P_{sur}*k_{mocz}} \\ \frac{TmR}{GFR} = P_{sur} * TRP= P_{sur} * (\frac{P_{mocz}*k_{sur}}{P_{sur}*k_{mocz}}) \end{matrix}\right. \)

gdzie:
TRP – cewkowa reabsorpcja fosforu
TMP – wartość maksymalna TRP
GFR – filtracja kłębuszkowa
ksur/kmocz – kreatynina w surowicy/moczu
Psur/Pmocz – fosfor nieorganiczny w surowicy/moczu

< 3. m.ż.
< 6. m.ż.
2.–15. r.ż.
< 3,3 mmol/l
< 2,6 mmol/l
< 2,44
Magnez \(\frac{Mg[mmol]*24]}{mc[kg]} [mg/kg/doba]\)   > 2,6 mg/kg/dobę
Kwas moczowy \(\frac{kwas moczowy[mg]}{mc[kg]} [mg/kg/doba]\) > 10. r.ż. < 10 mg/kg/dobę
2.–10. r.ż. < 15 mg/kg/dobę
< 2. r.ż. 20 mg/kd/dobę
Sód     < 2 mmol/kg/dobę
Cytryniany Chłopcy
Dziewczęta
  > 1,9 mmol/1,73 m2/dobę
> 1,6 mmol/1,73 m2/dobę
Szczawiany     < 40 mg/1,73m2/dobę
pH     5,5–6,8

Ryc. 3. Schemat postępowania w trakcie testu Paka w modyfikacji Stapletona

Leczenie zachowawcze

U wszystkich dzieci z kamicą moczową należy zwiększyć podaż płynów celem zwiększenia ilości rozpuszczalnika w moczu, zmniejszenia stężenia substratów litogenezy i, co za tym idzie, zmniejszenia potencjału krystalizacji. Wszystkie dzieci ze stwierdzoną infekcją układu moczowego należy leczyć przeciwbakteryjnie, najpierw empirycznie, a następnie zgodnie z uzyskanym antybiogramem. U dzieci z objawami kolki nerkowej należy wdrożyć leczenie przeciwbólowe (niesteroidowe leki przeciwzapalne – NLPZ, paracetamol, opioidy). Leki przeciwwymiotne zaleca się włączyć przy towarzyszących kamicy wymiotom (ondansetron). W niektórych przypadkach kamicy zaleca się też zmianę diety na niskosodową, ze zwiększeniem produktów alkalizujących mocz (warzywa i owoce, w tym głównie cytrusy zawierające cytryniany). Należy pamiętać, aby dieta była odpowiednio zbilansowana i dostosowana do wieku dziecka. Składniki pokarmowe potrzebne do wzrostu i rozwoju młodego organizmu nie powinny być ograniczane (wapń, mikroelementy, kalorie, białko). W tabeli 5 przedstawiono leczenie poszczególnych typów kamicy u dzieci.
Tiazydy w hiperkalciurii należy rozważyć przy braku skuteczności leczenia niefarmakologicznego i nawracającej kamicy. Ich działanie polega na zwiększeniu reabsorpcji wapnia w cewce dystalnej i obniżenia kalciurii. Przed rozpoczęciem leczenia hydrochlorotiazydem należy wykluczyć hiperkalcemię oraz hieperkalciurię sodozależną.
Dawkę leku w tym wskazaniu należy dobierać indywidualnie, ze względu na duże osobnicze zróżnicowanie reakcji farmakodynamicznych. 
Próba samoistnego wydalenia złogów
Przy determinacji pacjenta i niewielkim rozmiarze złogu podejmuje się próbę stymulacji samoistnego wydalenia kamieni. Szacuje się, że 60–64% złogów wielkości do 5 mm może być wydalona samoistnie [17, 58]. W tym celu pacjent musi przyjmować bardzo duże ilości płynów, leki rozkurczowe (drotaweryna), alfa-blokery (tamsulozyna) i blokery kanału wapniowego (nifedypina) oraz leki przeciwbólowe (NLPZ, paracetamol, opioidy). Udowodniony korzystny wpływ alfa-blokerów i blokerów receptorów wapniowych na wydalenie i przyspieszenie pasażu złogów może zależeć od obecności receptorów alfa-1a, alfa-1d i receptorów kanałów wapniowych w jednej trzeciej dalszej moczowodu i w połączeniu moczowodowo-pęcherzowym [59].
W trakcie próby wydalenia złogów mocz powinien być filtrowany. Wyłapane w ten sposób złogi powinny być przesłane do laboratorium na badanie jakościowe lub ilościowe. 

Tab. 4. Interpretacja doustnego testu wapniem według Paka w modyfikacji Stapletona

Typ hiperkalciurii I zbiórka moczu
stosunek Ca/kreatynina [mg/mg]
II zbiórka moczu
stosunek Ca/kreatynina [mg/mg]
Absorpcyjna < 0,21 > 0,28
Nerkowa > 0,21 > 0,28
Resorpcyjna < 0,21 Bz

Tab. 5. Leczenie zaburzeń metabolicznych towarzyszących kamicy u dzieci [33, 47, 50, 55–57]

Etiologia Leczenie niefarmakologiczne Leczenie farmakologiczne
Hiperkalciuria
  • dieta normowapniowa
  • dieta niskosodowa
  • unikanie nadmiernej podaży białka zwierzęcego
  • normalizacja stężenia witaminy D3 w surowicy, zaprzestanie suplementacji przy podwyższonym stężeniu kalcitriolu w surowicy
  • wzmożona aktywność fizyczna
  • cytrynian potasu 50 mEq/1,73m2/dobę
  • tiazydy 
  • 0,2–1 mg/kg/dobę w 2–3 dawkach podzielonych
  • bisfosfoniany
Hipocitraturia
  • wzrost spożycia warzyw i owoców, głównie cytrusów (w celu zwiększenia ilości cytrynianów w diecie)
  • unikanie nadmiernej podaży białka
  • alkalizacja moczu
  • cytrynian potasu
  • dwuwęglany
Hiperoksaluria
  • dieta ubogoszczawianowa
  • dieta normowapniowa
  • probiotyki
  • unikanie suplementacji witaminy C
  • pirydoksyna
  • cytrynian potasu
  • magnez
Złogi purynowe
  • dieta ubogopurynowa
  • allopurinol
Hiperurykozuria
  • dieta ubogopurynowa
  • dieta niskosodowa
  • alkalizacja moczu
  • unikanie nadmiernej podaży białka
  • obfita podaż płynów
  • cytrynian potasu
  • allopurinol
  • dwuwęglany
Cystynuria
  • dieta niskosodowa
  • obfita podaż płynów
  • tiopronina 
  • penicylamina 
  • kaptopryl

Leczenie chirurgiczne

Wśród technik chirurgicznych wymienić możemy litotrypsję falą uderzeniową generowaną pozaustrojowo (ESWL; ang. Extracorporeal Shock Wave Lithotripsy), ureteroskopię, nefrolitotomię przezskórną (PCNL; ang. Percutaneous Nephrolithotomy) oraz otwarte techniki operacyjne. 
ESWL jest leczeniem preferowanym w populacji pediatrycznej. Jest to technika mało inwazyjna, o dużej skuteczności używana do rozbijania małych złogów (do 2 cm średnicy) znajdujących się w górnych drogach moczowych, z dostępu zewnątrzustrojowego. Zabieg przeprowadzany jest w sedoanalgezji, znieczuleniu ogólnym lub bez konieczności znieczulenia w zależności od wieku dziecka. Skuteczność tego zabiegu szacuje się na 57–92%. Wśród działań niepożądanych wymienia się: bolesność w okolicy miejsca zabiegu, krwiaki skóry i mięśni szkieletowych, krwiaki okołonerkowe, krwiomocz, zakażenia układu moczowego, urosepsa (szczególnie u dzieci z wcześniejszym zakażeniem układu moczowego), przejściowe nieznaczne podwyższenie kreatyniny i fosfokinazy (związane z pojawieniem się krwiaków w mięśniach szkieletowych) [60]. Ze względu na brak danych dotyczących potencjalnego wpływu fali uderzeniowej na jajniki, należy unikać stosowania zabiegów ESWL u dziewcząt ze złogami w moczowodach [61]. 
Ureteroskopia jest zabiegiem endoskopowym, podczas którego złogi są usuwane za pomocą koszyczka lub rozkruszane za pomocą litotrypsji laserowej lub ultradźwiękowej. Endoskopowe usuwanie złogów wykorzystywane jest do większych złogów (> 2 cm) znajdujących się w moczowodach i nerkach. Zabieg jest przeprowadzany w znieczuleniu ogólnym i niesie ze sobą większe ryzyko powikłań. Wśród nich wymienia się perforację moczowodu, powstanie odpływów pęcherzowo-moczowodowych, ból cewki, objawy dyzuryczne.
PCNL jest metodą leczenia rzadko stosowaną u dzieci, zarezerwowaną dla większych złogów, które blokują odpływ moczu oraz dla złogów niepoddających się terapii ESWL. Zabieg przeprowadzany jest w znieczuleniu ogólnym. Działania niepożądane obejmują gorączkę, zakażenie układu moczowego, krwawienie z nefrostomii, uszkodzenie struktur sąsiednich, np. jelit.
Otwarte operacje są przeprowadzane głównie u dzieci z zaburzeniami anatomicznymi oraz z rozgałęzionymi złogami, jak np. w kamicy odlewowej. Szacowana nawrotowość kamicy moczowej u dzieci sięga 16–19%, a u tych z rozpoznanym czynnikiem metabolicznym ryzyka aż do 50%, dlatego techniki operacyjne powinny być zawsze połączone z następowym profilaktycznym postępowaniem zachowawczym oraz częstszymi kontrolami biochemicznymi i obrazowymi [58, 62].

Przypadek kliniczny 

W kwietniu 2016 r. do Kliniki Nefrologii, Transplantacji Nerek i Nadciśnienia Tętniczego IPCZD zgłosiła się dwunastoletnia dziewczynka z nawracającymi epizodami krwiomoczu. W wywiadzie chorobowym u pacjentki steroidooporny zespół nerczycowy rozpoznany w 2006 roku, leczony mykofenolanem mofetylu (MMF) (od 2012 roku) oraz takrolimusem (od 2014 roku). Wywiad rodzinny dziewczynki jest nieobciążony chorobami i wadami układu moczowego. W przeciągu pół roku (od listopada 2015 do kwietnia 2016 roku) u pacjentki zaobserwowano nawracające epizody krwiomoczu ze średnią częstotliwością jednego, około trzydniowego epizodu w miesiącu, bez dodatkowych dolegliwości. Rodzice negowali występowanie zakażeń układu moczowego. W badaniu przedmiotowym nie stwierdzono odchyleń, badanie w obrębie jamy brzusznej nie uwidoczniło nieprawidłowości – brzuch był miękki, niebolesny, perystaltyka była zachowana, objaw Goldflama był ujemny. 
W wykonanych badaniach laboratoryjnych zaobserwowano prawidłowe parametry funkcji nerek (stężenie kreatyniny – 0,51 mg/dl, mocznika – 26,1 mg/dl, kwasu moczowego –4,2 mg/dl), prawidłową morfologię oraz brak zaburzeń w układzie krzepnięcia. Jonogram oraz gazometria były w normie, a wykładniki stanu zapalnego ujemne. Z odchyleń obserwowano nieznaczną hipercholesterolemię. 
W badaniu ultrasonograficznym jamy brzusznej, wykonanym przy przyjęciu na oddział, opis układu moczowego był prawidłowy, bez anatomicznych cech zespołu dziadka do orzechów. Wykluczono zakażenie układu moczowego – posiew moczu w kierunku bakterii tlenowych, beztlenowych i grzybów był jałowy. Wykluczono gruźlicze zakażenie układu moczowego. W badaniu ogólnym moczu obserwowano bardzo liczne fosforany bezpostaciowe oraz erytrocyturię. Wszystkie krwinki zaobserwowane pod mikroskopem kontrastowo-fazowym były o dużych zmianach kształtu.
W związku z przyjmowanymi przez pacjentkę lekami immunosupresyjnymi wykonano badania w kierunku krwotocznego zapalenia pęcherza – w badaniu moczu nie wykryto komórek Decoy, w badaniu surowicy i moczu nie wykryto DNA wirusa BK. 
Ze względu na wywiad cyklicznego (raz w miesiącu) występowania krwiomoczu dziewczynkę skonsultowano ginekologicznie. W badaniu przedmiotowym nie obserwowano cech krwawienia. W badaniu ultrasonograficznym macicy i jajników opisany obraz był prawidłowy i odpowiedni do wieku.
W badaniach biochemicznych w kierunku metabolicznych predyspozycji do tworzenia się złogów moczowych wykonanych w trakcie diety z należną dla wieku ilością wapnia zaobserwowano podwyższony wskaźnik wapniowo-kreatyninowy w porcji moczu pobranej na czczo. W dobowej zbiórce moczu obserwowano hiperkalciurię (7,24 mg//kg/dobę) przy prawidłowym dobowym wydalaniu sodu (1,76 mmol/kg/dobę), hiperfosfaturię (14,31 mg/kg/dobę) oraz hipocitraturię (10, 35 mcmol/kg/dobę). Oceniono cewkową reabsorpcję fosforu, która była w normie dla wieku i wynosiła 1,4 mmol/l.
Oceniono gospodarkę wapniowo-fosforanową w surowicy, uzyskując wyniki normokalcemii i normofosfatemii. Oznaczono metabolity witaminy D3: stężenie 25OHD3 było suboptymalne (27,3 ng/ml), podczas gdy stężenie 1,25OH2D3 było podwyższone (102,2 pg/ml), stężenie PTH (15,7 pg/ml) było w normie. Po siedmiu dniach diety bezmlecznej przeprowadzono u dziewczynki test obciążenia wapniem i rozpoznano hiperkalciurię absorpcyjną typu I ze zwiększoną syntezą aktywnego metabolitu witaminy D3. W badaniu densytometrycznym gęstość kośćca odpowiadała wąskiej normie wiekowej. 
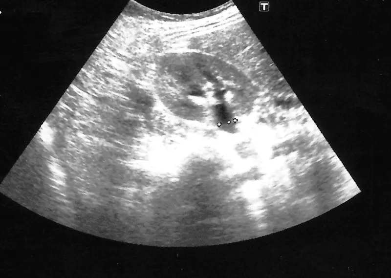
W kontrolnym badaniu USG nie uwidoczniono złogów, jednak zaobserwowano poszerzenie miedniczki i kielichów nerki prawej przedstawione na rycinie 4. 
W wykonanym następnie badaniu scyntygraficznym obserwowano symetryczne, równomierne rozmieszczenie znacznika w miąższu oraz nieco zwolnione wydalanie z nerki prawej. Dodatkowo uwidoczniono poszerzenie układu kielichowo-miedniczkowego i moczowodu po stronie prawej, przedstawione na rycinie 5.
W związku z poszerzeniem układu kielichowo-miedniczkowego w badaniu USG i scyntygraficznym i utrzymującym się krwiomoczem zadecydowano o wykonaniu cystografii mikcyjnej. 
W badaniu tym uwidoczniono prawidłowy pęcherz, z możliwością występowania złogu cieniującego w rzucie moczowodu prawego. Zdjęcie RTG wykonane w trakcie cystografii z widocznym złogiem przedstawiono na rycinie 6. 
W powtórzonym badaniu USG, zaprezentowanym na rycinie 7, uwidoczniono złóg lub konglomerat drobnych złogów o wymiarach 8 x 3 mm w przypęcherzowym odcinku prawego moczowodu w odległości około 1 cm od pęcherza oraz powyżej niego widoczny poszerzony moczowód szerokości 6–8 mm. W kielichach środkowych nerki prawej uwidoczniono złóg wielkości 5 mm.
Z uwagi na mały rozmiar złogów zadecydowano o podjęciu próby leczenia zachowawczego, wypisano dziewczynkę do domu z zaleceniami obfitej podaży płynów około 3–4 l/dobę oraz przyjmowania leków rozkurczowych drotaweryny oraz tamsulozyny w dawkach odpowiednio 3 x 40 mg oraz 1 x 0,4 mg. 
Po 14-dniowej kontroli z uwagi na kolejny epizod krwiomoczu i stałą obecność złogów w moczowodzie i nerce prawej zakwalifikowano dziewczynkę do zabiegu litotrypsji w trakcie ureterorenoskopii (URSL).
Celem zapobiegania nawrotom kamicy przy rozpoznanej hiperkalciurii wydano dziewczynce zalecenia dietetyczne dotyczące podaży wapnia w ilościach należnych dla wieku i rozłożonych w regularnych odstępach czasu z niską podażą soli kuchennej. Z uwagi na hipocitraturię włączono do leczenia cytrynian potasu w dawce 3 x 680 mg.
Od tego czasu dziewczynka stosuje się do zaleceń dietetycznych oraz przyjmuje cytrynian potasu w dawce zwiększonej pod kontrolą badań biochemicznych moczu do dawki 5 x 680 mg. W ciągu dwuipółletniego okresu obserwacji u dziewczynki nie nawróciły kolejne epizody krwiomoczu, a w badaniach ultrasonograficznych jamy brzusznej powtarzanych co sześć miesięcy nie obserwowano cech kamicy układu moczowego.

Ryc. 4. Poszerzona miedniczka i kielichy nerki prawej

Ryc. 5. Scyntygrafia dynamiczna nerek – poszerzenie prawego moczowodu

Ryc. 6. Badanie cystografii mikcyjnej, faza po mikcji – widoczny złóg w rzucie prawego moczowodu

Ryc. 7. Obraz USG z a) widocznym złogiem/konglomeratem złogów w przypęcherzowym odcinku moczowodu i b) z poszerzeniem moczowodu powyżej złogu

Bibliografia

  1. Shah J., Whitfield H., Urolithiasis through the ages. BJU International. 2002;89(8):801–810.
  2. Eknoyan G., History of urolithiasis. Clinical reviews in bone and mineral metabolism. 2004;2(3):177–185.
  3. Ramello A., Vitale C., Marangella M. Epidemiology of nephrolithiasis. Journal of Nephrology. 2001;13:S45–S50.
  4. Sorokin I., Mamoulakis C., Miyazawa K., et al. Epidemiology of stone disease across the world. World Journal of Urology. 2017;35(9):1301–1320.
  5. Romero V., Akpinar H., Assimos D.G., Kidney stones: a global picture of prevalence, incidence, and associated risk factors. Reviews in Urology. 2010;12(2-3):86.
  6. Hesse A., Brändle E., Wilbert D., et al. Study on the prevalence and incidence of urolithiasis in Germany comparing the years 1979 vs. 2000. European Urology, 2003;44(6):709–713.
  7. Stamatelou K.K., Francis M.E., Jones C.A., et al. Time trends in reported prevalence of kidney stones in the United States: 1976–19 941. Kidney International. 2003;63(5):1817–1823.
  8. Scales C.D., Smith A.C., Janet M. Hanley, et al. Prevalence of kidney stones in the United States. European Urology, 2012;62(1):160–165.
  9. Johnson C.M., Wilson D.M., O’Fallon W.M., et al. Renal stone epidemiology: a 25-year study in Rochester, Minnesota. Kidney International. 1979;16(5):624–631.
  10. Bush N.C., Xu L., Brown B.J., et al., Hospitalizations for pediatric stone disease in United States, 2002–2007. The Journal of Urology. 2010;183(3):1151–1156.
  11. Routh J.C., Graham D.A., Nelson C.P., Epidemiological trends in pediatric urolithiasis at United States freestanding pediatric hospitals. The Journal of Urology. 2010;184(3):1100–1105.
  12. Modi P.K., Kwon Y.S., Davis R.B., et al. Pediatric hospitalizations for upper urinary tract calculi: Epidemiological and treatment trends in the United States. 2001–2014. Journal of pediatric urology. 2017.
  13. Milliner D.S., Murphy M.E. Urolithiasis in pediatric patients. in Mayo Clinic Proceedings. Elsevier. 1993. 
  14. Issler N., Dufek S., Kleta R., et al. Epidemiology of paediatric renal stone disease: a 22-year single centre experience in the UK. BMC Nephrology. 2017;18(1):136.
  15. Schell-Feith E.A., Kist-van Holthe J.E., Van der Heijden A.J. Nephrocalcinosis in preterm neonates. Pediatric Nephrology. 2010;25(2):221–230.
  16. Stapleton F.B., McKay C.P., Noe H.N. Urolithiasis in children: the role of hypercalciuria. Pediatric Annals. 1987;16(12):980–992.
  17. Kalorin C.M., Zabinski A., Okpareke I. Pediatric urinary stone disease – does age matter? The Journal of Urology. 2009;181(5) 2267–2271.
  18. Spivacow F.R., Negri A.L., Del Valle E.E., et al. Metabolic risk factors in children with kidney stone disease. Pediatric Nephrology. 2008;23(7):1129–1133.
  19. Noe H.N., Stapleton F.B., Jerkins G.R., et al. Clinical experience with pediatric urolithiasis. The Journal of Urology. 1983;129(6):1166–1168.
  20. Fegan J., Khan R., Poindexter J., et al. Gastrointestinal citrate absorption in nephrolithiasis. The Journal of Urology. 1992:147(5):1212–1214.
  21. Dwyer M.E., Krambeck A.E., Bergstralh E.J., et al. Temporal trends in incidence of kidney stones among children: a 25-year population based study. The Journal of Urology. 2012;188(1):247–252.
  22. Cameron M.A., Sakhaee K., Moe O.W., Nephrolithiasis in children. Pediatric Nephrology. 2005;20(11):1587–1592.
  23. Ferraro P.M., Curhan G.C., Gambaro G., et al. Total, dietary, and supplemental vitamin C intake and risk of incident kidney stones. American Journal of Kidney Diseases. 2016;67(3):400–407.
  24. Daudon M., Jungers P. Drug-induced renal calculi. Drugs. 2004;64(3):245–275.
  25. Lieberman E. Importance of metabolic contributions to urolithiasis in pediatric patients. in Mayo Clinic Proceedings. Elsevier. 1993. 
  26. Tefekli A., Esen T., Ziylan O., et al. Metabolic risk factors in pediatric and adult calcium oxalate urinary stone formers: is there any difference? Urologia Internationalis. 2003;70(4):273–277.
  27. Korkes F., Segal A.B., Heilberg I.P., et al. Immobilization and hypercalciuria in children. Pediatric Nephrology. 2006;21(8):1157–1160.
  28. Edvardsson V.O., Goldfarb D.S., Lieske J.C., et al. Hereditary causes of kidney stones and chronic kidney disease. Pediatric Nephrology. 2013;28(10):1923–1942.
  29. Aggarwal K.P., Narula S., Kakkar M., et al. Nephrolithiasis: molecular mechanism of renal stone formation and the critical role played by modulators. BioMed Research International. 2013.
  30. Marshall R., Robertson W. Nomograms for the estimation of the saturation of urine with calcium oxalate, calcium phosphate, magnesium ammonium phosphate, uric acid, sodium acid urate, ammonium acid urate and cystine. Clinica Chimica Acta. 1976;72(2):253–260.
  31. Pak C.Y., Sakhaee K., Moe O.W., et al. Defining hypercalciuria in nephrolithiasis. Kidney International. 2011;80(7):777–782.
  32. Kamińska A, Bieroza I, Hiperkalciuria–najczęstsze zaburzenie metaboliczne u dzieci z kamicą nerkową. Nowa Pediatria. 2011;2:49-52.
  33. Sakhaee K., Maalouf N.M., Sinnott B., Kidney stones 2012: pathogenesis, diagnosis, and management. The Journal of Clinical Endocrinology & Metabolism. 2012; 97(6):1847–1860.
  34. Wróblewski T., Wystrychowski A. Hyperkalciuria. Przegląd lekarski. 2011;68(2):107–13.
  35. VanDervoort K., Wiesen J., Frank R., et al. Urolithiasis in pediatric patients: a single center study of incidence, clinical presentation and outcome. The Journal of Urology. 2007;177(6):2300–2305.
  36. Churchill D., Maloney C.M., Nolan R., et al. Pediatric urolithiasis in the 1970 s. The Journal of Urology. 1980;123(2):237–238.
  37. Gearhart J.P., Herzberg G.Z., Jeffs R.D. Childhood urolithiasis: experiences and advances. Pediatrics. 1991.87(4):445-450.
  38. Colleran G C, Callahan M J, Paltiel H J, et al. Imaging in the diagnosis of pediatric urolithiasis. Pediatric Radiology. 2017;47(1):5–16.
  39. Fulgham P.F., Assimos D.G., Pearle M.S., et al. Clinical effectiveness protocols for imaging in the management of ureteral calculous disease: AUA technology assessment. The Journal of Urology. 2013;189(4):1203–1213.
  40. Riccabona M., Avni F.E., Blickman J.G., Dacher J.N., et al. Imaging recommendations in paediatric uroradiology: minutes of the ESPR workgroup session on urinary tract infection, fetal hydronephrosis, urinary tract ultrasonography and voiding cystourethrography, Barcelona, Spain, June 2007. Pediatric Radiology. 2008;38(2):138–145.
  41. Passerotti C., Chow J.S., Silva A., et al. Ultrasound versus computerized tomography for evaluating urolithiasis. The Journal of Urology. 2009;182(4):1829–1834.
  42. Cerwinka W.H., Grattan-Smith J.D., Kirsch A.J. Magnetic resonance urography in pediatric urology. Journal of Pediatric Urology. 2008;4(1):74–83.
  43. Masselli G., Derme M., Laghi F., et al. Imaging of stone disease in pregnancy. Abdominal Imaging. 2013;38(6):1409–1414.
  44. Jung P., Brauers A., Nolte-Ernsting C.A., et al. Magnetic resonance urography enhanced by gadolinium and diuretics: a comparison with conventional urography in diagnosing the cause of ureteric obstruction. BJU International. 2000;86(9): 960–965.
  45. Nimkin K., Lebowitz R.L., Share J.C., et al. Urolithiasis in a children’s hospital: 1985–1990. Urologic Radiology. 1992;14(1):139–143.
  46. Zawadzki J. Kamica nerkowa w praktyce pediatrycznej. Komentarz do publikacji Renal stones in paediatric practice J. Humphreys, R.J. Coward. Medycyna Praktyczna Pediatria. 2012;2012/2.
  47. Hernandez J.D., Ellison J.S., Lendvay T.S. Current trends, evaluation, and management of pediatric nephrolithiasis. JAMA Pediatrics, 2015;169(10):64‑970.
  48. Matos V., Van Melle G., Boulat O., et al. Urinary phosphate/creatinine, calcium/creatinine, and magnesium/creatinine ratios in a healthy pediatric population. The Journal of Pediatrics. 1997;131(2):252–257.
  49. Hoppe B., Kemper M.J. Diagnostic examination of the child with urolithiasis or nephrocalcinosis. Pediatric Nephrology. 2010;25(3):403–413.
  50. Humphreys J., Coward R. Renal stones in paediatric practice. Paediatrics and Child Health. 2010;20(6):279–285.
  51. Sikora P., Bieniaś B., Wieczorkiewicz-Płaza A., et al. Ocena dobowego wydalania cytrynianu z moczem u zdrowych dzieci w wieku przedszkolnym i szkolnym. Medycyna Ogólna i Nauki o Zdrowiu, 2013;19(1).
  52. Zawadzki J. Kamica układu moczowego u dzieci. Medycyna praktyczna. 2013. 
  53. Pak C.Y., Kaplan R., Bone H., et al. A simple test for the diagnosis of absorptive, resorptive and renal hypercalciurias. New England Journal of Medicine. 1975;292(10):497–500.
  54. Stapleton F.B., Noe H.N., Jerkins G., Roy S., et al. Urinary excretion of calcium following an oral calcium loading test in healthy children. Pediatrics. 1982;69(5):594–597.
  55. Strologo L.D., Laurenzi C., Legato A., Pastore A., et al. Cystinuria in children and young adults: success of monitoring free-cystine urine levels. Pediatric Nephrology. 2007;22(11):1869–1873.
  56. Arrabal-Polo M.A., Del Carmen Cano-García M., Canales B.K., et al. Calcium nephrolithiasis and bone demineralization: pathophysiology, diagnosis, and medical management. Current Opinion in Urology, 2014;24(6):633–638.
  57. Gadomska K. Leczenie zachowawcze kamicy układu moczowego. Przegląd Urologiczny. 2007;2007/3.
  58. Pietrow P.K,. Pope J.C., Adams M.C., et al. Clinical outcome of pediatric stone disease. The Journal of urology. 2002;167(2):670–673.
  59. Hollingsworth J.M., Rogers M.A.M., Kaufman S.R., et al. Medical therapy to facilitate urinary stone passage: a meta-analysis. The Lancet. 2006;368(9542):1171–1179.
  60. Newman D.M., Coury T., Lingeman J.E., et al. Extracorporeal shock wave lithotripsy experience in children. The Journal of Urology. 1986;136(1):238–240.
  61. Schultz-Lampel D., Lampel A. The surgical management of stones in children. BJU International. 2001;87(8):732–740.
  62. Diamond D.A., Menon M., Lee P.H., et al. Etiological factors in pediatric stone recurrence. The Journal of Urology. 1989;142(2):606–608.
     

Przypisy

    POZNAJ PUBLIKACJE Z NASZEJ KSIĘGARNI