Aspiracja ciała obcego – pułapka w diagnostyce zapalenia płuc u dzieci

Studium przypadku

Opis przypadku niespełna dwuletniego chłopca, który był leczony w oddziale pediatrycznym z powodu zapalenia płuc. W czwartym dniu hospitalizacji przypadkiem się okazało, że dziecko zaaspirowało orzeszek. W dalszej części pracy opisano epidemiologię, objawy, diagnostykę i postępowanie w przypadku aspiracji ciała obcego, zwrócono uwagę na jej powikłania, poruszono problem błędnej lub opóźnionej diagnozy.

Aspiracja ciała obcego jest poważnym problemem klinicznym u dzieci. Najwięcej przypadków dotyczy dzieci w wieku 1.–2. r.ż., co związane jest z ruchliwością i tendencją do wkładania przedmiotów do ust. Objawy obecności ciała obcego w drogach oddechowych mogą być niespecyficzne i odpowiadać objawom infekcji dróg oddechowych [1]. Poniżej opis przypadku chłopca z zapaleniem płuc o nietypowym przebiegu.

23-miesięczny chłopiec z nieobciążającym wywiadem okołoporodowym (C II, P II, Hbd 40, Apgar 10, masa urodzeniowa 3650 g), dotychczas nieleczony, rozwijający się prawidłowo, został przyjęty do oddziału ogólnopediatrycznego z powodu występującej od 4 dni gorączki do 40 st. C oraz suchego kaszlu, naprzemiennie z kaszlem produktywnym, występującego od 2 dni. Przy przyjęciu do oddziału stan ogólny pacjenta oceniono jako średni, obserwowano duszność wdechowo-wydechową. W badaniu przedmiotowym z odchyleń od stanu prawidłowego stwierdzono zaczerwienienie gardła, zmiany osłuchowe nad polami płucnymi pod postacią ściszenia szmeru pęcherzykowego oraz świstów i furczeń, występujących obustronnie nad polami płucnymi. Postawiono rozpoznanie wstępne – zapalenie płuc.
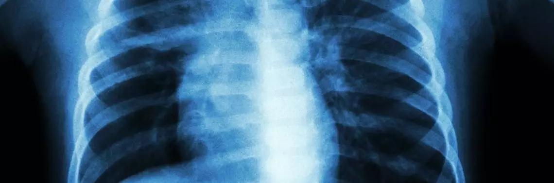
Mimo ciężkiego przebiegu choroby w badaniach laboratoryjnych wskaźniki zapalne okazały się niskie (CRP 2,98 mg/dl, PCT 0,05 ng/l), nie wykazano także odchyleń w morfologii i parametrach biochemicznych krwi, a jedynie w materiale z wymazu z jamy nosowo-gardłowej wykazano obecność antygenu wirusa RSV. W badaniu radiologicznym klatki piersiowej wykonanym w dniu przyjęcia do szpitala uwidoczniono drobnoplamiste zagęszczenia okołooskrzelowe przywnękowe z komponentą zagęszczeń konsolidujących w polu górnym prawego płuca [ryc. 1]. W badaniu laryngologicznym nie stwierdzono odchyleń od normy.
Wdrożono leczenie zapalenia płuc – antybiotyk, glikokortykosteroidy systemowe i wziewne, fe...

Pozostałe 90% treści dostępne jest tylko dla Prenumeratorów

Co zyskasz, kupując prenumeratę?
  • 6 wydań czasopisma "Forum Pediatrii Praktycznej"
  • Nielimitowany dostęp do całego archiwum czasopisma
  • Dodatkowe artykuły niepublikowane w formie papierowej
  • ...i wiele więcej!

Dołącz do grona pediatrów - praktyków, którzy stale pogłębiają swoją wiedzę

Co dwa miesiące otrzymuj algorytmy diagnostyczne i aktualne wytyczne leczenia dzieci, tworzone przez doświadczonych lekarzy – praktyków.

Ponad 60 nowych, praktycznych artykułów rocznie
Dostęp do ponad 500 artykułów i 65 archiwalnych numerów
Najnowsze standardy diagnostyki i leczenia
Interdyscyplinarna wiedza pediatryczna
Każdy przypadek opisany wg schematu: objawy → diagnostyka → rozpoznanie → leczenie
24/7 — prenumerata online zapewnia nieograniczony dostęp do pełnej wiedzy
Dołącz do grona pediatrów - praktyków, którzy stale pogłębiają swoją wiedzę

Przypisy

    POZNAJ PUBLIKACJE Z NASZEJ KSIĘGARNI